万千商家帮你免费找货
0 人在求购买到急需产品
- 详细信息
- 询价记录
- 文献和实验
- 技术资料
- 细胞类型:
原代细胞
- 供应商:
江西江蓝纯生物试剂有限公司
- 库存:
48
- 生长状态:
良好
- 年限:
2年
- 运输方式:
常温避光
- 物种来源:
小鼠
- 规格:
>5×105细胞数
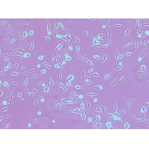
小鼠原代小胶质细胞
产品使用:
1)本产品仅能用于科研
2)本产品未通过直接用于活体动物和人的审核
3)本产品未通过用于活体诊断的审核
我们推荐使用小鼠原代小胶质细胞培养基。
细胞详述:
小胶质细胞分布于整个中枢系统,是中枢神经系统小的一种胶质细胞,约占整个胶质细胞的5-10%。作为常驻中枢神经系统的免疫效应细胞,小胶质细胞及其介导的神经炎症在中枢神经系统的损伤及疾病的转归过程中起着非常重要的作用。
细胞特性:
1)小鼠原代小胶质细胞组织来源于实验动物的正常脑组织。
2)细胞鉴定:CD68免疫荧光染色为阳性。
3)经鉴定细胞纯度高于90%。
4)不含有 HIV-1、 HBV、HCV、支原体、细菌、酵母和真菌。
5)细胞生长方式:圆形细胞,不规则细胞,贴壁培养。
小鼠原代小胶质细胞的运输和保存:
视天气状况和运输距离远近,公司与客户协商后选择下述方式中的一种进行。
1)1mL冻存细胞悬液装于1.8ml的冻存管中,置于装满干冰的泡沫保温盒中进行运输;收到细胞后请尽快解冻复苏细胞进行培养,如无法立刻进行复苏操作,冻存细胞可在-80℃的条件下保存1个月。
2)T-25培养瓶充满完全培养基后进行常温运输;收到细胞后请镜下观察细胞生长状态,如铺瓶率超过85%请立即进行传代操作,如悬浮的细胞较多,请将培养瓶至于培养箱中静置过夜以帮助未死亡的悬浮细胞能够再次贴壁。
产品使用:
1)本产品仅能用于科研
2)本产品未通过直接用于活体动物和人的审核
3)本产品未通过用于活体诊断的审核
我们推荐使用小鼠原代小胶质细胞培养基。
细胞详述:
小胶质细胞分布于整个中枢系统,是中枢神经系统小的一种胶质细胞,约占整个胶质细胞的5-10%。作为常驻中枢神经系统的免疫效应细胞,小胶质细胞及其介导的神经炎症在中枢神经系统的损伤及疾病的转归过程中起着非常重要的作用。
细胞特性:
1)小鼠原代小胶质细胞组织来源于实验动物的正常脑组织。
2)细胞鉴定:CD68免疫荧光染色为阳性。
3)经鉴定细胞纯度高于90%。
4)不含有 HIV-1、 HBV、HCV、支原体、细菌、酵母和真菌。
5)细胞生长方式:圆形细胞,不规则细胞,贴壁培养。
小鼠原代小胶质细胞的运输和保存:
视天气状况和运输距离远近,公司与客户协商后选择下述方式中的一种进行。
1)1mL冻存细胞悬液装于1.8ml的冻存管中,置于装满干冰的泡沫保温盒中进行运输;收到细胞后请尽快解冻复苏细胞进行培养,如无法立刻进行复苏操作,冻存细胞可在-80℃的条件下保存1个月。
2)T-25培养瓶充满完全培养基后进行常温运输;收到细胞后请镜下观察细胞生长状态,如铺瓶率超过85%请立即进行传代操作,如悬浮的细胞较多,请将培养瓶至于培养箱中静置过夜以帮助未死亡的悬浮细胞能够再次贴壁。
风险提示:丁香通仅作为第三方平台,为商家信息发布提供平台空间。用户咨询产品时请注意保护个人信息及财产安全,合理判断,谨慎选购商品,商家和用户对交易行为负责。对于医疗器械类产品,请先查证核实企业经营资质和医疗器械产品注册证情况。
- 作者
- 内容
- 询问日期
文献和实验相关实验
实验步骤 为了检测小胶质细胞的吞噬功能,利用凋亡的神经祖细胞作为目标,因为在体外环境下它能最模拟自然条件下小胶质细胞的吞噬目标。 1. 将神经祖细胞(NPC)置于0.1M PBS 2mg/ml木瓜蛋白酶(Worthington)溶液中进行分离,37ºC作用30min。 2. 将分离的NPC 在紫外光下处理15-20min。 注:此步应该在一个很薄的塑料培养皿中进行,厚的塑料(如15或50毫升锥形管)将阻止
操作演示
用碳酸银浸镀法显示的小胶质细胞是中枢神经系统中最小的一种胶质细胞。细胞体呈细长或椭圆,从胞体发出细长而有分支的突起,表面有许多小棘突。常规染色见核细长或三角形,染色较深。电镜下小胶质细胞染色深,核扁平或锯齿状,胞质内溶酶体较多。小胶质细胞数量少,约占全部胶质细胞的 5 %。此细胞是定居在脑内的吞噬细胞,在炎症刺激下,其抗原性增强,形态伸展,功能活跃。小胶质细胞在脑内各部分均有分布,在灰质中的数量比在白质中的多 5 倍。海马、嗅叶和基底神经节的小胶质细胞比丘脑和下丘脑的多,而脑干与小脑中
技术资料暂无技术资料 索取技术资料
小鼠原代小胶质细胞
¥1800 - 5800










