产品封面图

Anti-CAST Polyclonal Antibody

收藏
  • ¥960 - 1600
  • Solarbio已认证
  • 北京
  • 2025年11月17日
  • Rabbit
  • Human
avatar
品牌商
14钻石会员
  • 企业认证

    点击 QQ 联系

    • 详细信息
    • 文献和实验
    • 技术资料
    • 免疫原

      Recombinant protein of human CAST

    • 亚型

      IgG

    • 保存条件

      Store at -20°C. Avoid freeze / thaw cycles.

    • 克隆性

      单克隆

    • 适应物种

      Human

    • 目录编号

      K006968P

    • 库存

      999

    • 供应商

      北京索莱宝科技有限公司

    • 宿主

      Rabbit

    • 靶点

      CAST

    • 抗体英文名

      Anti-CAST Polyclonal Antibody

    • 抗体名

      BS-17

    • 规格

      50ul/100ul

    规格:50ul产品价格:¥960.0
    规格:100ul产品价格:¥1600.0
    产品简介
    单位
    英文名称 Anti-CAST Polyclonal Antibody
    别名 BS-17
    宿主 Rabbit
    稀释比例 WB 1:1000-3000. IHC 1:20-200.
    Gene ID 831
    保存 Store at -20°C. Avoid freeze / thaw cycles.
    Swiss Prot P20810
    蛋白分子量 77kDa
    储存液 Buffer: PBS with 0.03% Proclin300, 50% glycerol, pH7.3.
    亚细胞定位 Cytoplasm
    免疫原 Recombinant protein of human CAST
    亚型 IgG
    性状 液体
    纯化方法 Affinity purification
    背景资料 The protein encoded by this gene is an endogenous calpain (calcium-dependent cysteine protease) inhibitor. It consists of an N-terminal domain L and four repetitive calpain-inhibition domains (domains 1-4), and it is involved in the proteolysis of amyloid precursor protein. The calpain/calpastatin system is involved in numerous membrane fusion events, such as neural vesicle exocytosis and platelet and red-cell aggregation. The encoded protein is also thought to affect the expression levels of genes encoding structural or regulatory proteins. Alternatively spliced transcript variants encoding different isoforms have been described.
    Public Immunogen Range Recombinant protein of human CAST
    克隆类型 Polyclonal Antibody
    交叉反应 Human
    应用 WB IHC
    规格 50ul 100ul

    备注:
    以上数据均来自公开文献, Solarbio暂未进行独立验证, 仅供参考。
    These protocols are for reference only. Solarbio does not independently validate these methods.
    温馨提示:
    使用前请离心。如有问题请及时联系我们。
    Quick spin before use. If you have any questions, please contact us.
    实验图
    产品细节图片1
    Western blot analysis with CAST antibody diluted at 1:2000; Lane: A549
    产品细节图片2
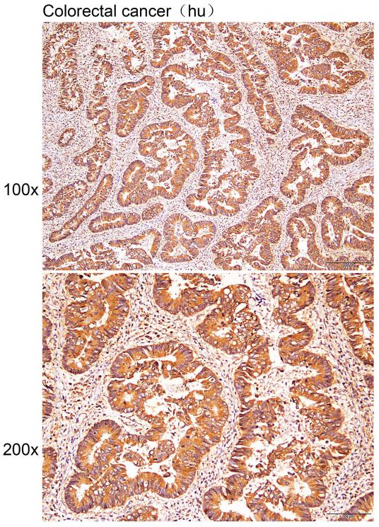
    Immunohistochemistry of paraffin-embedded Human colorectal cancer with CAST antibody diluted at 1:50

    风险提示:丁香通仅作为第三方平台,为商家信息发布提供平台空间。用户咨询产品时请注意保护个人信息及财产安全,合理判断,谨慎选购商品,商家和用户对交易行为负责。对于医疗器械类产品,请先查证核实企业经营资质和医疗器械产品注册证情况。

    图标文献和实验
    相关实验
    • Polyclonal Antibody Production

      , if desired this is best accomplished by Protein A Affinity Chromatography.   上一篇:make an Antibody against a Peptides   下一篇:Immunization Protocol for Monoclonal Antibody Production

    • Polyclonal Antibody Production

        Polyclonal Antibody Production Very useful for rapid and simple generation of antibodies for western blots, ELISA assays, and immunoprecipitation.     Rabbit Immunization Initial Preparation Your antigen

    • Human Anti-antibody Response

      a simple ELISA method to detect human anti-antibody response.

    图标技术资料

    暂无技术资料 索取技术资料

    同类产品报价

    产品名称
    产品价格
    公司名称
    报价日期
    ¥960
    北京索莱宝科技有限公司
    2025年07月08日询价
    询价
    上海邦景实业有限公司
    2025年06月30日询价
    ¥500
    北京百奥创新科技有限公司
    2025年07月12日询价
    询价
    南京赛戈巍生物科技有限公司
    2025年09月23日询价
    ¥1180
    澳培赛生物科技(上海)有限公司
    2025年07月15日询价
    Anti-CAST Polyclonal Antibody
    ¥960 - 1600