相关产品推荐更多 >
万千商家帮你免费找货
0 人在求购买到急需产品
- 详细信息
- 文献和实验
- 技术资料
- 品系:
详询
- 细胞类型:
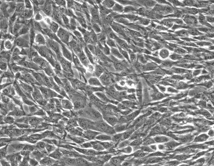
小鼠胚胎成纤维细胞(前脂肪)
- 肿瘤类型:
详询
- 供应商:
上海晅科生物科技有限公司
- 库存:
100
- 英文名:
3T3L1
- 生长状态:
贴壁细胞
- 年限:
详见说明书
- 运输方式:
常温运输/干冰运输
- 器官来源:
胚胎
- 是否是肿瘤细胞:
否
- 细胞形态:
成纤维细胞样
- 免疫类型:
详询
- 物种来源:
人
- 相关疾病:
详见说明书
- 组织来源:
胚胎
- 规格:
1×10⁶cells/T25培养瓶
1.产品名称:3T3L1小鼠胚胎成纤维细胞(前脂肪)
2.组织来源:胚胎
3.产品规格:1×10⁶cells/T25培养瓶
T25操作说明
T25收货:
1.收货后拆开包装,不打开封口膜,75%酒精消毒T25瓶表面;
2.显微镜下观察细胞并拍照,放入37度培养箱平衡2h;
3.细胞密度80%以上即可吸走培养基消化传代;若密度低于80%可以吸走多余培养基,留8ml左右继续培养至细胞密度80%以上。
Tips:
1.若收货当天没有时间处理细胞,T25瓶可以不开封,放至37度培养箱过夜;
2.若细胞出现漂浮,T25瓶不开封,放至37度培养箱过夜,若细胞贴壁即说明活性正常,按正常操作消化传代即可;若未贴壁,收集细胞培养基离心后,将细胞重悬接种到新的培养瓶中,同时原瓶还贴壁的细胞加培养基继续培养;
3.若T25瓶出现漏液或者破碎,及时拍照联系客服。
3T3L1小鼠胚胎成纤维细胞(前脂肪)常见问题
▲倍增和代数有什么区别?
倍增是培养物中细胞总数的翻倍,通常是指细胞指数或对数生长期。代数是指细胞群从培养瓶中移出,传代培养过程的次数,传代培养的目的,是使细胞处于低密度以刺激其进一步生长。
▲接收到的冻存细胞该如何处理?
收到包装箱后,立即将冻存细胞从干冰移入液氮中冻存。此过程尽量快,以避免升温。不要将细胞储存在-80℃,这样会对细胞造成不可挽回的伤害。
▲冻存的细胞该如何开始培养?
(1) 将一管细胞从液氮罐中取出,注意保护手和眼睛。
(2) 将冻存管快速的放入37℃水浴中,轻轻握住并旋转,直到管内物体完全融化。
(3) 将冻存管立即从水浴中拿出,擦干,转入无菌环境。
(4) 用70%的酒精冲洗冻存管,然后擦去多余酒精。
(5) 打开盖子,注意手指不要碰到里面的螺纹(注意,由于冻存管有负压,开盖时可能会有少量溢出,这是正常现象)。
(6) 用多聚赖氨酸(或参照说明书)包被培养瓶。多数细胞推荐的接种密度为每平方厘米5000个细胞。
(7) 盖好培养瓶的盖子,轻轻摇晃培养瓶以使细胞分布均匀。若需要气体交换可打开盖子。
(8) 将培养瓶放入培养箱中(37℃,5%CO2,95%空气)。
(9) 放入培养箱后第6-16小时更换一次培养基,以去除残留的二甲基亚枫和未贴壁的细胞。
▲细胞培养过程中,多久更换一次培养基?
这取决于细胞生长的速度。一般而言2-3天更换一次培养基,许多细胞培养实验室通常在周一,周三,周五更换培养基。
注意:冻存细胞复苏后,在6-16小时内更换培养基,以去除残留的二甲基亚枫和死亡的细胞。
▲培养瓶中应该加入多少体积的培养基?
我们推荐的用量为:T-25培养瓶5ml,T-75培养瓶15ml,T-150培养瓶30ml。
更多3T3L1小鼠胚胎成纤维细胞(前脂肪)敬请咨询!
风险提示:丁香通仅作为第三方平台,为商家信息发布提供平台空间。用户咨询产品时请注意保护个人信息及财产安全,合理判断,谨慎选购商品,商家和用户对交易行为负责。对于医疗器械类产品,请先查证核实企业经营资质和医疗器械产品注册证情况。
文献和实验小鼠胚胎成纤维细胞的富集1、给13-14天的孕鼠注射大约0.5ml阿佛丁。当鼠麻醉后,实施断颈法处死小鼠。2、用70%乙醇擦拭腹部,把皮肤向后拉,暴露出腹膜。用消毒过的工具,剪开腹壁以暴露出子宫角。将子宫角移到10cm的皿里。用10ml不含钙镁离子的PBS洗三遍。3、用剪刀剪开每一测的胚囊,并将胚胎移到培养皿中。4、用两副钟表镊子将胎盘和膜与胚胎分离开,分离后切除内脏(所有深色的东西)。将胚胎转移到(有盖)培养皿中,用10ml不含钙镁离子的PBS洗三遍。5、用带有弯钩的眼科剪将组织剪碎,当你剪
小鼠胚胎成纤维细胞的富集 1、给13-14天的孕鼠注射大约0.5ml阿佛丁。当鼠麻醉后,实施断颈法处死小鼠。 2、用70%乙醇擦拭腹部,把皮肤向后拉,暴露出腹膜。用消毒过的工具,剪开腹壁以暴露出子宫角。将子宫角移到10cm的皿里。用10ml不含钙镁离子的PBS洗三遍。 3、用剪刀剪开每一测的胚囊,并将胚胎移到培养皿中。 4、用两副钟表镊子将胎盘和膜与胚胎分离开,分离后切除内脏(所有深色的东西)。将胚胎转移到(有盖)培养
相关专题 小鼠胚胎成纤维细胞的富集 1、给13-14天的孕鼠注射大约0.5ml阿佛丁。当鼠麻醉后,实施断颈法处死小鼠。 2、用70%乙醇擦拭腹部,把皮肤向后拉,暴露出腹膜。用消毒过的工具,剪开腹壁以暴露出子宫角。将子宫角移到10cm的皿里。用10ml不含钙镁离子的PBS 洗三遍。 3、用剪刀剪开每一测的胚囊,并将胚胎移到培养皿中。 4、用两副钟表镊子将胎盘和膜与胚胎分离开,分离后切除
技术资料暂无技术资料 索取技术资料










