相关产品推荐更多 >
万千商家帮你免费找货
0 人在求购买到急需产品
- 详细信息
- 询价记录
- 文献和实验
- 技术资料
- 保存条件:
负20℃
- 克隆性:
单克隆
- 应用范围:
兽用
我们不是上海、武汉那些您要啥,他有啥的骗子公司,我们专注动物疫病检测相关产品,我们认真,我们专业!
我们只做动物疫病产品,我们认真、我们专业!
广州千寻生物技术有限公司主要关注动保领域,建有动物房、细胞培养间、分子生物学实验室、蛋白实验室等。掌握大肠杆菌、昆虫细胞、CHO细胞表等多个蛋白表达技术。利用蛋白纯化系统制备电泳级纯度的优质抗原,免疫BALB/C小鼠制备并筛选单克隆抗体。
千寻生物销售动物疫病相关抗原和单抗的同时,提供动物疫病相关的蛋白表达、纯化、单抗制备服务。
欢迎咨询洽谈!联系人:杨经理 电话: 17710377996
WB
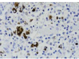
IHC 结果图片
风险提示:丁香通仅作为第三方平台,为商家信息发布提供平台空间。用户咨询产品时请注意保护个人信息及财产安全,合理判断,谨慎选购商品,商家和用户对交易行为负责。对于医疗器械类产品,请先查证核实企业经营资质和医疗器械产品注册证情况。
- 作者
- 内容
- 询问日期
文献和实验操作步骤请参阅文献。 Protein A和Protein G法则是近年来单抗纯化的主流方向。这里简单讲述一下它们的纯化原理以及方法。 Protein A是金黄色葡萄球菌细胞壁上的一种蛋白质,分子量为42kD,序列中有6个IgG结合位点,其中5个位点对IgG的Fc片段具有很强的特异亲和力,当达到饱和时,一个Protein A分子平均可以结合两个IgG分子。 目前商品化的Protein A resin(即将Protein A固化在Agarose 或Sephardex微珠上的填料)上的Protein
效应。假使在被测分子的不同位点上含有多个相同的决定簇,例如HBsAg的a决定簇,也可用针对此决定簇的同一单抗分别包被固相和制备酶结合物。但在HBsAg的检测中应注意亚型问题,HBsAg有adr、adw、ayr、ayw4个亚型,虽然每种亚型均有相同的a决定簇的反应性,这也是用单抗作夹心法应注意的问题。双抗体夹心法测抗原的另一注意点是类风湿因子(RF)的干扰。RF是一种自身抗体,多为IgM型,能和多种动物IgG的Fc段结合。用作双抗体夹心法检测的血清标本中如含有RF,它可充当抗原成份,同时与固相抗体和酶标
的基于protein A的填料为2017年上市的Mabselect PrismA (图11),该填料对人IgG可达80 mg/mL的载量,同时0.5 M NaOH清洗300个循环后仍可保持90%以上的载量,载量高,寿命长,使得MabSelect PrismA很快成为目前抗体纯化的首选填料。 图11 基于protein A的填料的发展历程 Protein L可结合kappa类型抗体轻链可变区,因此protein L的填料可用于Fab、ScFV以及Dab等抗体片段的纯化。另外,还有KappaSelect
技术资料暂无技术资料 索取技术资料









