相关产品推荐更多 >
万千商家帮你免费找货
0 人在求购买到急需产品
- 详细信息
- 文献和实验
- 技术资料
- 免疫原:
Recombinant protein encompassing a sequence within the center region of human Ferritin Heavy Chain. The exact sequence is proprietary.
- 亚型:
IgG
- 形态:
Liquid
- 保存条件:
Store as concentrated solution. Centrifuge briefly prior to opening vial. For short-term storage (1-2 weeks), store at 4ºC. For long-term storage, aliquot and store at -20ºC or below. Avoid multiple freeze-thaw cycles.
- 克隆性:
Polyclonal
- 标记物:
Unconjugated
- 适应物种:
Human, Mouse, Rat
- 保质期:
12 months from the shipping date of the product.
- 抗原来源:
Human
- 目录编号:
GTX101733
- 级别:
Primary Antibodies
- 库存:
Available
- 供应商:
GeneTex
- 宿主:
Rabbit
- 应用范围:
WB, ICC/IF, IHC-P
- 浓度:
1.13 mg/ml (Please refer to the vial label for the specific concentration.)
- 靶点:
Ferritin Heavy Chain
- 抗体英文名:
Ferritin Heavy Chain antibody [N1C3]
- 抗体名:
Ferritin Heavy Chain 抗体 [N1C3]
- 规格:
100 μl/25 μl
| 规格: | 100 μl | 产品价格: | ¥4000.0 |
|---|---|---|---|
| 规格: | 25 μl | 产品价格: | ¥1700.0 |
Ferritin Heavy Chain antibody [N1C3] detects Ferritin Heavy Chain protein at cytoplasm by immunohistochemical analysis.
Sample: Paraffin-embedded mouse liver.
Ferritin Heavy Chain stained by Ferritin Heavy Chain antibody [N1C3] (GTX101733) diluted at 1:500.
Antigen Retrieval: Citrate buffer, pH 6.0, 15 min
Ferritin Heavy Chain antibody [N1C3] detects Ferritin Heavy Chain protein at cytoplasm by immunohistochemical analysis.
Sample: Paraffin-embedded rat brain.
Ferritin Heavy Chain stained by Ferritin Heavy Chain antibody [N1C3] (GTX101733) diluted at 1:500.
Antigen Retrieval: Citrate buffer, pH 6.0, 15 min
Various whole cell extracts (30 μg) were separated by 12% SDS-PAGE, and the membrane was blotted with Ferritin Heavy Chain antibody [N1C3] (GTX101733) diluted at 1:1000. The HRP-conjugated anti-rabbit IgG antibody (GTX213110-01) was used to detect the primary antibody.
Various whole cell extracts (30 μg) were separated by 12% SDS-PAGE, and the membrane was blotted with Ferritin Heavy Chain antibody [N1C3] (GTX101733) diluted at 1:3000. The HRP-conjugated anti-rabbit IgG antibody (GTX213110-01) was used to detect the primary antibody, and the signal was developed with Trident ECL plus-Enhanced. Corresponding RNA expression data for the same cell lines are based on Human Protein Atlas program.
Rat tissue extract (50 μg) was separated by 12% SDS-PAGE, and the membrane was blotted with Ferritin Heavy Chain antibody [N1C3] (GTX101733) diluted at 1:500.
Various tissue extracts (50 μg) were separated by 12% SDS-PAGE, and the membrane was blotted with Ferritin Heavy Chain antibody [N1C3] (GTX101733) diluted at 1:20000. The HRP-conjugated anti-rabbit IgG antibody (GTX213110-01) was used to detect the primary antibody.
Human tissue extract (30 μg) was separated by 12% SDS-PAGE, and the membrane was blotted with Ferritin Heavy Chain antibody [N1C3] (GTX101733) diluted at 1:500.
Ferritin Heavy Chain antibody [N1C3] detects Ferritin Heavy Chain protein at cytoplasm and nucleus by immunofluorescent analysis.
Sample: HeLa cells were fixed in 4% PFA at RT for 15 min.
Green: Ferritin Heavy Chain protein stained by Ferritin Heavy Chain antibody [N1C3] (GTX101733) diluted at 1:500.
Red: Phalloidin, a cytoskeleton marker, diluted at 1:50.
Blue: Hoechst 33342 staining.
Scale bar = 10 μm.
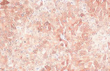
Ferritin Heavy Chain antibody [N1C3] detects Ferritin Heavy Chain protein at cytoplasm in rat liver by immunohistochemical analysis.
Sample: Paraffin-embedded rat liver.
Ferritin Heavy Chain antibody [N1C3] (GTX101733) diluted at 1:500.
Antigen Retrieval: Citrate buffer, pH 6.0, 15 min
风险提示:丁香通仅作为第三方平台,为商家信息发布提供平台空间。用户咨询产品时请注意保护个人信息及财产安全,合理判断,谨慎选购商品,商家和用户对交易行为负责。对于医疗器械类产品,请先查证核实企业经营资质和医疗器械产品注册证情况。
文献和实验Lin JH et al., Oxid Med Cell Longev 2022 (PMID:35082973)
Production of Chimeric Heavy-Chain Antibodies
of fragment crystallizable (Fc), which is known to be crucial for a long serum half-life through binding to FcRn and antibody-mediated cell killing through binding to Fcγ receptors and complement. Single-domain antibodies (sdAbs) derived from camelid heavy
Introduction to Heavy Chain Antibodies and Derived Nanobodies
The immune response of infected or immunized dromedaries contains a diverse repertoire of conventional and heavy chain-only antibodies, both functional in antigen binding. By definition, a heavy chain antibody is devoid of a light chain
The N-terminal and C-terminal portions of the heavy chain fragment C from botulinum neurotoxin serotype C [rBoNT(HC )] were expressed in Pichia pastoris and purified by ion-exchange chromotography (IEC). The N-terminal fragment, rBoNTC(Hc )-N
技术资料暂无技术资料 索取技术资料






![Hemoglobin zeta antibody [GT1544]](https://img1.dxycdn.com/2023/0711/451/6106825198874858761-14.jpg!wh200)
![CD23 antibody [1B12]](https://custom.dxycdn.com/trademd/upload/pic/2011/12/14/1323695845.jpg!small.t.1)

