相关产品推荐更多 >
万千商家帮你免费找货
0 人在求购买到急需产品
- 详细信息
- 文献和实验
- 技术资料
- 免疫原:
A synthetic peptide of human SLC10A1
- 亚型:
IgG
- 形态:
液体
- 保存条件:
Store at -20°C. Avoid freeze / thaw cycles.
- 克隆性:
单克隆
- 标记物:
现询
- 适应物种:
Human
- 保质期:
详询
- 抗原来源:
详询
- 目录编号:
K106675P
- 级别:
现询
- 库存:
99
- 供应商:
北京索莱宝科技有限公司
- 宿主:
Rabbit
- 应用范围:
IHC
- 浓度:
详询
- 靶点:
SLC10A1
- 抗体英文名:
Anti-SLC10A1 Polyclonal Antibody
- 抗体名:
NTCP;GIG29;Solute carrier family 10 member 1;NTCP1
- 规格:
50ul/100ul
| 规格: | 50ul | 产品价格: | ¥960.0 |
|---|---|---|---|
| 规格: | 100ul | 产品价格: | ¥1600.0 |
Anti-SLC10A1 Polyclonal Antibody
产品简介
|
英文名称
|
Anti-SLC10A1 Polyclonal Antibody
|
|
中文名称
|
钠离子/牛磺胆酸共转运蛋白抗体
|
|
靶标
|
SLC10A1
|
|
别名
|
NTCP;GIG29;Solute carrier family 10 member 1;NTCP1
|
|
背景资料
|
The protein encoded by this gene belongs to the sodium/bile acid cotransporter family, which are integral membrane glycoproteins that participate in the enterohepatic circulation of bile acids. Two homologous transporters are involved in the reabsorption of bile acids; the ileal sodium/bile acid cotransporter with an ap*ical cell localization that absorbs bile acids from the intestinal lumen, bile duct and kidney, and the liver-specific sodium/bile acid cotransporter, represented by this protein, that is found in the basolateral membranes of hepatocytes. Bile acids are the catabolic product of cholesterol metabolism, hence this protein is important for cholesterol homeostasis.
|
|
Swiss Prot
|
Q14973
|
|
Gene ID
|
6554
|
|
亚细胞定位
|
Cell membrane
|
|
宿主
|
Rabbit
|
|
克隆类型
|
Polyclonal Antibody
|
|
亚型
|
IgG
|
|
交叉反应
|
Human ; Rat ; Mouse
|
|
蛋白分子量
|
38kDa
|
|
应用
|
IHC
|
|
稀释比例
|
IHC 1:25-100.
|
|
免疫原
|
A synthetic peptide of human SLC10A1
|
|
Public Immunogen Range
|
135-185/349aa
|
|
纯化方法
|
Affinity purification
|
|
储存液
|
Buffer: PBS with 50% Glycerol, 0.03% Proclin300, 0.5% BSA, pH 7.3.
|
|
保存
|
Store at -20°C. Avoid freeze / thaw cycles.
|
|
规格
|
100ul ; 50ul
|
|
单位
|
支
|
These protocols are for reference only. Solarbio does not independently validate these methods.
Quick spin before use. If you have any questions, please contact us.
实验图
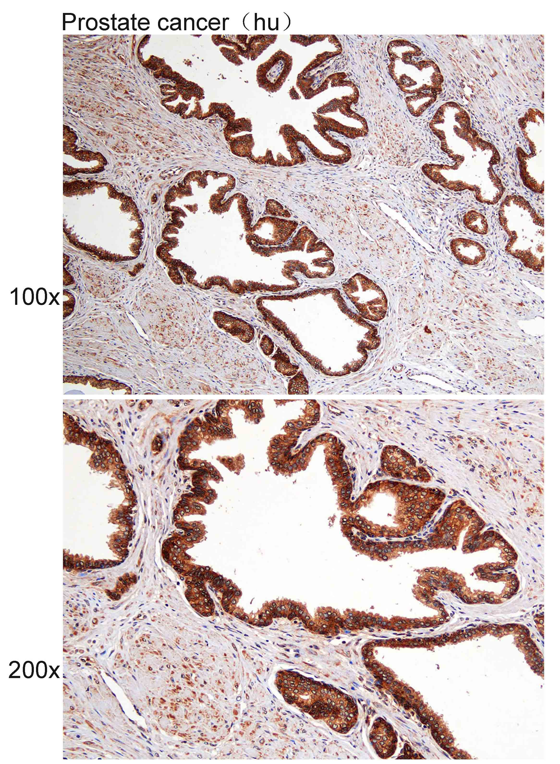
Immunohistochemistry of paraffin-embedded Prostate cancer(hu) using SLC10A1 at dilution of 1:50 (x100 lens,x200 lens).
Immunohistochemistry of paraffin-embedded Renal cancer(hu) using SLC10A1 at dilution of 1:50 (x100 lens,x200 lens).
Immunohistochemistry of paraffin-embedded Human prostate cancer with SLC10A1 antibody diluted at 1:40
风险提示:丁香通仅作为第三方平台,为商家信息发布提供平台空间。用户咨询产品时请注意保护个人信息及财产安全,合理判断,谨慎选购商品,商家和用户对交易行为负责。对于医疗器械类产品,请先查证核实企业经营资质和医疗器械产品注册证情况。
文献和实验Polyclonal Antibody Production
, if desired this is best accomplished by Protein A Affinity Chromatography. 上一篇:make an Antibody against a Peptides 下一篇:Immunization Protocol for Monoclonal Antibody Production
Polyclonal Antibody Production
Polyclonal Antibody Production Very useful for rapid and simple generation of antibodies for western blots, ELISA assays, and immunoprecipitation. Rabbit Immunization Initial Preparation Your antigen
a simple ELISA method to detect human anti-antibody response.










