相关产品推荐更多 >
万千商家帮你免费找货
0 人在求购买到急需产品
- 详细信息
- 文献和实验
- 技术资料
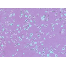
- 细胞类型:
源性细胞
- 供应商:
江西江蓝纯生物试剂有限公司
- 库存:
50
- 英文名:
BV2
- 生长状态:
良好
- 年限:
2年
- 运输方式:
常温避光
- 物种来源:
小鼠
- 规格:
T25
细胞介绍
该细胞来源于德国DSMZ (Germancollectionofmicroorganismsandcellcultures),采集于小鼠脑小胶质细胞瘤。
细胞特性
1)来源:小鼠脑
2)形态:上皮细胞样,贴壁生长
3)含量:>lxl06个/mL
4)污染:支原体、细菌、酵母和真菌检测为阴性
5)规格:T25瓶或者lmL冻存管包装
小鼠小胶质细胞 (BV2)运输和保存:使用含有胎牛血清的2ml冻存管发送存活细胞。收到细胞后,可在1000RPM,常温条件下,离心5min后,于洁净操作台弃去上清,加入推荐使用的培养基后转移至l〇cm培养皿或者T25培养瓶中培养,传代达到细胞生长状态良时,再进行冻存。具体操作见细胞培养步骤。
细胞用途:仅供科研使用。
细胞培养步骤
1)培养基及培养冻存条件准备:
1.准备 DMEM 培养基,90%;胎牛血清,10%。
2. 培养条件:气相:空气,95%;二氧化碳,5%。温度:37摄氏度。
3.冻存液:90%完全培养基,10%DMSO,现用现配。液氮储存。
2)细胞处理:
复苏细胞:将含有lmL细胞悬液的冻存管在37°C水浴中迅速摇晃解冻,加入4mL培养基混合均匀。在1000RPM条件下离心4分钟,弃去上清液,补加l-2mL培养基后吹匀。然后将所有细胞悬液加入培养瓶中培养过夜(或将细胞悬液加入l〇cm皿中,加入约8ml培养基,培养过夜)。第二天换液并检 查细胞密度。
细胞传代:如果细胞密度达80%-90%,即可进行传代培养。
小鼠小胶质细胞 (BV2)对于贴壁细胞,传代可参考以下方法:
弃去培养上清,用不含钙、镁离子的PBS润洗细胞1-2次。
力口2m丨消化液(0.25%Trypsin-0.53mMEDTA)于培养瓶中,置于37°C培养箱中消化1-2分钟,然后在显微镜下观察细胞消化情况,若细胞大部分变圆并脱落,迅速拿回操作台,轻敲几下培养瓶后加少量培养基终止 消化。
按6-8ml/瓶补加培养基,轻轻打匀后吸出,在1000RPM条件下离心4分钟,弃去上清液,补加l-2mL培养液后吹匀。
将细胞悬液按1: 2到1: 5的比例分到新的含8ml培养基的新皿中或者瓶中。
细胞冻存:待细胞生长状态良时,可进行细胞冻存。贴壁细胞冻存时,弃 去培养基后加入少量胰酶,细胞变圆脱落后,加入约lml含血清的培养基后加入冻存管中,再添加1〇%DMSO后进行冻存。
注意事项:
收到细胞后,若发现干冰己挥发干净、冻存管瓶盖脱落、破损及细胞有污染,请立即与我们联系。
所有动物细胞均视为有潜在的生物危害性,必须在二级生物安全台内操作,并请注意防护,所有废液及接触过此细胞的器皿需要灭菌后方能丢弃。
风险提示:丁香通仅作为第三方平台,为商家信息发布提供平台空间。用户咨询产品时请注意保护个人信息及财产安全,合理判断,谨慎选购商品,商家和用户对交易行为负责。对于医疗器械类产品,请先查证核实企业经营资质和医疗器械产品注册证情况。
文献和实验一、饲养环境 小鼠对环境的适应性的自体调节能力和疾病抗御能力较其他实验动物差,而小鼠的品种和品系繁多,各个品种和品系都有自己的特殊要求,因此必须根据实际情况给予一个清洁舒适的生活环境。不同等级的小鼠应生活在相应的设施中。 小鼠临界温度为低温 10℃,高温 37℃,温度中性范围 30~33℃。饲养环境控制应达到如下要求:温度 18~29℃;相对湿度 40~70%;最好控制在 18~22℃,湿度 50~60%。一般小鼠饲养盒内温度比环境高 1~2℃,湿度高 5~10%。 要保持温度、湿度相对稳定
用碳酸银浸镀法显示的小胶质细胞是中枢神经系统中最小的一种胶质细胞。细胞体呈细长或椭圆,从胞体发出细长而有分支的突起,表面有许多小棘突。常规染色见核细长或三角形,染色较深。电镜下小胶质细胞染色深,核扁平或锯齿状,胞质内溶酶体较多。小胶质细胞数量少,约占全部胶质细胞的 5 %。此细胞是定居在脑内的吞噬细胞,在炎症刺激下,其抗原性增强,形态伸展,功能活跃。小胶质细胞在脑内各部分均有分布,在灰质中的数量比在白质中的多 5 倍。海马、嗅叶和基底神经节的小胶质细胞比丘脑和下丘脑的多,而脑干与小脑中
实验步骤 1. 小鼠用pH值7.4,0.1M PBS彻底穿心灌注。 2. 用剪刀去头。 3. 剥开头骨的软组织。 4. 除去下颌骨。 5. 除去头骨延髓到上颌骨之间的组织。 6. 手术剪刀,取出头骨顶部,顺时针方向切割,开始和结束于右后鼓膜钩。 7. 舀出大脑,维持组织的完整性。 8. 立即将脑组织置于预冷的流式细胞术缓冲液中(1%BSA 1mM的EDTA的 pH值7.4 0.1M PBS,50
技术资料暂无技术资料 索取技术资料









