万千商家帮你免费找货
0 人在求购买到急需产品
- 详细信息
- 询价记录
- 文献和实验
- 技术资料
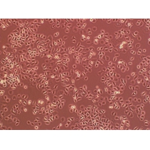
- 细胞类型:
原代细胞
- 供应商:
江西江蓝纯生物试剂有限公司
- 库存:
39
- 生长状态:
良好
- 年限:
2年
- 运输方式:
常温避光
- 物种来源:
人
- 规格:
>5×105细胞数
产品使用:
1)本产品仅能用于科研
2)本产品未通过直接用于活体动物和人的审核
3)本产品未通过用于活体诊断的审核
我们推荐使用人原代真皮毛乳头细胞培养基。
细胞特性:
1)细胞来源于手术切除的正常头皮组织。
2)细胞鉴定:纤维连接蛋白(Fibronectin)免疫荧光染色为阳性。
3)经鉴定细胞纯度高于90%。
4)不含有 HIV-1、 HBV、HCV、支原体、细菌、酵母和真菌。
5)细胞生长方式:成纤维样细胞,贴壁培养。
人原代真皮毛乳头细胞的运输和保存:
视天气状况和运输距离远近,公司与客户协商后选择下述方式中的一种进行。
1)1mL冻存细胞悬液装于1.8ml的冻存管中,置于装满干冰的泡沫保温盒中进行运输;收到细胞后请尽快解冻复苏细胞进行培养,如无法立刻进行复苏操作,冻存细胞可在-80℃的条件下保存1个月。
2)T-25培养瓶充满完全培养基后进行常温运输;收到细胞后请镜下观察细胞生长状态,如铺瓶率超过85%请立即进行传代操作,如悬浮的细胞较多,请将培养瓶至于培养箱中静置过夜以帮助未死亡的悬浮细胞能够再次贴壁。
人原代真皮毛乳头细胞详述:
真皮毛乳头细胞位于毛囊基底部,是一类成纤维细胞。在毛囊发育早期,真皮细胞向单层上皮细胞发出真皮信号,刺激上皮局部形成毛基板。随后毛基板细胞向下方的真皮发出表皮信号,诱导其形成有成纤维细胞组成的凝集细胞团。在此过程中,毛母质细胞逐渐包裹凝集细胞团,形成成熟的真皮毛乳头细胞。作为毛囊中的重要细胞群,真皮毛乳头细胞的分子机制和临床应用正在被逐渐认识和解析。
风险提示:丁香通仅作为第三方平台,为商家信息发布提供平台空间。用户咨询产品时请注意保护个人信息及财产安全,合理判断,谨慎选购商品,商家和用户对交易行为负责。对于医疗器械类产品,请先查证核实企业经营资质和医疗器械产品注册证情况。
- 作者
- 内容
- 询问日期
文献和实验。然而,有些细胞“百毒不侵”,比如干细胞或原代细胞,你还真拿它没办法。无论怎么优化,转染试剂就是不灵。这时,不妨换个思路,试试电穿孔吧。 Life Technologies公司在2009年推出了一种新一代的电穿孔仪——Neon®转染系统。它可将核酸(包括质粒DNA和siRNA)高效导入几乎任意一种动物细胞内,包括难以转染的原代细胞、干细胞和造血系统来源的细胞,同时保持高的细胞活性。 新颖的转染室 大家可能注意到,Neon系统中没有带传统的电转杯。确实,这就是它的独特之处
转染小分子RNAInvivofectamine 2.0和Neon系统
可以高枕无忧,但Invitrogen还在开发更多的转染试剂和仪器,试图覆盖更广的市场。 有些百毒不侵的细胞,你还真拿它没办法,转染试剂就是不管用。这时,我们得换一招。你有两个选择:电穿孔和病毒。体验过的人都知道,用病毒作为载体来转染相当复杂。通常需要构建重组 子,让它表达前体miRNA或shRNA,然后收集病毒粒子,转导细胞,在那里生成有功能的siRNA或miRNA模拟物。如果顺利的话,大概需要几个星期。 电穿孔这种方法就相对简单一些,但你需要投入一台仪器。过去的说法是,这种
本品系用狂犬病固定毒(aG)适应株接种原代地鼠肾单层细胞,培养后收获病毒液,加入甲醛溶液灭活后浓缩,再加氢氧化铝制成。用于预防狂犬病。 1 毒种 1.1 毒种来源 狂犬病固定毒aG适应株系用狂犬病固定毒北京株先在地鼠肾细胞传代适应后,再通过豚鼠脑内交替传代适应而成。由中国药品生物制品检定所检定、保存与分发。生产用毒种传代应不超过10aG交替代。 1.2 毒种检定 1.2.1无菌
技术资料暂无技术资料 索取技术资料










