相关产品推荐更多 >
万千商家帮你免费找货
0 人在求购买到急需产品
- 详细信息
- 技术资料
- 免疫原:
recombinant protein
- 亚型:
IgG1
- 形态:
液体
- 保存条件:
Store at -20°C. Avoid freeze / thaw cycles.
- 克隆性:
单克隆
- 适应物种:
Human Mouse Rat
- 库存:
99
- 供应商:
北京索莱宝科技有限公司
- 宿主:
Mouse
- 应用范围:
WB IHC
- 靶点:
HSP90 alpha
- 抗体英文名:
Anti-HSP90 alpha Monoclonal Antibody
- 抗体名:
HSP-90 alpha;HSP 86;HSP 86;Renal carcinoma antigen NY REN 38;Heat shock 86 kDa
- 规格:
50ul/100ul
| 规格: | 50ul | 产品价格: | ¥960.0 |
|---|---|---|---|
| 规格: | 100ul | 产品价格: | ¥1600.0 |
产品简介
| 英文名称 | Anti-HSP90AA1 alpha Monoclonal Antibody |
| 中文名称 | 热激蛋白90-α抗体 |
| 别名 | EL52;HEL-S-65p;Hsp103;HSP86;Hsp89;HSP89A;Hsp90;HSP90A;HSP90N;HSPC1;HSPCA;HSPCAL1;HSPCAL4;HSPN;LAP-2;LAP2;EL52;HEL-S-65p;HSP86;Hsp89;HSP89A;Hsp90;HSP90A;HSP90N;HSPC1;HSPCA;HSPCAL1;HSPCAL4;HSPN;LAP-2;LAP2 |
| 背景资料 | Hsp90 (heat shock protein 90) is a chaperone protein that assists other proteins to fold properly, stabilizes proteins against heat stress, and aids in protein degradation. In mammalian cells, there are two or more genes encoding cytosolic Hsp90 homologues, with the human Hsp90α showing 85% sequence identity to Hsp90β. |
| Swiss Prot | P07900 |
| Gene ID | 3320 |
| 亚细胞定位 | Cell membrane Cytoplasm Melanosome |
| 克隆类型 | Monoclonal Antibody |
| 亚型 | IgG1 |
| 克隆号 | 1F6 |
| 蛋白分子量 | 85/98kDa |
| 稀释比例 | WB 1:1000-3000. IHC 1:100-200. |
| 免疫原 | recombinant protein |
| Public Immunogen Range | recombinant protein |
| 纯化方法 | Affinity purification |
| 储存液 | Buffer: PBS with 0.03% Proclin300, 50% glycerol, pH7.3. |
| 保存 | Store at -20°C. Avoid freeze / thaw cycles. |
| 性状 | 液体 |
| 交叉反应 | Human Rat Mouse |
| 应用 | WB IHC |
| 规格 | 50ul 100ul |
| 单位 | 支 |
备注:
以上数据均来自公开文献, Solarbio暂未进行独立验证, 仅供参考。
These protocols are for reference only. Solarbio does not independently validate these methods.
温馨提示:
使用前请离心。如有问题请及时联系我们。
Quick spin before use. If you have any questions, please contact us.
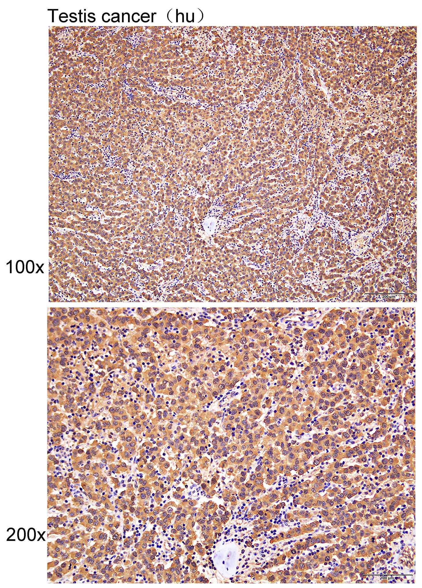
实验图
Immunohistochemistry of paraffin-embedded Human testis cancer with HSP90AA1 antibody diluted at 1:100
Western blot analysis with HSP90AA1 antibody diluted at 1:2000;Lane: Hela
风险提示:丁香通仅作为第三方平台,为商家信息发布提供平台空间。用户咨询产品时请注意保护个人信息及财产安全,合理判断,谨慎选购商品,商家和用户对交易行为负责。对于医疗器械类产品,请先查证核实企业经营资质和医疗器械产品注册证情况。
技术资料暂无技术资料 索取技术资料
Anti-HSP90 alpha Monoclonal Antibody
¥960 - 1600








