万千商家帮你免费找货
0 人在求购买到急需产品
- 详细信息
- 技术资料
- 细胞类型:
原代细胞
- 供应商:
江西江蓝纯生物试剂有限公司
- 库存:
49
- 生长状态:
良好
- 年限:
2年
- 运输方式:
常温避光
- 物种来源:
兔
- 规格:
>5×105细胞数
兔原代脉络膜微血管内皮细胞
细胞详述:
脉络膜新生血管(choroidal neovascularization,CNV)已成为眼科学领域的研究热点之一,目前多数体外研究应用的是人脐静脉内皮细胞或主动脉内皮细胞等容易得到的大血管内皮细胞。由于血管内皮细胞具有器官特异性和组织特异性,用大血管内皮细胞的研究结果很难客观、准确地解释CNV的发生机制。因此,建立脉络膜微血管内皮细胞(choroidal microvascular endothelial cells,CEC)体外培养体系,对深入研究CNV相关疾病具有十分重要的价值。
使用兔原代脉络膜微血管内皮细胞:
1)本产品仅能用于科研
2)本产品未通过直接用于活体动物和人的审核
3)本产品未通过用于活体诊断的审核
细胞特性:
1)组织来源于实验动物的正常眼组织。
2)细胞鉴定:CD34、CD31免疫荧光染色为阳性。
3)经鉴定细胞纯度高于90%。
4)不含有 HIV-1、 HBV、HCV、支原体、细菌、酵母和真菌。
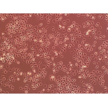
5)兔原代脉络膜微血管内皮细胞生长方式:呈鹅卵石样,不规则细胞,贴壁培养。
产品兔原代脉络膜微血管内皮细胞的运输和保存:
视天气状况和运输距离远近,公司与客户协商后选择下述方式中的一种进行。
1)1mL冻存细胞悬液装于1.8ml的冻存管中,置于装满干冰的泡沫保温盒中进行运输;收到细胞后请尽快解冻复苏细胞进行培养,如无法立刻进行复苏操作,冻存细胞可在-80℃的条件下保存1个月。
2)T-25培养瓶充满完全培养基后进行常温运输;收到细胞后请镜下观察细胞生长状态,如铺瓶率超过85%请立即进行传代操作,如悬浮的细胞较多,请将培养瓶至于培养箱中静置过夜以帮助未死亡的悬浮细胞能够再次贴壁。
细胞详述:
脉络膜新生血管(choroidal neovascularization,CNV)已成为眼科学领域的研究热点之一,目前多数体外研究应用的是人脐静脉内皮细胞或主动脉内皮细胞等容易得到的大血管内皮细胞。由于血管内皮细胞具有器官特异性和组织特异性,用大血管内皮细胞的研究结果很难客观、准确地解释CNV的发生机制。因此,建立脉络膜微血管内皮细胞(choroidal microvascular endothelial cells,CEC)体外培养体系,对深入研究CNV相关疾病具有十分重要的价值。
使用兔原代脉络膜微血管内皮细胞:
1)本产品仅能用于科研
2)本产品未通过直接用于活体动物和人的审核
3)本产品未通过用于活体诊断的审核
细胞特性:
1)组织来源于实验动物的正常眼组织。
2)细胞鉴定:CD34、CD31免疫荧光染色为阳性。
3)经鉴定细胞纯度高于90%。
4)不含有 HIV-1、 HBV、HCV、支原体、细菌、酵母和真菌。
5)兔原代脉络膜微血管内皮细胞生长方式:呈鹅卵石样,不规则细胞,贴壁培养。
产品兔原代脉络膜微血管内皮细胞的运输和保存:
视天气状况和运输距离远近,公司与客户协商后选择下述方式中的一种进行。
1)1mL冻存细胞悬液装于1.8ml的冻存管中,置于装满干冰的泡沫保温盒中进行运输;收到细胞后请尽快解冻复苏细胞进行培养,如无法立刻进行复苏操作,冻存细胞可在-80℃的条件下保存1个月。
2)T-25培养瓶充满完全培养基后进行常温运输;收到细胞后请镜下观察细胞生长状态,如铺瓶率超过85%请立即进行传代操作,如悬浮的细胞较多,请将培养瓶至于培养箱中静置过夜以帮助未死亡的悬浮细胞能够再次贴壁。
风险提示:丁香通仅作为第三方平台,为商家信息发布提供平台空间。用户咨询产品时请注意保护个人信息及财产安全,合理判断,谨慎选购商品,商家和用户对交易行为负责。对于医疗器械类产品,请先查证核实企业经营资质和医疗器械产品注册证情况。
技术资料暂无技术资料 索取技术资料
兔原代脉络膜微血管内皮细胞
¥1800 - 5800









