相关产品推荐更多 >
万千商家帮你免费找货
0 人在求购买到急需产品
- 详细信息
- 技术资料
- 供应商:
上海抚生
- 库存:
20
- 靶点:
详见说明书
- 级别:
详见说明书
- 目录编号:
详见说明书
- 克隆性:
多克隆
- 抗原来源:
Rabbit
- 保质期:
详见说明书
- 抗体英文名:
Anti-DHRS9
- 抗体名:
Anti-DHRS9抗体
- 标记物:
详见说明书
- 宿主:
详见说明书
- 适应物种:
详见说明书
- 免疫原:
KLH conjugated synthetic peptide derived from human DHRS9
- 亚型:
IgG
- 形态:
详见说明书
- 应用范围:
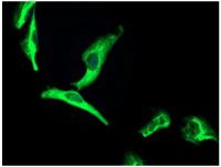
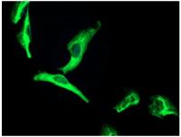
WB=1:100-500 ELISA=1:500-1000 IP=1:20-100 IHC-P=1:100-500 IHC-F=1:100-500 IF=1:100-500
- 浓度:
1mg/1ml
- 保存条件:
Store at -20 °C
- 规格:
0.1ml/100μg 0.2ml/200μg
Anti-DHRS9抗体实验原理 :
(1)特异性结合抗原:抗体本身不能直接溶解或杀伤带有特异抗原的靶细胞,通常需要补体或吞噬细胞等共同发挥效应以清除病原微生物或导致病理损伤。然而,抗体可通过与病毒或毒素的特异性结合,直接发挥中和病毒的作用。
(2)活补体:IgM、IgG1、IgG2和IgG3可通过经典途径激活补体,凝聚的IgA、IgG4和IgE可通过替代途径激活补体。
(3)结合细胞:不同类别的免疫球蛋白,可结合不同种的细胞,参与免疫应答。
(4)可通过胎盘及粘膜:免疫球蛋白G(IgG)能通过胎盘进入胎儿血流中,使胎儿形成自然被动
免疫。免疫球蛋白A(IgA)可通过消化道及呼吸道粘膜,是粘膜局部抗感染免疫的主要因素。
(5)具有抗原性:抗体分子是一种蛋白质,也具有刺机体产生免疫应答的性能。不同的免疫球蛋白分子,各具有不同的抗原性。
(6)抗体对理化因子的抵抗力与一般球蛋白相同:不耐热,60~70℃即被破坏。各种酶及能使蛋白质凝固变性的物质,均能破坏抗体的作用。抗体可被中性盐类沉淀。在生产上常可用硫酸铵或硫酸钠从免疫血清中沉淀出含有抗体的球蛋白,再经透析法将其纯化。
英文名称 Anti-DHRS9抗体
中文名称 短链脱氢酶/还原酶家族9抗体
别 名 Dehydrogenase/reductase SDR family member 9; DHRS9; DHRS9_HUMAN; NADP dependent retinol dehydrogenase/reductase; NADP-dependent retinol dehydrogenase/reductase; RDH-E2; Rdh15; RDHE2; RDHL; RDHTBE; retinol dehydrogenase homolog; Retinol dehydrogenase, tracheobronchiol epithelail cell-specific; RETSDR8; SDR family, member 9; SDR9C4; short chain dehydrogenase/reductase family 9; short chain dehydrogenase/reductase family 9C, member 4; Short chain dehydrogenase/reductase retSDR8; Short-chain dehydrogenase/reductase retSDR8; 3 alpha hydroxysteroid dehydrogenase; 3-alpha hydroxysteroid dehydrogenase; 3-alpha-HSD; 3alpha HSD.
浓 度 1mg/1ml
规 格 0.1ml/100μg 0.2ml/200μg
抗体来源 Rabbit
克隆类型 polyclonal
交叉反应 Human, Mouse, Rat, Horse
产品类型 一抗
研究领域 细胞生物 信号转导 细胞周期蛋白 细胞分化
蛋白分子量 predicted molecular weight: 35kDa
性 状 Lyophilized or Liquid
免 疫 原 KLH conjugated synthetic peptide derived from human DHRS9
产品应用 WB=1:100-500 ELISA=1:500-1000 IP=1:20-100 IHC-P=1:100-500 IHC-F=1:100-500 IF=1:100-500
亚 型 IgG
纯化方法 affinity purified by Protein A
储 存 液 Preservative: 15mM Sodium Azide, Constituents: 1% BSA, 0.01M PBS, pH 7.4
产品应用 WB=1:100-500 ELISA=1:500-1000 IP=1:20-100 IHC-P=1:100-500 IHC-F=1:100-500 IF=1:100-500
(石蜡切片需做抗原修复)
not yet tested in other applications.
optimal dilutions/concentrations should be determined by the end user.
保存条件 Store at -20 °C for one year. Avoid repeated freeze/thaw cycles. The lyophilized antibody is stable at room temperature for at least one month and for greater than a year when kept at -20°C. When reconstituted in sterile pH 7.4 0.01M PBS or diluent of antibody the antibody is stable for at least two weeks at 2-4 °C.
Important Note This product as supplied is intended for research use only, not for use in human, therapeutic or diagnostic applications.
一抗和二坑的区别:
第一抗体就是平常所说的抗体,即能和抗原特异性结合。
第二抗体是能和抗体结合的,即抗体的抗体。主要用于检测抗体的存在。
一抗是针对抗原的抗体,二抗是针对一抗的抗体。即抗体也可以充当抗原刺激机体产生抗体。也就是说,抗原进入机体刺激机体免疫系统产生免疫应答,由B细胞可以产生与相应抗原发生特异性结合的特殊蛋白质。
一抗二抗都是一种可以特异结合别的物质的基团,而且一抗可以至少结合两种其他基团(底物和二抗)。
一抗:可以特异结合底物,就是识别出我们想要检测的东西。一抗和底物结合与否用肉眼是看不出来的。
二抗:可以和一抗结合,并带有可以被检测出的标记(如带荧光、放射性、化学发光或显色基团),作用是检测一抗。 如果一抗自己带有可以被检测出的标记(如带荧光、放射性、化学发光或显色基团),则不需要二抗。但这样成本很高,因为一种一抗只识别一种底物。所以如今的设计一般是二抗带上可检测标记,再来检测一抗。而一抗识别底物。这样,当一抗结合到底物上,就可以通过二抗检测出来。
抗体的鉴定:
1)Anti-DHRS9抗体抗体的效价鉴定:不管是用于诊断还是用于治疗,制备抗体的目的都是要求较高效价。不同的抗原制备的抗体,要求的效价不一。鉴定效价的方法很多,包括有试管凝集反应,琼脂扩散试验,酶联免疫吸附试验等。常用的抗原所制备的抗体一般都有约成的鉴定效价的方法,以资比较。如制备抗抗体的 效价,一般就采用琼脂扩散试验来鉴定。
2)抗体的特异性鉴定:抗体的特异性是指与相应抗原或近似抗原物质的识别能力。抗体的特异性高,它的识别能力就强。衡量特异性通常以交叉反应率来表示。交叉反应率可用竞争抑制试验测定。以不同浓度抗原和近似抗原分别做竞争抑制曲线,计算各自的结合率,求出各自在IC50时的浓度,并按公式计算交叉反应率。
如果所用抗原浓度IC50浓度为pg/管,而一些近似抗原物质的IC50浓度几乎是无穷大时,表示这一抗血清与其他抗原物质的交叉反应率近似为0,即该血清的特异性较好。
3)抗体亲和力:是指抗体和抗原结合的牢固程度。亲和力的高低是由抗原分子的大小,抗体分子的结合位点与抗原决定簇之间立体构型的合适度决定的。有助于维持抗原抗体复合物稳定的分子间力有氢键,疏水键,侧链相反电荷基因的库仑力,范德华力和空间斥力。亲和力常以亲和常数K表示,K的单位是L/mol。抗体亲和力的测定对抗体的筛选,确定抗体的用途,验证抗体的均一性等均有重要意义。
十八酰 1Methyl3pyrrolidinol,95% 特价促销
顺式十八碳9 2(Aminomethyl)1ethylpyrrolidine,97% 特价促销
Fmoc3(2萘)L丙氨 1Methylpyrrole ,99% 特价促销
53啶醛 2,5Dimethylpyrrole,98% 特价促销
4环酚 2Acetylpyrrole,99% 特价促销
3,4二氧酮 Pyrrole,98% 特价促销
3,5二氧 N(Phosphonomethyl)iminodiacetic acid
丙钠 Di(1adamantyl)nbutylphosphine,≥95% 特价促销
L4氟丙氨 (+)2,3OIsopropylidene2,3dihydroxy...
(R)对缩水甘油 2Ditertbutylphosphino2′methylbip...
NCBZL丙氨 2Dicyclohexylphosphino2′methylbiph...
二氨代胺盐盐 2Ditertbutylphosphino2′,4′,6′t...
苄氧羰L丙氨 (R)(+)2,2′Bis(diptolylphosphino)...
N苄氧羰L丝氨 Chlorodiisopropylphosphine 96% 特价促销
N苄氧羰L脯氨 Benzyldiphenylphosphine
Anti-DHRS9抗体现货供应 AntiNMDA Receptor 2D (NR2D) (extracellular) NMDA 受体 2D (NR2D) (胞外)抗体(50 ul)
现货供应 AntiNMDA Receptor 2D (NR2D) (extracellular) NMDA 受体 2D (NR2D) (胞外)抗体(25 ul)
现货供应 AntiNMDA Receptor 2D (NR2D) (extracellular) NMDA 受体 2D (NR2D) (胞外)抗体(0.2 ml)
现货供应 AntiNMDA Receptor 2C (NR2C) (extracellular) NMDA 受体 2C (NR2C) (胞外)抗体(50 ul)
现货供应 AntiNMDA Receptor 2C (NR2C) (extracellular) NMDA 受体 2C (NR2C) (胞外)抗体(25 ul)
现货供应 AntiNMDA Receptor 2C (NR2C) (extracellular) NMDA 受体 2C (NR2C) (胞外)抗体(0.2 ml)
现货供应 AntiNMDA Receptor 2B (NR2B) (extracellular) NMDA 受体 2B (NR2B) (胞外)抗体(50 ul)
现货供应 AntiNMDA Receptor 2B (NR2B) (extracellular) NMDA 受体 2B (NR2B) (胞外)抗体(25 ul)
现货供应 AntiNMDA Receptor 2B (NR2B) (extracellular) NMDA 受体 2B (NR2B) (胞外)抗体(0.2 ml)
现货供应 AntiNMDA Receptor 2B (NR2B) (extracellular)ATTO594 NMDA 受体 2B (NR2B) (胞外)ATTO594抗体(50 ul)
Anti-DHRS9抗体是用于化学反应、分析化验、研究实验、教学实验、化学配方使用的纯净化学品,产品品质卓越,价格实惠,多种规格供应,售后完善。
(1)特异性结合抗原:抗体本身不能直接溶解或杀伤带有特异抗原的靶细胞,通常需要补体或吞噬细胞等共同发挥效应以清除病原微生物或导致病理损伤。然而,抗体可通过与病毒或毒素的特异性结合,直接发挥中和病毒的作用。
(2)活补体:IgM、IgG1、IgG2和IgG3可通过经典途径激活补体,凝聚的IgA、IgG4和IgE可通过替代途径激活补体。
(3)结合细胞:不同类别的免疫球蛋白,可结合不同种的细胞,参与免疫应答。
(4)可通过胎盘及粘膜:免疫球蛋白G(IgG)能通过胎盘进入胎儿血流中,使胎儿形成自然被动
免疫。免疫球蛋白A(IgA)可通过消化道及呼吸道粘膜,是粘膜局部抗感染免疫的主要因素。
(5)具有抗原性:抗体分子是一种蛋白质,也具有刺机体产生免疫应答的性能。不同的免疫球蛋白分子,各具有不同的抗原性。
(6)抗体对理化因子的抵抗力与一般球蛋白相同:不耐热,60~70℃即被破坏。各种酶及能使蛋白质凝固变性的物质,均能破坏抗体的作用。抗体可被中性盐类沉淀。在生产上常可用硫酸铵或硫酸钠从免疫血清中沉淀出含有抗体的球蛋白,再经透析法将其纯化。
英文名称 Anti-DHRS9抗体
中文名称 短链脱氢酶/还原酶家族9抗体
别 名 Dehydrogenase/reductase SDR family member 9; DHRS9; DHRS9_HUMAN; NADP dependent retinol dehydrogenase/reductase; NADP-dependent retinol dehydrogenase/reductase; RDH-E2; Rdh15; RDHE2; RDHL; RDHTBE; retinol dehydrogenase homolog; Retinol dehydrogenase, tracheobronchiol epithelail cell-specific; RETSDR8; SDR family, member 9; SDR9C4; short chain dehydrogenase/reductase family 9; short chain dehydrogenase/reductase family 9C, member 4; Short chain dehydrogenase/reductase retSDR8; Short-chain dehydrogenase/reductase retSDR8; 3 alpha hydroxysteroid dehydrogenase; 3-alpha hydroxysteroid dehydrogenase; 3-alpha-HSD; 3alpha HSD.
浓 度 1mg/1ml
规 格 0.1ml/100μg 0.2ml/200μg
抗体来源 Rabbit
克隆类型 polyclonal
交叉反应 Human, Mouse, Rat, Horse
产品类型 一抗
研究领域 细胞生物 信号转导 细胞周期蛋白 细胞分化
蛋白分子量 predicted molecular weight: 35kDa
性 状 Lyophilized or Liquid
免 疫 原 KLH conjugated synthetic peptide derived from human DHRS9
产品应用 WB=1:100-500 ELISA=1:500-1000 IP=1:20-100 IHC-P=1:100-500 IHC-F=1:100-500 IF=1:100-500
亚 型 IgG
纯化方法 affinity purified by Protein A
储 存 液 Preservative: 15mM Sodium Azide, Constituents: 1% BSA, 0.01M PBS, pH 7.4
产品应用 WB=1:100-500 ELISA=1:500-1000 IP=1:20-100 IHC-P=1:100-500 IHC-F=1:100-500 IF=1:100-500
(石蜡切片需做抗原修复)
not yet tested in other applications.
optimal dilutions/concentrations should be determined by the end user.
保存条件 Store at -20 °C for one year. Avoid repeated freeze/thaw cycles. The lyophilized antibody is stable at room temperature for at least one month and for greater than a year when kept at -20°C. When reconstituted in sterile pH 7.4 0.01M PBS or diluent of antibody the antibody is stable for at least two weeks at 2-4 °C.
Important Note This product as supplied is intended for research use only, not for use in human, therapeutic or diagnostic applications.
一抗和二坑的区别:
第一抗体就是平常所说的抗体,即能和抗原特异性结合。
第二抗体是能和抗体结合的,即抗体的抗体。主要用于检测抗体的存在。
一抗是针对抗原的抗体,二抗是针对一抗的抗体。即抗体也可以充当抗原刺激机体产生抗体。也就是说,抗原进入机体刺激机体免疫系统产生免疫应答,由B细胞可以产生与相应抗原发生特异性结合的特殊蛋白质。
一抗二抗都是一种可以特异结合别的物质的基团,而且一抗可以至少结合两种其他基团(底物和二抗)。
一抗:可以特异结合底物,就是识别出我们想要检测的东西。一抗和底物结合与否用肉眼是看不出来的。
二抗:可以和一抗结合,并带有可以被检测出的标记(如带荧光、放射性、化学发光或显色基团),作用是检测一抗。 如果一抗自己带有可以被检测出的标记(如带荧光、放射性、化学发光或显色基团),则不需要二抗。但这样成本很高,因为一种一抗只识别一种底物。所以如今的设计一般是二抗带上可检测标记,再来检测一抗。而一抗识别底物。这样,当一抗结合到底物上,就可以通过二抗检测出来。
抗体的鉴定:
1)Anti-DHRS9抗体抗体的效价鉴定:不管是用于诊断还是用于治疗,制备抗体的目的都是要求较高效价。不同的抗原制备的抗体,要求的效价不一。鉴定效价的方法很多,包括有试管凝集反应,琼脂扩散试验,酶联免疫吸附试验等。常用的抗原所制备的抗体一般都有约成的鉴定效价的方法,以资比较。如制备抗抗体的 效价,一般就采用琼脂扩散试验来鉴定。
2)抗体的特异性鉴定:抗体的特异性是指与相应抗原或近似抗原物质的识别能力。抗体的特异性高,它的识别能力就强。衡量特异性通常以交叉反应率来表示。交叉反应率可用竞争抑制试验测定。以不同浓度抗原和近似抗原分别做竞争抑制曲线,计算各自的结合率,求出各自在IC50时的浓度,并按公式计算交叉反应率。
如果所用抗原浓度IC50浓度为pg/管,而一些近似抗原物质的IC50浓度几乎是无穷大时,表示这一抗血清与其他抗原物质的交叉反应率近似为0,即该血清的特异性较好。
3)抗体亲和力:是指抗体和抗原结合的牢固程度。亲和力的高低是由抗原分子的大小,抗体分子的结合位点与抗原决定簇之间立体构型的合适度决定的。有助于维持抗原抗体复合物稳定的分子间力有氢键,疏水键,侧链相反电荷基因的库仑力,范德华力和空间斥力。亲和力常以亲和常数K表示,K的单位是L/mol。抗体亲和力的测定对抗体的筛选,确定抗体的用途,验证抗体的均一性等均有重要意义。
十八酰 1Methyl3pyrrolidinol,95% 特价促销
顺式十八碳9 2(Aminomethyl)1ethylpyrrolidine,97% 特价促销
Fmoc3(2萘)L丙氨 1Methylpyrrole ,99% 特价促销
53啶醛 2,5Dimethylpyrrole,98% 特价促销
4环酚 2Acetylpyrrole,99% 特价促销
3,4二氧酮 Pyrrole,98% 特价促销
3,5二氧 N(Phosphonomethyl)iminodiacetic acid
丙钠 Di(1adamantyl)nbutylphosphine,≥95% 特价促销
L4氟丙氨 (+)2,3OIsopropylidene2,3dihydroxy...
(R)对缩水甘油 2Ditertbutylphosphino2′methylbip...
NCBZL丙氨 2Dicyclohexylphosphino2′methylbiph...
二氨代胺盐盐 2Ditertbutylphosphino2′,4′,6′t...
苄氧羰L丙氨 (R)(+)2,2′Bis(diptolylphosphino)...
N苄氧羰L丝氨 Chlorodiisopropylphosphine 96% 特价促销
N苄氧羰L脯氨 Benzyldiphenylphosphine
Anti-DHRS9抗体现货供应 AntiNMDA Receptor 2D (NR2D) (extracellular) NMDA 受体 2D (NR2D) (胞外)抗体(50 ul)
现货供应 AntiNMDA Receptor 2D (NR2D) (extracellular) NMDA 受体 2D (NR2D) (胞外)抗体(25 ul)
现货供应 AntiNMDA Receptor 2D (NR2D) (extracellular) NMDA 受体 2D (NR2D) (胞外)抗体(0.2 ml)
现货供应 AntiNMDA Receptor 2C (NR2C) (extracellular) NMDA 受体 2C (NR2C) (胞外)抗体(50 ul)
现货供应 AntiNMDA Receptor 2C (NR2C) (extracellular) NMDA 受体 2C (NR2C) (胞外)抗体(25 ul)
现货供应 AntiNMDA Receptor 2C (NR2C) (extracellular) NMDA 受体 2C (NR2C) (胞外)抗体(0.2 ml)
现货供应 AntiNMDA Receptor 2B (NR2B) (extracellular) NMDA 受体 2B (NR2B) (胞外)抗体(50 ul)
现货供应 AntiNMDA Receptor 2B (NR2B) (extracellular) NMDA 受体 2B (NR2B) (胞外)抗体(25 ul)
现货供应 AntiNMDA Receptor 2B (NR2B) (extracellular) NMDA 受体 2B (NR2B) (胞外)抗体(0.2 ml)
现货供应 AntiNMDA Receptor 2B (NR2B) (extracellular)ATTO594 NMDA 受体 2B (NR2B) (胞外)ATTO594抗体(50 ul)
Anti-DHRS9抗体是用于化学反应、分析化验、研究实验、教学实验、化学配方使用的纯净化学品,产品品质卓越,价格实惠,多种规格供应,售后完善。
风险提示:丁香通仅作为第三方平台,为商家信息发布提供平台空间。用户咨询产品时请注意保护个人信息及财产安全,合理判断,谨慎选购商品,商家和用户对交易行为负责。对于医疗器械类产品,请先查证核实企业经营资质和医疗器械产品注册证情况。
技术资料暂无技术资料 索取技术资料
Anti-DHRS9抗体
询价









