相关产品推荐更多 >
万千商家帮你免费找货
0 人在求购买到急需产品
- 详细信息
- 文献和实验
- 技术资料
- 免疫原:
Recombinant protein encompassing a sequence within the center region of human H6PD. The exact sequence is proprietary.
- 亚型:
IgG
- 形态:
Liquid
- 保存条件:
Store as concentrated solution. Centrifuge briefly prior to opening vial. For short-term storage (1-2 weeks), store at 4ºC. For long-term storage, aliquot and store at -20ºC or below. Avoid multiple freeze-thaw cycles.
- 克隆性:
Polyclonal
- 标记物:
Unconjugated
- 适应物种:
Human, Mouse
- 保质期:
12 months from the shipping date of the product.
- 抗原来源:
Human
- 目录编号:
GTX101500
- 级别:
Primary Antibodies
- 库存:
Available
- 供应商:
GeneTex
- 宿主:
Rabbit
- 应用范围:
WB, IHC-P
- 浓度:
0.59 mg/ml (Please refer to the vial label for the specific concentration.)
- 靶点:
H6PD
- 抗体英文名:
H6PD antibody [N2N3]
- 抗体名:
H6PD 抗体 [N2N3]
- 规格:
100 μl/25 μl
| 规格: | 100 μl | 产品价格: | ¥4000.0 |
|---|---|---|---|
| 规格: | 25 μl | 产品价格: | ¥1700.0 |
Sample (50 ug of whole cell lysate)
A: Mouse liver
7.5% SDS PAGE
GTX101500 diluted at 1:1000
Sample(30 ug whole cell lysate)
A:Hep G2 (GTX27900)
7.5% SDS PAGE
GTX101500 diluted at 1:1000
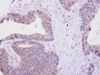
H6PD antibody [N2N3] detects H6PD protein at cytoplasm on human colon carcinoma by immunohistochemical analysis.
Sample: Paraffin-embedded colon carcinoma.
H6PD antibody [N2N3] (GTX101500) dilution: 1:500.
Antigen Retrieval: Trilogy™ (EDTA based, pH 8.0) buffer, 15min
风险提示:丁香通仅作为第三方平台,为商家信息发布提供平台空间。用户咨询产品时请注意保护个人信息及财产安全,合理判断,谨慎选购商品,商家和用户对交易行为负责。对于医疗器械类产品,请先查证核实企业经营资质和医疗器械产品注册证情况。
文献和实验[资源] 所有的看家基因(housekeeping genes)列表+引物设计服务
ribosomal protein S5 (RPS5), mRNA 6739 NM_003021 Homo sapiens small glutamine-rich tetratricopeptide repeat (TPR)-containing (SGT), mRNA 488 NM_004285 Homo sapiens hexose-6-phosphate dehydrogenase (glucose 1-dehydrogenase) (H6PD), mRNA 646 NM_004142
技术资料暂无技术资料 索取技术资料





![POR antibody [C2C3], C-term](https://img1.dxycdn.com/2023/0711/255/2344116916935858761-14.jpg!wh200)

![Cytokeratin 19 antibody [A53-B/A2] (Biotin)](https://img1.dxycdn.com/2023/0711/451/6106825198874858761-14.jpg!wh200)

