万千商家帮你免费找货
0 人在求购买到急需产品
- 详细信息
- 文献和实验
- 技术资料
- 细胞类型:
原代细胞
- 供应商:
江西江蓝纯生物试剂有限公司
- 库存:
29
- 生长状态:
良好
- 年限:
2年
- 运输方式:
常温避光
- 物种来源:
兔
- 规格:
>5×105细胞数
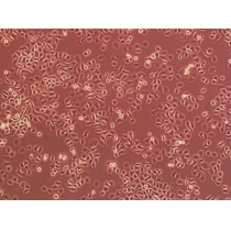
兔原代骨骼肌细胞
细胞详述:
骨骼肌细胞(Skeletal muscle cells)是人和动物体内大的细胞之一,它们是由成肌细胞(Myoblasts)融合而来的多核细胞,故骨骼肌的形成是一个非常复杂的过程,并需要多种细胞信号通路的参与,包括phosphatidylinositol 3-kinase,calcineurin,STAT3和MAPK等。原代骨骼肌细胞的培养是研究细胞分化过程的有效的模型。
使用兔原代骨骼肌细胞:
1)本产品仅能用于科研
2)本产品未通过直接用于活体动物和人的审核
3)本产品未通过用于活体诊断的审核
细胞特性:
1)细胞来源于实验动物正常肌肉组织。
2)细胞鉴定:肌动蛋白(α-actin)免疫荧光染色为阳性。
3)经鉴定细胞纯度高于90%。
4)不含有 HIV-1、 HBV、HCV、支原体、细菌、酵母和真菌。
5)兔原代骨骼肌细胞生长方式:长梭状细胞,贴壁培养。
产品兔原代骨骼肌细胞的运输和保存:
视天气状况和运输距离远近,公司与客户协商后选择下述方式中的一种进行。
1)1mL冻存细胞悬液装于1.8ml的冻存管中,置于装满干冰的泡沫保温盒中进行运输;收到细胞后请尽快解冻复苏细胞进行培养,如无法立刻进行复苏操作,冻存细胞可在-80℃的条件下保存1个月。
2)T-25培养瓶充满完全培养基后进行常温运输;收到细胞后请镜下观察细胞生长状态,如铺瓶率超过85%请立即进行传代操作,如悬浮的细胞较多,请将培养瓶至于培养箱中静置过夜以帮助未死亡的悬浮细胞能够再次贴壁。
细胞详述:
骨骼肌细胞(Skeletal muscle cells)是人和动物体内大的细胞之一,它们是由成肌细胞(Myoblasts)融合而来的多核细胞,故骨骼肌的形成是一个非常复杂的过程,并需要多种细胞信号通路的参与,包括phosphatidylinositol 3-kinase,calcineurin,STAT3和MAPK等。原代骨骼肌细胞的培养是研究细胞分化过程的有效的模型。
使用兔原代骨骼肌细胞:
1)本产品仅能用于科研
2)本产品未通过直接用于活体动物和人的审核
3)本产品未通过用于活体诊断的审核
细胞特性:
1)细胞来源于实验动物正常肌肉组织。
2)细胞鉴定:肌动蛋白(α-actin)免疫荧光染色为阳性。
3)经鉴定细胞纯度高于90%。
4)不含有 HIV-1、 HBV、HCV、支原体、细菌、酵母和真菌。
5)兔原代骨骼肌细胞生长方式:长梭状细胞,贴壁培养。
产品兔原代骨骼肌细胞的运输和保存:
视天气状况和运输距离远近,公司与客户协商后选择下述方式中的一种进行。
1)1mL冻存细胞悬液装于1.8ml的冻存管中,置于装满干冰的泡沫保温盒中进行运输;收到细胞后请尽快解冻复苏细胞进行培养,如无法立刻进行复苏操作,冻存细胞可在-80℃的条件下保存1个月。
2)T-25培养瓶充满完全培养基后进行常温运输;收到细胞后请镜下观察细胞生长状态,如铺瓶率超过85%请立即进行传代操作,如悬浮的细胞较多,请将培养瓶至于培养箱中静置过夜以帮助未死亡的悬浮细胞能够再次贴壁。
风险提示:丁香通仅作为第三方平台,为商家信息发布提供平台空间。用户咨询产品时请注意保护个人信息及财产安全,合理判断,谨慎选购商品,商家和用户对交易行为负责。对于医疗器械类产品,请先查证核实企业经营资质和医疗器械产品注册证情况。
文献和实验相关实验
较简单;但容易产生杂质如成纤维细胞等,成纤维细胞生长快,故培养之细胞质量较差;培养的大多数细胞无收缩性;且原代细胞的获得需3~4周,获得大量平滑肌细胞耗时长(17)。既往酶消化法较组织块法复杂、精细;适宜的酶浓度和培养时间的确定较为困难;然而在较短时间内可获得大量的平滑肌细胞,1996年有学者报道(Chambers(18)等)酶消化法纯度为70%。可见一种快速、高效、高纯度的酶消化法培养膀胱平滑肌的方法显得尤为重要。 本实验研究两只兔所有标本均获成功。倒置显微镜观察平滑肌细胞24小时均可见膀胱平滑肌细胞
操作演示
正常小鼠原代骨骼肌细胞培养 一、实验试剂1、培养基: PriCells Medium + 10% FBS + 1% P/S + PriCells Supplement2、冻存液: PriCells Medium + 20% FBS + 10% DMSO3、洗涤液: 1 × PBS (pH 7.4 )+ 1% P/S4、染色液: 0.4% Trypan Blue5、消化液: PriCells Isolation of Primary Cell Kit6、检测试剂:鼠抗人及大鼠desmin一抗
技术资料暂无技术资料 索取技术资料
兔原代骨骼肌细胞
¥1800 - 5800









