相关产品推荐更多 >
万千商家帮你免费找货
0 人在求购买到急需产品
- 详细信息
- 文献和实验
- 技术资料
- 免疫原:
Recombinant protein of human NAA10
- 亚型:
IgG
- 保存条件:
Store at -20°C. Avoid freeze / thaw cycles.
- 克隆性:
单克隆
- 适应物种:
Human Mouse Rat
- 目录编号:
K004936P
- 库存:
999
- 供应商:
北京索莱宝科技有限公司
- 宿主:
Rabbit
- 靶点:
NAA10
- 抗体英文名:
Anti-NAA10 Polyclonal Antibody
- 抗体名:
ARD1;ARD1A;ARD1P;DXS707;MCOPS1;NATD;OGDNS;TE2
- 规格:
50ul/100ul
| 规格: | 50ul | 产品价格: | ¥960.0 |
|---|---|---|---|
| 规格: | 100ul | 产品价格: | ¥1600.0 |
| 单位 | 支 |
| 英文名称 | Anti-NAA10 Polyclonal Antibody |
| 别名 | TE2;ARD1;NATD;ARD1A;ARD1P;OGDNS;hARD1;DXS707;MCOPS1 |
| 宿主 | Rabbit |
| 稀释比例 | WB 1:500-2000. IHC 1:50-200. IF 1:50-100. |
| Gene ID | 8260 |
| 保存 | Store at -20°C. Avoid freeze / thaw cycles. |
| Swiss Prot | P41227 |
| 蛋白分子量 | 26kDa |
| 储存液 | Buffer: PBS with 0.02% sodium azide, 50% glycerol, pH7.3. |
| 亚细胞定位 | Cytoplasm Nucleus |
| 免疫原 | Recombinant protein of human NAA10 |
| 亚型 | IgG |
| 性状 | 液体 |
| 纯化方法 | Affinity purification |
| 背景资料 | N-alpha-acetylation is among the most common post-translational protein modifications in eukaryotic cells. This process involves the transfer of an acetyl group from acetyl-coenzyme A to the alpha-amino group on a nascent polypeptide and is essential for normal cell function. This gene encodes an N-terminal acetyltransferase that functions as the catalytic subunit of the major amino-terminal acetyltransferase A complex. Mutations in this gene are the cause of Ogden syndrome. Alternate splicing results in multiple transcript variants. |
| Public Immunogen Range | Recombinant protein of human NAA10 |
| 克隆类型 | Polyclonal Antibody |
| 交叉反应 | Human Rat Mouse |
| 应用 | WB IF IHC |
| 规格 | 50ul 100ul |
备注:
以上数据均来自公开文献, Solarbio暂未进行独立验证, 仅供参考。
These protocols are for reference only. Solarbio does not independently validate these methods.
温馨提示:
使用前请离心。如有问题请及时联系我们。
Quick spin before use. If you have any questions, please contact us.
实验图
Western blot analysis with NAA10 antibody diluted at 1:1000
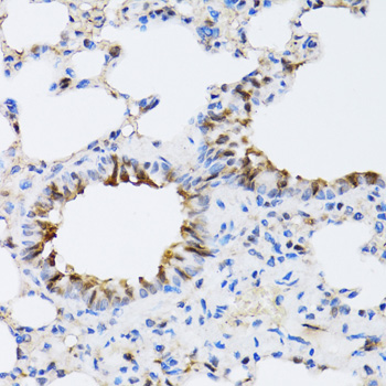
Immunohistochemistry of paraffin-embedded rat lung tissue using NAA10 antibody at dilution of 1:100 (x40 lens).
Immunofluorescence analysis of U2OS cell using NAA10 antibody. Blue: DAPI for nuclear staining.
风险提示:丁香通仅作为第三方平台,为商家信息发布提供平台空间。用户咨询产品时请注意保护个人信息及财产安全,合理判断,谨慎选购商品,商家和用户对交易行为负责。对于医疗器械类产品,请先查证核实企业经营资质和医疗器械产品注册证情况。
文献和实验Polyclonal Antibody Production
When you have the required amount of blood (1-5 mL is sufficient for a pre-bleed�for later bleeds take 20 mL), remove the needle and apply pressure to the wound. When the bleeding has stopped (~10 seconds), sterilize the ear with ethanol
Polyclonal Antibody Production
Polyclonal Antibody Production Very useful for rapid and simple generation of antibodies for western blots, ELISA assays, and immunoprecipitation. Rabbit Immunization Initial Preparation Your antigen
Construction of Polyclonal Antibody Libraries Using Phage Display
Polyclonal antibody libraries (PCALs) are standardized mixtures of antibodies (Abs) specific for an antigen (Ag) or multi-Ag target (a poly-Ag). As the immunoglobulin (Ig) genes are cloned, the mixtures can be perpetuated, amplified
技术资料暂无技术资料 索取技术资料











