产品封面图

GPCR G2A antibody

收藏
  • ¥5000
  • GeneTex已认证
  • 美国
  • 2025年07月14日
  • IHC-P
  • Rabbit
  • Human
avatar
代理商
16钻石会员
  • 企业认证

    点击 QQ 联系

    • 详细信息
    • 文献和实验
    • 技术资料
    • 免疫原

      Synthetic 19 amino acid peptide from 2nd cytoplasmic domain of human GPR132 / G2A.

    • 亚型

      IgG

    • 形态

      Liquid

    • 保存条件

      Store as concentrated solution. Centrifuge briefly prior to opening vial. For short-term storage (1-2 weeks), store at 4ºC. For long-term storage, aliquot and store at -20ºC or below. Avoid multiple freeze-thaw cycles.

    • 克隆性

      Polyclonal

    • 标记物

      Unconjugated

    • 适应物种

      Human

    • 保质期

      12 months from the shipping date of the product. 

    • 抗原来源

      Human

    • 目录编号

      GTX12530

    • 级别

      Primary Antibodies

    • 库存

      Available

    • 供应商

      GeneTex

    • 宿主

      Rabbit

    • 应用范围

      IHC-P

    • 浓度

      1 mg/ml (Please refer to the vial label for the specific concentration.)

    • 靶点

      GPCR G2A

    • 抗体英文名

      GPCR G2A antibody

    • 抗体名

      GPCR G2A 抗体

    • 规格

      25 μg

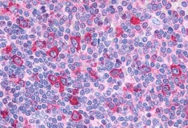
    产品细节图片1

    IHC-P analysis of human spleen tissue using GTX12530 GPCR G2A antibody.
    Antigen retrieval : Heat-induced antigen retrieval

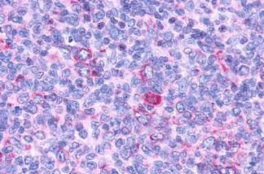
    产品细节图片2

    IHC-P analysis of human lymph node, hodgkins lymphoma tissue using GTX12530 GPCR G2A antibody.
    Antigen retrieval : Heat-induced antigen retrieval

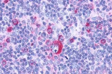
    产品细节图片3

    IHC-P analysis of human lymph node, non-hodgkins lymphoma tissue using GTX12530 GPCR G2A antibody.
    Antigen retrieval : Heat-induced antigen retrieval

    风险提示:丁香通仅作为第三方平台,为商家信息发布提供平台空间。用户咨询产品时请注意保护个人信息及财产安全,合理判断,谨慎选购商品,商家和用户对交易行为负责。对于医疗器械类产品,请先查证核实企业经营资质和医疗器械产品注册证情况。

    图标文献和实验
    相关实验
    图标技术资料

    暂无技术资料 索取技术资料

    同类产品报价

    产品名称
    产品价格
    公司名称
    报价日期
    ¥2120
    上海钰博生物科技有限公司
    2025年07月07日询价
    ¥5000
    GeneTex
    2024年04月07日询价
    ¥3800
    深圳欣博盛生物科技有限公司
    2024年04月07日询价
    ¥500
    北京百奥创新科技有限公司
    2025年07月12日询价
    ¥220
    上海信裕生物科技有限公司
    2025年01月24日询价
    GPCR G2A antibody
    ¥5000