相关产品推荐更多 >
万千商家帮你免费找货
0 人在求购买到急需产品
- 详细信息
- 询价记录
- 技术资料
- 品系:
详询
- 细胞类型:
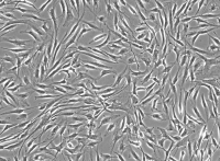
鼻咽癌细胞
- 肿瘤类型:
详见说明书
- 供应商:
上海晅科生物科技有限公司
- 库存:
100
- 英文名:
CNE
- 生长状态:
贴壁细胞
- 年限:
详见说明书
- 运输方式:
常温运输/干冰运输
- 器官来源:
女
- 是否是肿瘤细胞:
是
- 细胞形态:
上皮细胞样
- 免疫类型:
详询
- 物种来源:
人
- 相关疾病:
鼻咽癌
- 组织来源:
鼻咽癌
名称:CN人鼻咽癌细胞(通过STR鉴定)
别称:CNE1; CNE
种属:人
年龄(性别):女
生长特性:贴壁细胞
细胞形态:上皮细胞样
生长培养基:RPMI-1640(PM150110)+10% FBS(164210-500)+1% P/S(PB180120)
推荐传代比例:1:3-1:4
推荐换液频率:2-3天/次
冻存条件:冻存液:50%基础培养基+40%胎牛血清+10%DMSO
温度:液氮
培养条件 :
气相:空气,95%;CO2,5%温度:37℃
背景描述:CN人鼻咽癌细胞(通过STR鉴定)来源于一位58岁女性鼻咽癌患者。
细胞计数
原理:当待测细胞悬液中细胞均匀分布时,通过测定一定体积悬液中的细胞的数目即可换算出每mL细胞悬液中的细胞数量。
操作步骤:
1.将计数板及盖玻片擦拭干净,并将盖玻片盖在计数板上;
2.轻轻吹打细胞悬液,使细胞均匀分布;吸出少许细胞悬液滴在细胞入口,使细胞悬液充满盖玻片和计数板之间,静置1-2min,使细胞沉降;注意盖玻片下不要有气泡,也避免细胞悬液进入旁边的槽中;
3.在显微镜下对A/B/C/D四个大格内的细胞进行计数,压在大格四周边线上的细胞只计数压在2条边线上的细胞(如右侧和下方);若镜下有2个细胞组成的细胞团,则应按单个细胞计算;若细胞团数量较多,占细胞总量的10%左右,则说明细胞分散不好会导致计算不准确,需要重新制备细胞悬液;
4.按公式计数细胞数量:细胞数/mL=四个大格内细胞总数×104/4
(每一个大格的体积为长1mm×宽1mm×高0.1mm=0.1mm3,1mL=1000mm3,因此计算时需×104)
别称:CNE1; CNE
种属:人
年龄(性别):女
生长特性:贴壁细胞
细胞形态:上皮细胞样
生长培养基:RPMI-1640(PM150110)+10% FBS(164210-500)+1% P/S(PB180120)
推荐传代比例:1:3-1:4
推荐换液频率:2-3天/次
冻存条件:冻存液:50%基础培养基+40%胎牛血清+10%DMSO
温度:液氮
培养条件 :
气相:空气,95%;CO2,5%温度:37℃
背景描述:CN人鼻咽癌细胞(通过STR鉴定)来源于一位58岁女性鼻咽癌患者。
细胞计数
原理:当待测细胞悬液中细胞均匀分布时,通过测定一定体积悬液中的细胞的数目即可换算出每mL细胞悬液中的细胞数量。
操作步骤:
1.将计数板及盖玻片擦拭干净,并将盖玻片盖在计数板上;
2.轻轻吹打细胞悬液,使细胞均匀分布;吸出少许细胞悬液滴在细胞入口,使细胞悬液充满盖玻片和计数板之间,静置1-2min,使细胞沉降;注意盖玻片下不要有气泡,也避免细胞悬液进入旁边的槽中;
3.在显微镜下对A/B/C/D四个大格内的细胞进行计数,压在大格四周边线上的细胞只计数压在2条边线上的细胞(如右侧和下方);若镜下有2个细胞组成的细胞团,则应按单个细胞计算;若细胞团数量较多,占细胞总量的10%左右,则说明细胞分散不好会导致计算不准确,需要重新制备细胞悬液;
4.按公式计数细胞数量:细胞数/mL=四个大格内细胞总数×104/4
(每一个大格的体积为长1mm×宽1mm×高0.1mm=0.1mm3,1mL=1000mm3,因此计算时需×104)
风险提示:丁香通仅作为第三方平台,为商家信息发布提供平台空间。用户咨询产品时请注意保护个人信息及财产安全,合理判断,谨慎选购商品,商家和用户对交易行为负责。对于医疗器械类产品,请先查证核实企业经营资质和医疗器械产品注册证情况。
- 作者
- 内容
- 询问日期
技术资料暂无技术资料 索取技术资料
CN人鼻咽癌细胞(通过STR鉴定)
询价









