相关产品推荐更多 >
万千商家帮你免费找货
0 人在求购买到急需产品
- 详细信息
- 文献和实验
- 技术资料
- 免疫原:
Recombinant rat Sec6.
- 亚型:
IgG2a
- 形态:
Liquid
- 保存条件:
Store as concentrated solution. Centrifuge briefly prior to opening vial. For short-term storage (1-2 weeks), store at 4ºC. For long-term storage, aliquot and store at -20ºC or below. Avoid multiple freeze-thaw cycles.
- 克隆性:
Monoclonal
- 标记物:
Unconjugated
- 适应物种:
Human, Mouse, Rat, Rabbit, Sheep, Bovine, Dog, Hamster, Pig, Monkey
- 保质期:
12 months from the shipping date of the product.
- 抗原来源:
Rat
- 目录编号:
GTX12235
- 级别:
Primary Antibodies
- 库存:
Available
- 供应商:
GeneTex
- 宿主:
Mouse
- 应用范围:
WB, IP, IHC
- 浓度:
1 mg/ml (Please refer to the vial label for the specific concentration.)
- 靶点:
SEC6
- 抗体英文名:
SEC6 antibody [9H5]
- 抗体名:
SEC6 抗体 [9H5]
- 规格:
50 μg
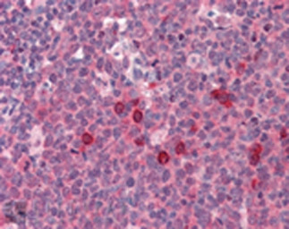
Immunohistochemistry analysis of human tonsil tissue stained with rSec6, mAb (9H5) at 10μg/ml.
Western blot analysis of pig ESK-4 cell lysate, probed with GTX12235.
风险提示:丁香通仅作为第三方平台,为商家信息发布提供平台空间。用户咨询产品时请注意保护个人信息及财产安全,合理判断,谨慎选购商品,商家和用户对交易行为负责。对于医疗器械类产品,请先查证核实企业经营资质和医疗器械产品注册证情况。
文献和实验酵母免疫荧光染色--Immunofluorescent Staining of Yeast:SDS Permeabilization Metho
culture is at a OD599 between 0.5 and 0.8. For examing unshifted cells proceed directly to Step 2. For examining sec7ts and sec6ts strains spin cells out of YPD at OD599 of 0.5-0.6 and resuspend in the same volume
技术资料暂无技术资料 索取技术资料





![p53 antibody [DO-7]](https://img1.dxycdn.com/2023/0711/451/6106825198874858761-14.jpg!wh200)

![RFWD3 antibody [C1C3]](https://img1.dxycdn.com/2023/0516/045/6925717576889828561-14.jpg!wh200)

