相关产品推荐更多 >
万千商家帮你免费找货
0 人在求购买到急需产品
- 详细信息
- 文献和实验
- 技术资料
- 免疫原:
A synthetic peptide of human MCPIP1
- 亚型:
IgG
- 形态:
液体
- 保存条件:
Store at -20°C. Avoid freeze / thaw cycles.
- 克隆性:
单克隆
- 标记物:
详询
- 适应物种:
Human
- 保质期:
现询
- 抗原来源:
现询
- 目录编号:
K106615P
- 级别:
现询
- 库存:
99
- 供应商:
北京索莱宝科技有限公司
- 宿主:
Rabbit
- 应用范围:
WB IHC
- 浓度:
详询
- 靶点:
MCPIP1
- 抗体英文名:
Anti-MCPIP1 Polyclonal Antibody
- 抗体名:
dJ423B22.1;MCPIP;MCPIP1;dJ423B22.1;MCPIP;MCPIP-1;MCPIP1;Reg1
- 规格:
50ul/100ul
| 规格: | 50ul | 产品价格: | ¥960.0 |
|---|---|---|---|
| 规格: | 100ul | 产品价格: | ¥1600.0 |
Endoribonuclease involved in various biological functions such as cellular inflammatory response and immune homeostasis, glial differentiation of neuroprogenitor cells, cell death of cardiomyocytes, adipogenesis and angiogenesis. Functions as an endoribonuclease involved in mRNA decay. Modulates the inflammatory response by promoting the degradation of a set of translationally active cytokine-induced inflammation-related mRNAs, such as IL6 and IL12B, during the early phase of inflammation. Prevents aberrant T-cell-mediated immune reaction by degradation of multiple mRNAs controlling T-cell activation, such as those encoding cytokines (IL6 and IL2), cell surface receptors (ICOS, TNFRSF4 and TNFR2) and transcription factor (REL) (By similarity).
实验图
Western blot analysis with MCPIP1 antibody at dilution at 1:1000
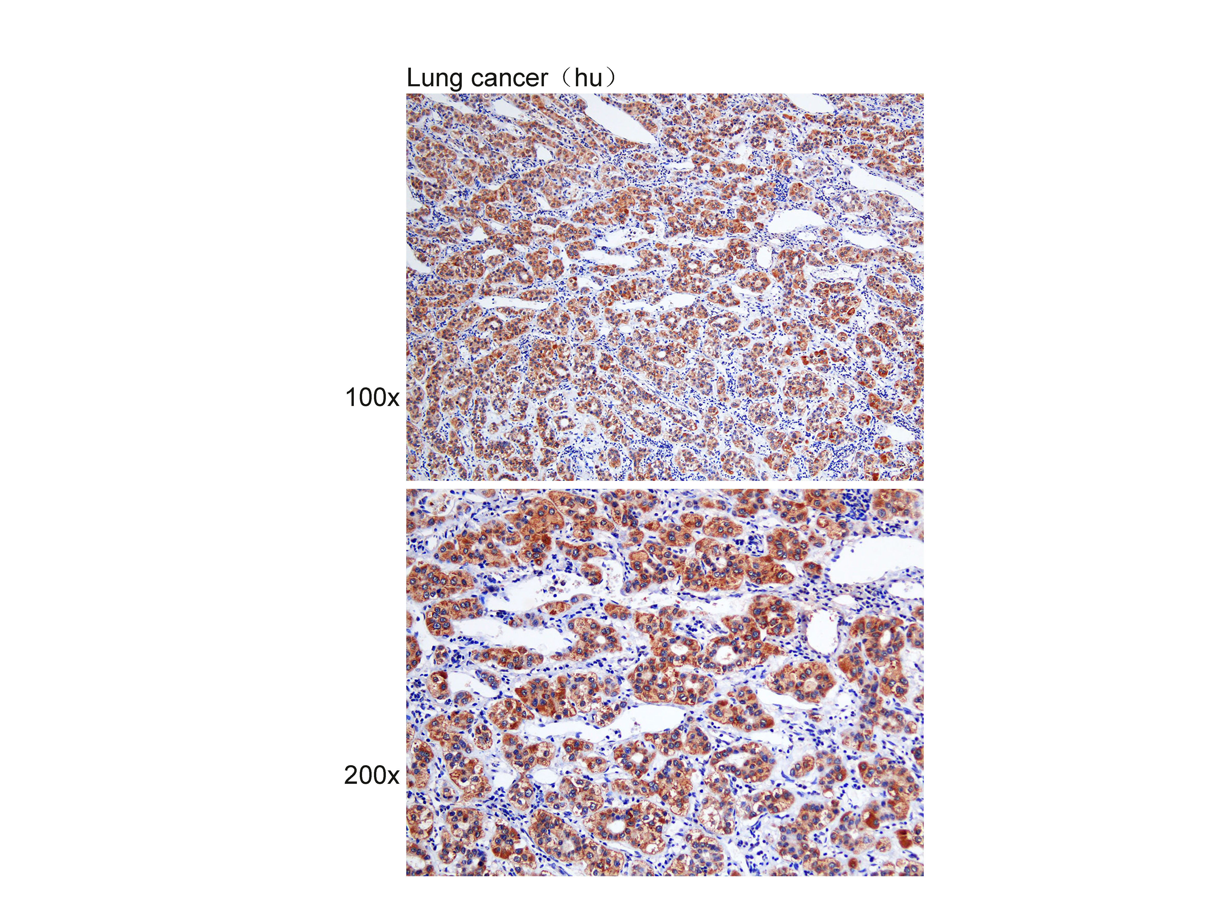
Immunohistochemistry of paraffin-embedded Lung cancer(hu) using MCPIP1 at dilution of 1:25 (x100 lens,x200 lens).
风险提示:丁香通仅作为第三方平台,为商家信息发布提供平台空间。用户咨询产品时请注意保护个人信息及财产安全,合理判断,谨慎选购商品,商家和用户对交易行为负责。对于医疗器械类产品,请先查证核实企业经营资质和医疗器械产品注册证情况。
文献和实验Polyclonal Antibody Production
, if desired this is best accomplished by Protein A Affinity Chromatography. 上一篇:make an Antibody against a Peptides 下一篇:Immunization Protocol for Monoclonal Antibody Production
Polyclonal Antibody Production
Polyclonal Antibody Production Very useful for rapid and simple generation of antibodies for western blots, ELISA assays, and immunoprecipitation. Rabbit Immunization Initial Preparation Your antigen
a simple ELISA method to detect human anti-antibody response.












