万千商家帮你免费找货
0 人在求购买到急需产品
- 详细信息
- 文献和实验
- 技术资料
- 品系:
细胞系
- 细胞类型:
原代细胞
- 供应商:
上海机纯实业有限公司
- 库存:
107
- 英文名:
兔原代结肠平滑肌细胞
- 生长状态:
悬浮贴壁
- 年限:
长久
- 运输方式:
干冰运输
- 器官来源:
正常组织源性
- 规格:
>5×105细胞数
产品规格:>5×105细胞数
产品价格:3750
包装规格:1ml冻存细胞悬液或T-25培养瓶
产品的运输和保存:
视天气状况和运输距离远近,公司与客户协商后选择下述方式中的一种进行。
1)1mL冻存细胞悬液装于1.8ml的冻存管中,置于装满干冰的泡沫保温盒中进行运输;收到细胞后请尽快解冻复苏细胞进行培养,如无法立刻进行复苏操作,冻存细胞可在-80℃的条件下保存1个月。
2)T-25培养瓶充满完全培养基后进行常温运输;收到细胞后请镜下观察细胞生长状态,如铺瓶率超过85%请立即进行传代操作,如悬浮的细胞较多,请将培养瓶至于培养箱中静置过夜以帮助未死亡的悬浮细胞能够再次贴壁。
兔原代结肠平滑肌细胞
推荐培养基:
我们推荐使用原代平滑肌细胞培养体系作为体外培养原代结肠平滑肌细胞的培养基。
产品使用:
1)本产品仅能用于科研
2)本产品未通过直接用于活体动物和人的审核
3)本产品未通过用于活体诊断的审核
兔原代结肠平滑肌细胞
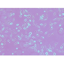
细胞特性:
1)细胞来源于实验动物正常结肠组织。
2)细胞鉴定:平滑肌肌动蛋白(α-SMA)免疫荧光染色为阳性。
3)经鉴定细胞纯度高于90%。
4)不含有 HIV-1、 HBV、HCV、支原体、细菌、酵母和真菌。
5)细胞生长方式:长梭状细胞,贴壁培养。
兔原代结肠平滑肌细胞
细胞详述:
结肠在右髂窝内续于盲肠,在第3骶椎平面连接直肠。结肠分升结肠、横结肠、降结肠和乙状结肠4部,大部分固定于腹后壁,结肠的排列酷似英文字母“M”,将小肠包围在内。
结肠横切面由内到外依次为:粘膜(上皮层,固有层,粘膜肌层),粘膜下层,肌层,外膜。
结肠平滑肌细胞主要分布于粘膜肌层和肌层;结肠运动少而缓慢,对刺激的反应也较迟缓。
风险提示:丁香通仅作为第三方平台,为商家信息发布提供平台空间。用户咨询产品时请注意保护个人信息及财产安全,合理判断,谨慎选购商品,商家和用户对交易行为负责。对于医疗器械类产品,请先查证核实企业经营资质和医疗器械产品注册证情况。
文献和实验实验步骤(一)、取SD 大鼠一只,实验时断椎处死。(二)、在无菌条件下快速自肛门上2 cm 取结肠10 cm 左右,生理盐水中反复灌肠冲洗。(三)、移入含300 U/ml青霉素、300 U/ml 链霉素的HepesRinger缓冲液中浸泡,肠段内外各15 min。(四)、将经抗生素浸泡过的肠段移入含Hepes Ringer缓冲液的塑料培养板中(培养板预先铺上705胶),在体视显微镜下沿肠系膜对侧纵行切开肠段,皮内针固定好四角,仔细地刮除粘膜层,翻转至外侧,小心地撕去肠系膜,再仔细地刮去浆膜
较简单;但容易产生杂质如成纤维细胞等,成纤维细胞生长快,故培养之细胞质量较差;培养的大多数细胞无收缩性;且原代细胞的获得需3~4周,获得大量平滑肌细胞耗时长(17)。既往酶消化法较组织块法复杂、精细;适宜的酶浓度和培养时间的确定较为困难;然而在较短时间内可获得大量的平滑肌细胞,1996年有学者报道(Chambers(18)等)酶消化法纯度为70%。可见一种快速、高效、高纯度的酶消化法培养膀胱平滑肌的方法显得尤为重要。 本实验研究两只兔所有标本均获成功。倒置显微镜观察平滑肌细胞24小时均可见膀胱平滑肌细胞
1、麻醉后消毒,下腹正中切口于膀胱颈(结扎处远端约1~2cm),严格无菌操作取出标本、手术台位于超净台旁2、在超净台,40u/ml庆大霉素溶液中浸泡5分钟3、生理盐水漂洗1次4、D-hanks液漂洗1次5、放入D-hanks液中,除去粘膜、粘膜下及浆膜如果是Shame组兔,以10ml注射器抽取约8ml D-hanks液,于粘膜层下注射起泡后,剪去粘膜层,直接剪取平滑肌组织,弃浆膜层及其上未剪下之肌组织。new: 如果是不全BOO兔,则可将膀胱剪成宽约0.5cm之条状,撕去粘膜层后,助手以一眼
技术资料暂无技术资料 索取技术资料










