相关产品推荐更多 >
万千商家帮你免费找货
0 人在求购买到急需产品
- 详细信息
- 技术资料
- 免疫原:
Recombinant protein of human SERPINB8
- 亚型:
IgG
- 保存条件:
Store at -20°C. Avoid freeze / thaw cycles.
- 适应物种:
Human
- 目录编号:
K106993P
- 库存:
99
- 供应商:
北京索莱宝科技有限公司
- 应用范围:
IHC
- 靶点:
SERPINB8
- 抗体名:
CAP 2;CAP2;Cytoplasmic antiproteinase 2;Peptidase inhibitor 8;PI 8;PI8;Serpin B8;SERPINB8
- 规格:
50ul/100ul
| 规格: | 50ul | 产品价格: | ¥960.0 |
|---|---|---|---|
| 规格: | 100ul | 产品价格: | ¥1600.0 |
产品简介
备注:
以上数据均来自公开文献, Solarbio暂未进行独立验证, 仅供参考。
These protocols are for reference only. Solarbio does not independently validate these methods.
实验图
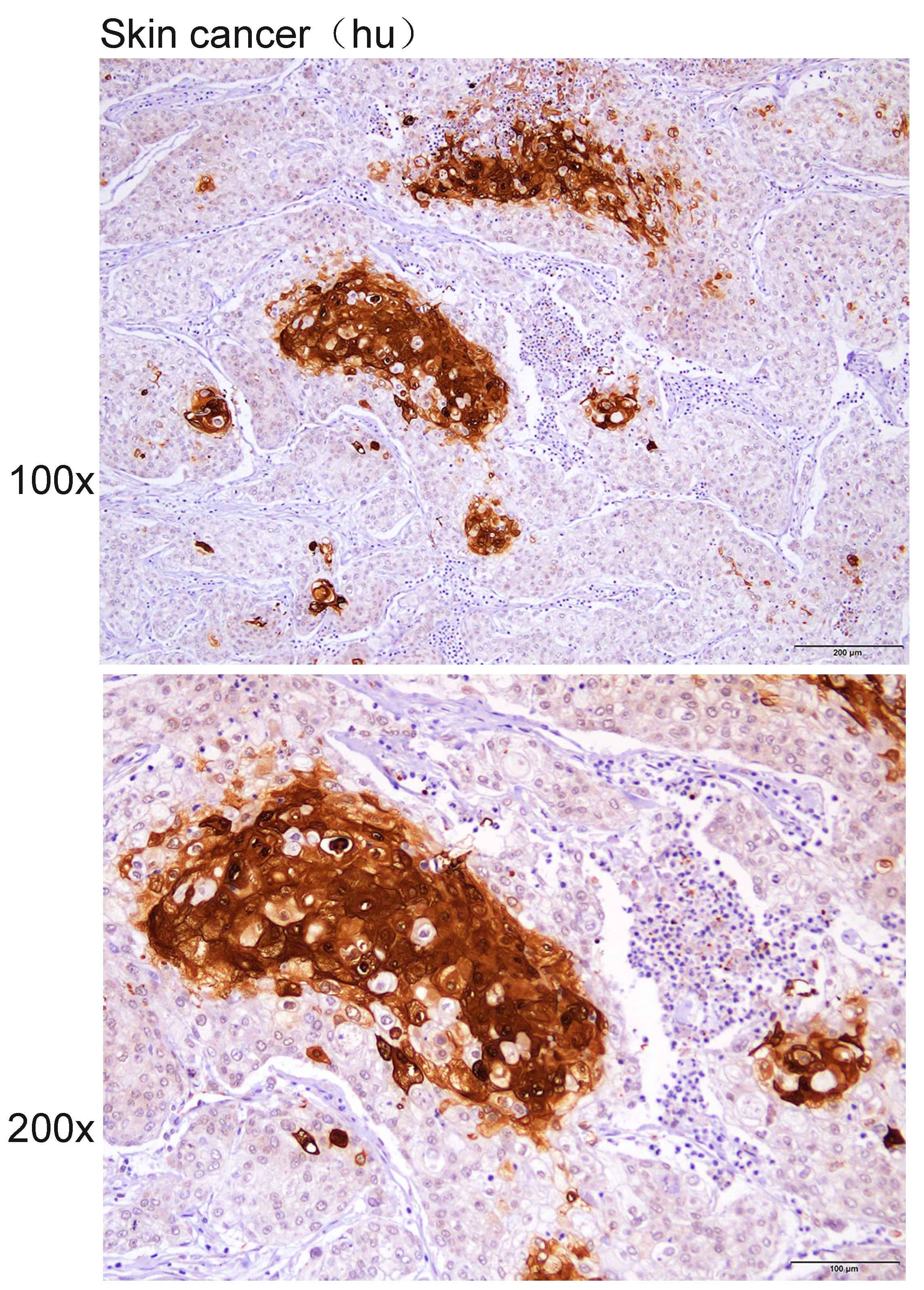
Immunohistochemistry?of?paraffin-embedded?Human skin cancer?with?SERPINB8 antibody diluted at 1:100
| 英文名称 | Anti-SERPINB8 Polyclonal Antibody |
| 宿主 | Rabbit |
| 别名 | CAP 2;CAP2;Cytoplasmic antiproteinase 2;Peptidase inhibitor 8;PI 8;PI8;Serpin B8;SERPINB8 |
| 稀释比例 | IHC 1:100-300. |
| 蛋白分子量 | 43kDa |
| Gene ID | 5271 |
| 保存 | Store at -20°C. Avoid freeze / thaw cycles. |
| 储存液 | Buffer: PBS with 0.03% Proclin300, 50% glycerol, pH7.3. |
| 纯化方法 | Affinity purification |
| 亚型 | IgG |
| 免疫原 | Recombinant protein of human SERPINB8 |
| 性状 | 液体 |
| 亚细胞定位 | Cytoplasm? |
| Swiss Prot | P50452 |
| 背景资料 | The protein encoded by this gene is a member of the ov-serpin family of serine protease inhibitors. The encoded protein is produced by platelets and can bind to and inhibit the function of furin, a serine protease involved in platelet functions. In addition, this protein has been found to enhance the mechanical stability of cell-cell adhesion in the skin, and defects in this gene have been associated with an autosomal-recessive form of exfoliative ichthyosis. |
| Public Immunogen Range | 1-374aa |
| 克隆类型 | Polyclonal Antibody |
| 交叉反应 | Human |
| 应用 | IHC |
| 规格 | 50ul 100ul |
备注:
以上数据均来自公开文献, Solarbio暂未进行独立验证, 仅供参考。
These protocols are for reference only. Solarbio does not independently validate these methods.
实验图
Immunohistochemistry?of?paraffin-embedded?Human skin cancer?with?SERPINB8 antibody diluted at 1:100
风险提示:丁香通仅作为第三方平台,为商家信息发布提供平台空间。用户咨询产品时请注意保护个人信息及财产安全,合理判断,谨慎选购商品,商家和用户对交易行为负责。对于医疗器械类产品,请先查证核实企业经营资质和医疗器械产品注册证情况。
技术资料暂无技术资料 索取技术资料
Anti-SERPINB8 Polyclonal Antibody
¥960 - 1600











