相关产品推荐更多 >
万千商家帮你免费找货
0 人在求购买到急需产品
- 详细信息
- 文献和实验
- 技术资料
- 免疫原:
Recombinant fragment of human p75 NGFR protein (around aa 281-421) (exact sequence is proprietary)
- 亚型:
IgG2b
- 形态:
Liquid
- 保存条件:
Store as concentrated solution. Centrifuge briefly prior to opening vial. For short-term storage (1-2 weeks), store at 4ºC. For long-term storage, aliquot and store at -20ºC or below. Avoid multiple freeze-thaw cycles.
- 克隆性:
Monoclonal
- 标记物:
Unconjugated
- 适应物种:
Human
- 保质期:
12 months from the shipping date of the product.
- 抗原来源:
Human
- 目录编号:
GTX17979
- 级别:
Primary Antibodies
- 库存:
Available
- 供应商:
GeneTex
- 宿主:
Mouse
- 应用范围:
IHC-P
- 浓度:
0.2 mg/ml (Please refer to the vial label for the specific concentration.)
- 靶点:
p75 NGF Receptor / CD271
- 抗体英文名:
p75 NGF Receptor / CD271 antibody [NGFR/1964]
- 抗体名:
p75 NGF Receptor / CD271 抗体 [NGFR/1964]
- 规格:
100 μg
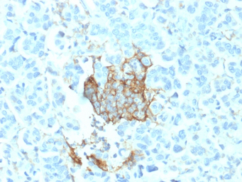
IHC-P analysis of human breast carcinoma tissue using GTX17979 p75 NGF Receptor / CD271 antibody [NGFR/1964].
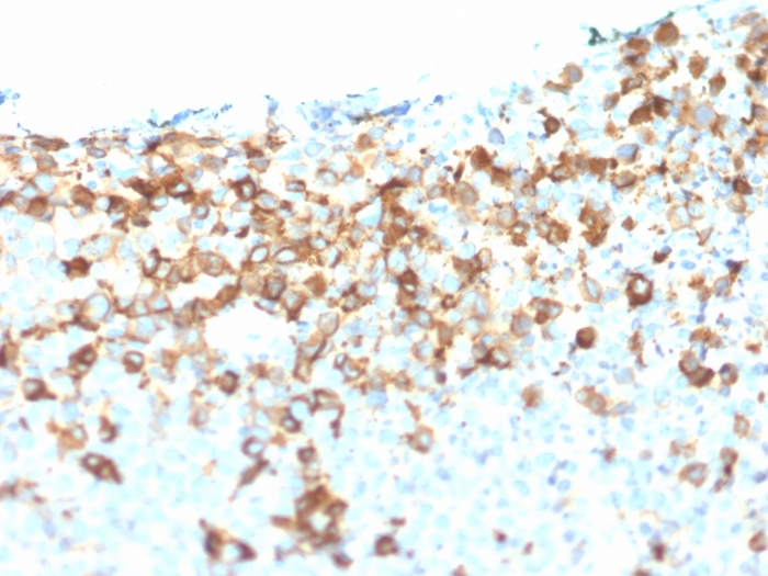
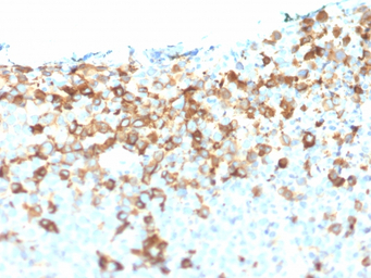
IHC-P analysis of human melanoma tissue using GTX17979 p75 NGF Receptor / CD271 antibody [NGFR/1964].
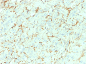
IHC-P analysis of human adrenal gland tissue using GTX17979 p75 NGF Receptor / CD271 antibody [NGFR/1964].
风险提示:丁香通仅作为第三方平台,为商家信息发布提供平台空间。用户咨询产品时请注意保护个人信息及财产安全,合理判断,谨慎选购商品,商家和用户对交易行为负责。对于医疗器械类产品,请先查证核实企业经营资质和医疗器械产品注册证情况。
文献和实验CD11a/CD11b/CD11c 分子 CDlla 常用单克隆抗体或代号:MHM24, 2F12; CRIS―3(LFA―lα链,整合素α1) 主要表达细胞:Leu[A5] 分子质量(kDa)和结构:spl80(整合素α) 功 能:与1CAM-l(CD54)、ICAM-2(CDl02)、ICAM-3(C1350)结合,介导细胞黏附;与JAMl结合,参与白细胞穿过内皮细胞
Chimerization of a Monoclonal Antibody for Treating Hodgkin's Lymphoma
Ber-H2 which recognizes the human CD30 molecule with high specificity and affinity (2 ). CD30, a member of the nerve growth factor (NGF) tumor necrosis factor receptor (TNFR) superfamily (3 ), is strongly expressed on the pathognomonic Hodgkin (H
secondary antibody review -- data from 99 publications
cytometry used as a control to detect cell responses targeted antigen 7 Alexa Fluor 488 7 Cy3 8 goat IgG Alexa Fluor 488 1:2000 detect antibody binding in human embryonic kidney 293T cells Invitrogen 9 donkey
技术资料暂无技术资料 索取技术资料








![Talin-1 antibody [97H6]](https://img1.dxycdn.com/2022/0329/462/5575423303554020453-14.jpg!wh200)


