相关产品推荐更多 >
万千商家帮你免费找货
0 人在求购买到急需产品
- 详细信息
- 文献和实验
- 技术资料
- 免疫原:
Recombinant protein encompassing a sequence within the center region of human KAP1. The exact sequence is proprietary.
- 亚型:
IgG
- 形态:
Liquid
- 保存条件:
Store as concentrated solution. Centrifuge briefly prior to opening vial. For short-term storage (1-2 weeks), store at 4ºC. For long-term storage, aliquot and store at -20ºC or below. Avoid multiple freeze-thaw cycles.
- 克隆性:
Polyclonal
- 标记物:
Unconjugated
- 适应物种:
Human, Mouse
- 保质期:
12 months from the shipping date of the product.
- 抗原来源:
Human
- 目录编号:
GTX102226
- 级别:
Primary Antibodies
- 库存:
Available
- 供应商:
GeneTex
- 宿主:
Rabbit
- 应用范围:
WB, ICC/IF, IHC-P, IP, ChIP assay
- 浓度:
0.48 mg/ml (Please refer to the vial label for the specific concentration.)
- 靶点:
KAP1
- 抗体英文名:
KAP1 antibody [N3C2], Internal
- 抗体名:
KAP1 抗体 [N3C2], Internal
- 规格:
100 μl/25 μl
| 规格: | 100 μl | 产品价格: | ¥4000.0 |
|---|---|---|---|
| 规格: | 25 μl | 产品价格: | ¥1700.0 |
KAP1 antibody immunoprecipitates KAP1 protein in IP experiments. IP Sample: 1000 μg HeLa whole cell lysate/extract A. 50 μg HeLa whole cell lysate/extract B. Control with 2 μg of preimmune rabbit IgG C. Immunoprecipitation of KAP1 protein by 2 μg of KAP1 antibody (GTX102226) 7.5% SDS-PAGE The immunoprecipitated KAP1 protein was detected by KAP1 antibody (GTX102226) diluted at 1:1000. EasyBlot anti-rabbit IgG (GTX221666-01) was used as a secondary reagent.
Sample (30 μg of whole cell lysate)
A:NIH-3T3
7.5% SDS PAGE
GTX102226 diluted at 1:1000
The HRP-conjugated anti-rabbit IgG antibody (GTX213110-01) was used to detect the primary antibody.
Various whole cell extracts (30 μg) were separated by 5% SDS-PAGE, and the membrane was blotted with KAP1 antibody [N3C2], Internal (GTX102226) diluted at 1:10000. The HRP-conjugated anti-rabbit IgG antibody (GTX213110-01) was used to detect the primary antibody.
KAP1 antibody [N3C2], Internal detects KAP1 protein at nucleus by immunofluorescent analysis.
Sample: HeLa cells were fixed in 4% PFA at RT for 15 min.
Green: KAP1 stained by KAP1 antibody [N3C2], Internal (GTX102226) diluted at 1:2000.
Red: phalloidin, a cytoskeleton marker, diluted at 1:200.
Scale bar= 10 μm.
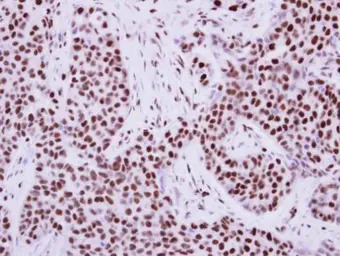
Immunohistochemical analysis of paraffin-embedded human breast cancer, using KAP1(GTX102226) antibody at 1:500 dilution.
Antigen Retrieval: Trilogy™ (EDTA based, pH 8.0) buffer, 15min
KAP1 antibody [N3C2], Internal detects KAP1 protein at nucleus by immunohistochemical analysis.
Sample: Paraffin-embedded mouse colon.
KAP1 stained by KAP1 antibody [N3C2], Internal (GTX102226) diluted at 1:500.
Antigen Retrieval: Citrate buffer, pH 6.0, 15 min
ChIP assay followed by QPCR on a known KAP1-binding region
within the ZNF180 3’UTR (Mol Cell Biol, 2011, Lyengar et al)
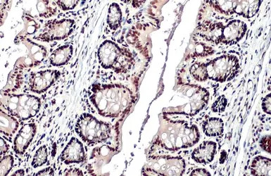
KAP1 antibody [N3C2], Internal detects KAP1 protein at nucleus by immunohistochemical analysis.
Sample: Paraffin-embedded mouse intestine.
KAP1 stained by KAP1 antibody [N3C2], Internal (GTX102226) diluted at 1:500.
Antigen Retrieval: Citrate buffer, pH 6.0, 15 min
风险提示:丁香通仅作为第三方平台,为商家信息发布提供平台空间。用户咨询产品时请注意保护个人信息及财产安全,合理判断,谨慎选购商品,商家和用户对交易行为负责。对于医疗器械类产品,请先查证核实企业经营资质和医疗器械产品注册证情况。
文献和实验Liu B et al., Pathol Oncol Res 2019 (PMID:30484263)
Hung PJ et al., Mol Cell 2018 (PMID:30017584)
Wang L et al., J Cell Biochem 2016 (PMID:26565999)
Lin WC et al., RSC Adv. 2017 7()
Lee BS et al., Mol Cell Biol 2013 (PMID:23836881)
Aslanian A et al., DNA Repair (Amst) 2014 (PMID:24461736)
Tubbs AT et al., Mol Cell Biol 2014 (PMID:24842905)
Faith C Fowler et al., Elife 2022 (PMID:35575473)
Bo-Ruei Chen et al., Elife 2021 (PMID:34477552)
Chen BR et al., DNA Repair (Amst) 2021 (PMID:34481157)
Huang TH et al., Cell Cycle 2018 (PMID:29954236)
Hsieh YH et al., Nutrients 2018 (PMID:30200495)
In the field of therapeutic recombinant proteins, monoclonal antibodies (mAbs) have achieved a rising success with more than 30 mAbs that have reached the market in the past 20 years. From a structural standpoint, one of the most important
. For most substrates, it is believed, though it has been demonstrated experimentally only for a few, that the first ubiquitin moiety is conjugated, via its C-terminal Gly76 residue, to an ε-NH2 group of an internal Lys residue. Recent findings indicate
Using MZEF to Find Internal Coding Exons
) was designed to help identify one of the most important classes of exons, i.e. the internal coding exons, in human genomic DNA sequences. It is neither for predicting intronless genes, nor for assembling predicted exons into complete gene models
技术资料暂无技术资料 索取技术资料







![C1orf146 antibody [N1C3]](https://img1.dxycdn.com/2023/0516/050/2572066211091928561-14.jpg!wh200)
![Mu Opioid receptor antibody [N1], N-term](https://img1.dxycdn.com/2023/0711/255/2344116916935858761-14.jpg!wh200)
![HDAC1 antibody [N1C1]](https://custom.dxycdn.com/trademd/upload/pic/2011/12/20/1324015994.jpg!small.t.1)

