相关产品推荐更多 >
万千商家帮你免费找货
0 人在求购买到急需产品
- 详细信息
- 文献和实验
- 技术资料
- 免疫原:
A synthetic peptide of human GRP78
- 亚型:
IgG
- 形态:
液体
- 保存条件:
Store at -20°C. Avoid freeze / thaw cycles.
- 克隆性:
单克隆
- 标记物:
现询
- 适应物种:
Human Mouse Rat
- 保质期:
详询
- 抗原来源:
现询
- 目录编号:
K106525P
- 级别:
详询
- 库存:
99
- 供应商:
北京索莱宝科技有限公司
- 宿主:
Rabbit
- 应用范围:
WB IHC
- 浓度:
现询
- 靶点:
GRP78
- 抗体英文名:
Anti-HSPA5 Polyclonal Antibody
- 抗体名:
BIP;GRP78;HEL-S-89n;MIF2
- 规格:
50ul/100ul
| 规格: | 50ul | 产品价格: | ¥960.0 |
|---|---|---|---|
| 规格: | 100ul | 产品价格: | ¥1600.0 |
Anti-HSPA5 Polyclonal Antibody
The 78 kDa glucose regulated protein/BiP (GRP78) belongs to the family of ~70 kDa heat shock proteins (HSP 70). GRP78 is a resident protein of the endoplasmic reticulum (ER) and may associate transiently with a variety of newly synthesized secretory and membrane proteins or permanently with mutant or defective proteins that are incorrectly folded, thus preventing their export from the ER lumen. GRP78 is a highly conserved protein that is essential for cell viability. The highly conserved sequence Lys-Asp-Glu-Leu (KDEL) is present at the C terminus of GRP78 and other resident ER proteins including glucose regulated protein 94 (GRP 94) and protein disulfide isomerase (PDI). The presence of carboxy terminal KDEL appears to be necessary for retention and appears to be sufficient to reduce the secretion of proteins from the ER. This retention is reported to be mediated by a KDEL receptor.
实验图
Western blot analysis with GRP78 antibody diluted at 1:1000;Lane: Rat spinal cord.
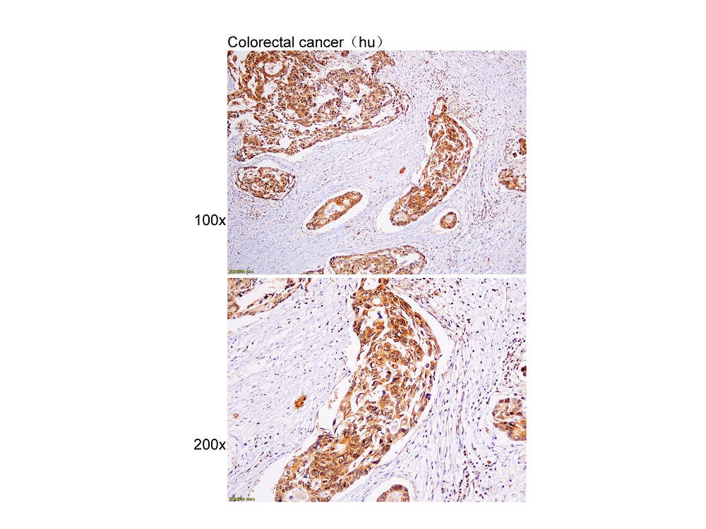
Immunohistochemistry of paraffin-embedded Human colorectal cancer with GRP78 antibody diluted at 1:100.
Immunofluorescence analysis of SH-SY5Y cells using GRP78 antibody diluted at 1:100.
风险提示:丁香通仅作为第三方平台,为商家信息发布提供平台空间。用户咨询产品时请注意保护个人信息及财产安全,合理判断,谨慎选购商品,商家和用户对交易行为负责。对于医疗器械类产品,请先查证核实企业经营资质和医疗器械产品注册证情况。
文献和实验Polyclonal Antibody Production
, if desired this is best accomplished by Protein A Affinity Chromatography. 上一篇:make an Antibody against a Peptides 下一篇:Immunization Protocol for Monoclonal Antibody Production
Polyclonal Antibody Production
Polyclonal Antibody Production Very useful for rapid and simple generation of antibodies for western blots, ELISA assays, and immunoprecipitation. Rabbit Immunization Initial Preparation Your antigen
a simple ELISA method to detect human anti-antibody response.











