相关产品推荐更多 >
万千商家帮你免费找货
0 人在求购买到急需产品
- 详细信息
- 文献和实验
- 技术资料
- 免疫原:
Recombinant protein encompassing a sequence within the center region of human CRHSP-24. The exact sequence is proprietary.
- 亚型:
IgG
- 形态:
Liquid
- 保存条件:
Store as concentrated solution. Centrifuge briefly prior to opening vial. For short-term storage (1-2 weeks), store at 4ºC. For long-term storage, aliquot and store at -20ºC or below. Avoid multiple freeze-thaw cycles.
- 克隆性:
Polyclonal
- 标记物:
Unconjugated
- 适应物种:
Human, Mouse
- 保质期:
12 months from the shipping date of the product.
- 抗原来源:
Human
- 目录编号:
GTX103061
- 级别:
Primary Antibodies
- 库存:
Available
- 供应商:
GeneTex
- 宿主:
Rabbit
- 应用范围:
WB, IHC-P
- 浓度:
0.71 mg/ml (Please refer to the vial label for the specific concentration.)
- 靶点:
CRHSP-24
- 抗体英文名:
CRHSP-24 antibody [N1C3]
- 抗体名:
CRHSP-24 抗体 [N1C3]
- 规格:
100 μl/25 μl
| 规格: | 100 μl | 产品价格: | ¥4000.0 |
|---|---|---|---|
| 规格: | 25 μl | 产品价格: | ¥1700.0 |
Sample (30 ug of whole cell lysate)
A: Hep G2 (GTX27900)
15% SDS PAGE
GTX103061 diluted at 1:1000
CRHSP-24 antibody [N1C3] detects CRHSP-24 protein at cytoplasm in mouse prostate by immunohistochemical analysis.
Sample: Paraffin-embedded mouse prostate.
CRHSP-24 antibody [N1C3] (GTX103061) diluted at 1:500.
Antigen Retrieval: Citrate buffer, pH 6.0, 15 min
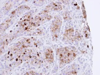
Immunohistochemical analysis of paraffin-embedded A549 xenograft , using CRHSP-24(GTX103061) antibody at 1:100 dilution.
Antigen Retrieval: Citrate buffer, pH 6.0, 15 min
风险提示:丁香通仅作为第三方平台,为商家信息发布提供平台空间。用户咨询产品时请注意保护个人信息及财产安全,合理判断,谨慎选购商品,商家和用户对交易行为负责。对于医疗器械类产品,请先查证核实企业经营资质和医疗器械产品注册证情况。
文献和实验Diwakar BT et al., FASEB J 2019 (PMID:31518163)
In the field of therapeutic recombinant proteins, monoclonal antibodies (mAbs) have achieved a rising success with more than 30 mAbs that have reached the market in the past 20 years. From a structural standpoint, one of the most important
上海西唐生物科技有限公司 021-55229872, 65333639 www.westang.com 人白介素-24 (IL-24)ELISA 试剂盒 ( 用于血清、血浆、细胞培养上清液和其它生物体液内 ) 原理 本实验采用双抗体夹心 ABC-ELISA 法。用抗人 IL-24 单抗包被于酶标板上,标准品和样品中的 IL-24与单抗结合,加入生物素化的抗人 IL
上海西唐生物科技有限公司 021-55229872, 65333639 www.westang.com 小鼠白介素-24 (IL-24)ELISA 试剂盒 ( 用于血清、血浆、细胞培养上清液和其它生物体液内 ) 原理 本实验采用双抗体夹心 ABC-ELISA 法。用抗小鼠 IL-24 单抗包被于酶标板上,标准品和样品中的 IL-24与单抗结合,加入生物素化的抗小鼠
技术资料暂无技术资料 索取技术资料






![PNK antibody [N1C1]](https://img1.dxycdn.com/2023/0711/255/2344116916935858761-14.jpg!wh200)

