相关产品推荐更多 >
万千商家帮你免费找货
0 人在求购买到急需产品
- 详细信息
- 文献和实验
- 技术资料
- 免疫原:
Recombinant protein encompassing a sequence within the center region of human B-Raf. The exact sequence is proprietary.
- 亚型:
IgG
- 形态:
Liquid
- 保存条件:
Store as concentrated solution. Centrifuge briefly prior to opening vial. For short-term storage (1-2 weeks), store at 4ºC. For long-term storage, aliquot and store at -20ºC or below. Avoid multiple freeze-thaw cycles.
- 克隆性:
Polyclonal
- 标记物:
Unconjugated
- 适应物种:
Human, Mouse, Rat
- 保质期:
12 months from the shipping date of the product.
- 抗原来源:
Human
- 目录编号:
GTX100913
- 级别:
Primary Antibodies
- 库存:
Available
- 供应商:
GeneTex
- 宿主:
Rabbit
- 应用范围:
WB, IHC-P, IP
- 浓度:
0.21 mg/ml (Please refer to the vial label for the specific concentration.)
- 靶点:
B-Raf
- 抗体英文名:
B-Raf antibody [N2C1], Internal
- 抗体名:
B-Raf 抗体 [N2C1], Internal
- 规格:
100 μl/25 μl
| 规格: | 100 μl | 产品价格: | ¥4000.0 |
|---|---|---|---|
| 规格: | 25 μl | 产品价格: | ¥1700.0 |
B-Raf antibody [N2C1], Internal detects B-Raf protein at cytosol on mouse testis by immunohistochemical analysis.
Sample: Paraffin-embedded mouse testis.
B-Raf antibody [N2C1], Internal (GTX100913) dilution: 1:500.
Antigen Retrieval: Trilogy™ (EDTA based, pH 8.0) buffer, 15min
B-Raf antibody [N2C1], Internal immunoprecipitates B-Raf protein in IP experiments. IP Sample: HepG2 whole cell lysate/extract A : 30 μg whole cell lysate/extract of B-Raf protein expressing HepG2 cells B : Control with 3 μg of pre-immune rabbit IgG C : Immunoprecipitation of B-Raf by 3 μg of B-Raf antibody [N2C1], Internal (GTX100913) 10% SDS-PAGE The immunoprecipitated B-Raf protein was detected by B-Raf antibody [N2C1], Internal (GTX100913) diluted at 1:500. EasyBlot anti-rabbit IgG (HRP) (GTX221666-01) was used as a secondary reagent.
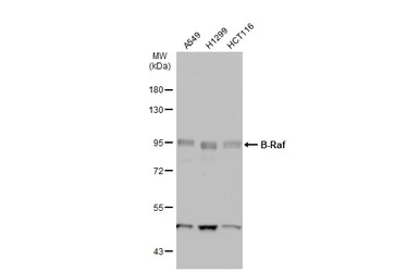
Various whole cell extracts (30 μg) were separated by 7.5% SDS-PAGE, and the membrane was blotted with B-Raf antibody [N2C1], Internal (GTX100913) diluted at 1:1000. The HRP-conjugated anti-rabbit IgG antibody (GTX213110-01) was used to detect the primary antibody.
B-Raf antibody [N2C1], Internal detects B-Raf protein by western blot analysis. Non-transfected (-) and B-Raf-transfected (+) 293T whole cell extracts (30 μg) were separated by 7.5% SDS-PAGE, and the membrane was blotted with B-Raf antibody [N2C1], Internal (GTX100913) diluted at 1:5000.
B-Raf antibody [N2C1], Internal detects B-Raf protein at cytoplasm by immunohistochemical analysis.
Sample: Paraffin-embedded human breast carcinoma.
B-Raf stained by B-Raf antibody [N2C1], Internal (GTX100913) diluted at 1:500.
Antigen Retrieval: Citrate buffer, pH 6.0, 15 min
B-Raf antibody [N2C1], Internal detects B-Raf protein by western blot analysis.
A. 30 μg PC-12 whole cell extract
7.5 % SDS-PAGE
B-Raf antibody [N2C1], Internal (GTX100913) dilution: 1:5000
风险提示:丁香通仅作为第三方平台,为商家信息发布提供平台空间。用户咨询产品时请注意保护个人信息及财产安全,合理判断,谨慎选购商品,商家和用户对交易行为负责。对于医疗器械类产品,请先查证核实企业经营资质和医疗器械产品注册证情况。
文献和实验Rubin B et al., Cancer Invest 2015 (PMID:26536286)
Tsuji S et al., Oncol Lett 2021 (PMID:33376545)
Tateishi K et al., Acta Neuropathol Commun 2020 (PMID:32811569)
Sase H et al., Mol Cancer Ther 2018 (PMID:30045926)
In the field of therapeutic recombinant proteins, monoclonal antibodies (mAbs) have achieved a rising success with more than 30 mAbs that have reached the market in the past 20 years. From a structural standpoint, one of the most important
Antibody-Induced Opsonophagocytosis of Serogroup B Meningococci Measured by Flow Cytometry
meningococci, there seems to be a correlation between SBA activity and protection (1 ), whereas OP has been less well-studied. This function may have a supplementary or even major role in protection against group B meningococci.
. For most substrates, it is believed, though it has been demonstrated experimentally only for a few, that the first ubiquitin moiety is conjugated, via its C-terminal Gly76 residue, to an ε-NH2 group of an internal Lys residue. Recent findings indicate
技术资料暂无技术资料 索取技术资料






![CD166 antibody [8E12C7]](https://img1.dxycdn.com/2023/0711/451/6106825198874858761-14.jpg!wh200)


