相关产品推荐更多 >
万千商家帮你免费找货
0 人在求购买到急需产品
- 详细信息
- 文献和实验
- 技术资料
- 品系:
详询
- ATCC Number:
无
- 细胞类型:
癌细胞
- 肿瘤类型:
食管癌
- 供应商:
上海晅科生物科技有限公司
- 库存:
100
- 英文名:
TE-11
- 生长状态:
贴壁细胞
- 年限:
详见说明书
- 运输方式:
常温运输/干冰运输
- 器官来源:
详询
- 是否是肿瘤细胞:
是
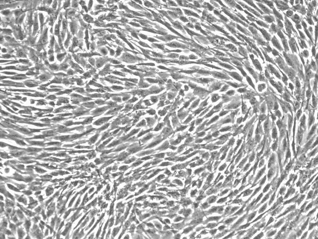
- 细胞形态:
上皮细胞样
- 免疫类型:
癌基因
- 物种来源:
人
- 相关疾病:
食管癌
- 组织来源:
详询
别称:TE11; Te11
种属:人
年龄(性别):
生长特性:贴壁细胞
细胞形态:
生长培养基:RPMI-1640(PM150110)+10% FBS(164210-500)+1% P/S(PB180120)
冻存条件:冻存液:50%基础培养基+40%胎牛血清+10%DMSO温度:液氮
温度:液氮
培养条件 :
气相:空气,95%;CO2,5%温度:37℃
背景描述:TE-11(人食管癌细胞)详询
细胞计数
原理:当待测细胞悬液中细胞均匀分布时,通过测定一定体积悬液中的细胞的数目即可换算出每mL细胞悬液中的细胞数量。
操作步骤:
1.将计数板及盖玻片擦拭干净,并将盖玻片盖在计数板上;
2.轻轻吹打细胞悬液,使细胞均匀分布;吸出少许细胞悬液滴在细胞入口,使细胞悬液充满盖玻片和计数板之间,静置1-2min,使细胞沉降;注意盖玻片下不要有气泡,也避免细胞悬液进入旁边的槽中;
3.在显微镜下对A/B/C/D四个大格内的细胞进行计数,压在大格四周边线上的细胞只计数压在2条边线上的细胞(如右侧和下方);若镜下有2个细胞组成的细胞团,则应按单个细胞计算;若细胞团数量较多,占细胞总量的10%左右,则说明细胞分散不好会导致计算不准确,需要重新制备细胞悬液;
4.按公式计数细胞数量:细胞数/mL=四个大格内细胞总数×104/4
(每一个大格的体积为长1mm×宽1mm×高0.1mm=0.1mm3,1mL=1000mm3,因此计算时需×104)
风险提示:丁香通仅作为第三方平台,为商家信息发布提供平台空间。用户咨询产品时请注意保护个人信息及财产安全,合理判断,谨慎选购商品,商家和用户对交易行为负责。对于医疗器械类产品,请先查证核实企业经营资质和医疗器械产品注册证情况。
文献和实验11-脱氧皮质〔甾〕酮 11-deoxycorticosterone
C21 H30 O3 , 21-羟基孕烯 -4-二酮 -3, 20。也单称脱氧皮质〔甾〕酮,或缩写 DOC。是副肾皮质激素的一种,具有糖代谢作用。由副肾皮质细胞的微粒体的 21-羟化酶的作用,从黄体酮进行生物合成的。其乙酸酯缩写为 DOCA,应用于临床。由于在副肾皮质细胞的线粒体中的 11β -羟化酶的作用可生成皮质酮,所以通常也认为是一种中间体。
稳定细胞株构建的第一个步骤就是细胞转染,这项实验的原理大家都清楚,但是为什么一上手就会出现多种问题,在实验第一步就栽了跟头呢? 是细胞转染方法不对头?还是实验过程中的某个因素影响了转染效率?了解本文这11个注意事项,让你的细胞转染实验顺利通关! 所谓转染,是指在真核细胞里导入具有生物功能的核酸并核酸的生物功能。通常选用的转染方法包括物理介导法(如电穿孔法、显微注射和基因枪等)、化学介导法(如磷酸钙共沉淀法、脂质体转染方法、多种阳离子物质介导法)、生物介导法(如原生质体转染、病毒介导转染
Methods and Software in NGS for TE Analysis
The recent development of next-generation sequencing (NGS) technologies allowed various authors to imagine, test, and validate new approaches for TE analysis, in their nature, type, activity, or quantity. In this chapter, we describe briefly
技术资料暂无技术资料 索取技术资料










