相关产品推荐更多 >
万千商家帮你免费找货
0 人在求购买到急需产品
- 详细信息
- 文献和实验
- 技术资料
- 细胞类型:
源性细胞
- 供应商:
江西江蓝纯生物试剂有限公司
- 库存:
40
- 英文名:
OV-90
- 生长状态:
良好
- 年限:
2年
- 运输方式:
常温避光
- 物种来源:
人
- 规格:
T25
货号:HGCL-027
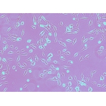
细胞介绍:
该细胞系来源于一位法国白人患者,患者没有卵巢癌家族史。建系于1992年。
细胞特性:
1)来源:卵巢;腹水转移
2)形态:上皮细胞样,贴壁生长
3)含量:>lxl06 个/mL
4)污染:支原体、细菌、酵母和真菌检测为阴性
5)规格:T25瓶或者lmL冻存管包装
人卵巢癌细胞(OV-90)运输和保存:使用T25瓶充液发送活细胞。收到细胞后,请先在显微镜下检查细胞生长状态,并将T25瓶置于培养箱约6h或过夜后,再次检查细胞状态。若状态良,可按照以下细胞培养步骤进行细胞后续处理操作。若发现可疑污染物,请及时与我们取得联系。
细胞用途:仅供科研使用。
细胞培养步骤:
1)培养基及培养冻存条件准备:
1.准备 MEM 培养基;北美胎牛血清(United States, GIBCO,货号 16000-044),15%;双抗 1%。
2.培养条件:气相:空气,95%;二氧化碳,5%。温度:37摄氏度,培养箱湿度为70%-80%。
3.冻存液:90%血清,10%DMSO,现用现配。液氮储存。
2)细胞处理:
1. 复苏细胞:将含有lmL细胞悬液的冻存管在37°C水浴中迅速摇晃解冻,加入4mL培养基混合均匀。在1000RPM条件下离心4分钟,弃去上清液,补加l-2mL培养基后吹匀。然后将所有细胞悬液加入培养瓶中培养过夜(或将细胞悬液加入l〇cm皿中,加入约8ml培养基,培养过夜)。第二天换液并检查细胞密度。
2.细胞传代:如果细胞密度达80%-90%,即可进行传代培养。
人卵巢癌细胞(OV-90)对于贴壁细胞,传代可参考以下方法:
弃去培养上清,用不含钙、镁离子的PBS润洗细胞1-2次。力口2m丨消化液(0.25%Trypsin-0.53mMEDTA)于培养瓶中,置于37°C培
养箱中消化1-2分钟,然后在显微镜下观察细胞消化情况,若细胞大部分变圆并脱落,迅速拿回操作台,轻敲几下培养瓶后加少量培养基终止消化。按6-8ml/瓶补加培养基,轻轻打匀后吸出,在1000RPM条件下离心4分钟,弃去上清液,补加l-2mL培养液后吹匀。将细胞悬液按1: 2到1: 5的比例分到新的含8ml培养基的新皿中或者瓶中。
3.细胞冻存:待细胞生长状态良时,可进行细胞冻存。
下面T25瓶为例;
细胞冻存时,弃去培养基后,PBS清洗瓶底1-2次后加入lml胰酶,细胞变圆脱落后,加入2ml完全培养基终止消化,可使用血球计数板计数。1000RPM离心5分钟去掉上清。用血清重悬浮,加DMSO至终浓度为10%。加入DMSO后迅速混匀,按每lml的数量分配到冻存管中,注意冻存管做标识。本公司按每个冻存管细胞数目大于1X106个细胞冻存。
将冻存管置于程序降温盒中,放入-80度冰箱,至少2个小时以后转入液氮灌储存。记录冻存管位置以便下次拿取。
注意事项:
收到细胞后,若发现干冰己挥发干净、冻存管瓶盖脱落、破损及细胞有污染,请立即与我们联系。
所有动物细胞均视为有潜在的生物危害性,必须在二级生物安全台内操作,并请注意防护,所有废液及接触过此细胞的器皿需要灭菌后方能丢弃。
风险提示:丁香通仅作为第三方平台,为商家信息发布提供平台空间。用户咨询产品时请注意保护个人信息及财产安全,合理判断,谨慎选购商品,商家和用户对交易行为负责。对于医疗器械类产品,请先查证核实企业经营资质和医疗器械产品注册证情况。
文献和实验去年同期,阿里健康发布了《拯救脱发趣味白皮书》,显示在阿里零售平台购买植发、护发产品的消费人群中,比例最高的不是已经中年油腻的 70 后(17.8%),而是还「年轻」的 90 后(36.1%)、80 后(38.5%)。这其中有 76% 的是男性。(数据来源:阿里健康) 图片来源:漆黑的师兄数据显示全中国有 2 亿人遭受脱发困扰,而这背后即将孕育而出的是一个价值千亿人民币的植发市场。预计到 2023 年全球植发市场将达到 240 亿美元左右,增速达 24%。(数据来源:阿里健康)而中国的植发
10 月 19 号,著名生化学家,08 年诺贝尔化学奖获得者,下村修(Osamu Shimomura)去世,享年 90 岁。作为目前全球生物学界使用率最高的标签蛋白,绿色荧光蛋白的发现可以说改变了生物学的进程,并将生物学从一片漆黑带入一篇光明。而它的发现者正是下村修,他在 1962-1982 年间,他和他的妻子在普林斯顿大学从 10000 个水母中提取到了荧光素——绿色荧光蛋白。生物学家们将绿色荧光蛋白基因和其他基因融合,表达出带有荧光标记的融合蛋白,通过荧光显微镜直接观察到融合蛋白的亚细胞
那个 3 年 5 篇 science 的 90 后女学霸后来怎样了?
她是 2018 年《科学》杂志和 SciLife Lab 颁发的青年科学家奖获得者,她是 90 后,是清华大学直博生,博士期间 3 年发表 5 篇 Science,是著名结构生物学家施一公的关门弟子——妥妥的是别人家的孩子,众人眼中的学霸。在科研路上,她收获幸福,也满怀艰辛。改写经典生化教科书的研究工作2015 年 9 月 11 日,两篇阐释生命大分子剪接体结构的文章以杂志当期封面的形式,发表在国际顶尖期刊《Science》上,震惊了学术界。仅仅过了三个月,又一篇题为《U4/U6.U5 三小核
技术资料暂无技术资料 索取技术资料









