相关产品推荐更多 >
万千商家帮你免费找货
0 人在求购买到急需产品
- 详细信息
- 文献和实验
- 技术资料
- 免疫原:
Recombinant protein encompassing a sequence within the center region of human ZO-1. The exact sequence is proprietary.
- 亚型:
IgG
- 形态:
Liquid
- 保存条件:
Store as concentrated solution. Centrifuge briefly prior to opening vial. For short-term storage (1-2 weeks), store at 4ºC. For long-term storage, aliquot and store at -20ºC or below. Avoid multiple freeze-thaw cycles.
- 克隆性:
Polyclonal
- 标记物:
Unconjugated
- 适应物种:
Human, Mouse, Bovine, Dog, Pig, Monkey
- 保质期:
12 months from the shipping date of the product.
- 抗原来源:
Human
- 目录编号:
GTX108592
- 级别:
Primary Antibodies
- 库存:
Available
- 供应商:
GeneTex
- 宿主:
Rabbit
- 应用范围:
WB, ICC/IF, IHC-P, IHC-Fr
- 浓度:
0.24 mg/ml (Please refer to the vial label for the specific concentration.)
- 靶点:
ZO-1
- 抗体英文名:
ZO-1 antibody
- 抗体名:
ZO-1 抗体
- 规格:
100 μl/25 μl
| 规格: | 100 μl | 产品价格: | ¥4000.0 |
|---|---|---|---|
| 规格: | 25 μl | 产品价格: | ¥1700.0 |
Non-transfected (–) and transfected (+) HeLa whole cell extracts (30 μg) were separated by 5% SDS-PAGE, and the membrane was blotted with ZO-1 antibody (GTX108592) diluted at 1:500. The HRP-conjugated anti-rabbit IgG antibody (GTX213110-01) was used to detect the primary antibody.
ZO-1 antibody detects ZO-1 protein at cell membrane and cytoplasm in mouse cervix by immunohistochemical analysis.
Sample: Paraffin-embedded mouse cervix.
ZO-1 antibody (GTX108592) diluted at 1:500.
Antigen Retrieval: Citrate buffer, pH 6.0, 15 min
Mouse tissue extract (50 μg) was separated by 5% SDS-PAGE, and the membrane was blotted with ZO-1 antibody (GTX108592) diluted at 1:500. The HRP-conjugated anti-rabbit IgG antibody (GTX213110-01) was used to detect the primary antibody.
Whole cell extract (30 μg) was separated by 5% SDS-PAGE, and the membrane was blotted with ZO-1 antibody (GTX108592) diluted at 1:1000. The HRP-conjugated anti-rabbit IgG antibody (GTX213110-01) was used to detect the primary antibody.
ZO-1 antibody detects ZO-1 protein at cell membrane and cytoplasm by immunofluorescent analysis.
Sample: MDCK cells were fixed in 4% PFA at RT for 15 min.
Green: ZO-1 stained by ZO-1 antibody (GTX108592) diluted at 1:1000.
ZO-1 antibody detects ZO-1 protein at cell membrane and cytoplasm by immunofluorescent analysis.
Sample: MDCK cells were fixed in 4% PFA at RT for 15 min.
Green: ZO-1 stained by ZO-1 antibody (GTX108592) diluted at 1:1000.
Various whole cell extracts (30 μg) were separated by 5% SDS-PAGE, and the membrane was blotted with ZO-1 antibody (GTX108592) diluted at 1:1000.
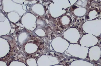
ZO-1 antibody detects ZO-1 protein at cell membrane by immunohistochemical analysis.
Sample: Paraffin-embedded human breast carcinoma.
ZO-1 stained by ZO-1 antibody (GTX108592) diluted at 1:500.
Antigen Retrieval: Citrate buffer, pH 6.0, 15 min
风险提示:丁香通仅作为第三方平台,为商家信息发布提供平台空间。用户咨询产品时请注意保护个人信息及财产安全,合理判断,谨慎选购商品,商家和用户对交易行为负责。对于医疗器械类产品,请先查证核实企业经营资质和医疗器械产品注册证情况。
文献和实验Jo H et al., Food Chem Toxicol 2017 (PMID:28780155)
Hwang D et al., Biomed Pharmacother 2016 (PMID:27876210)
Han P et al., Cell Commun Signal 2022 (PMID:36123685)
Wei MF et al., Oxid Med Cell Longev 2022 (PMID:36092168)
Sheng-Huei Yang et al., Oncotarget. 2016 (PMID:26517522)
Peng-Hsiang Fang et al., Mol Med 2022 (PMID:35739477)
Wenyi Fang et al., Mol Med Rep 2021 (PMID:33495820)
Yoshinobu Kariya et al., Commun Biol 2021 (PMID:33883697)
Tomi E.D. et al., Int J Mol Sci. 2022 (PMID:35163570)
Watanabe D et al., Pharmaceutics 2021 (PMID:34575559)
Barbian ME et al., Pediatr Res 2021 (PMID:34616000)
Minamide K et al., Sci Rep 2020 (PMID:32901054)
Bisi S et al., Nat Commun 2020 (PMID:32665580)
Xie MY et al., Biochem Pharmacol 2020 (PMID:32145262)
Kaliannan K et al., Commun Biol 2019 (PMID:31372515)
Koch F et al., Proc Natl Acad Sci U S A 2019 (PMID:31064871)
Li W et al., J Clin Invest 2017 (PMID:28805661)
技术资料暂无技术资料 索取技术资料





![PDGF beta antibody [5F66]](https://img1.dxycdn.com/2023/0711/451/6106825198874858761-14.jpg!wh200)
![UBE2L3 antibody [N1C3]](https://img1.dxycdn.com/2023/0711/255/2344116916935858761-14.jpg!wh200)


