相关产品推荐更多 >
万千商家帮你免费找货
0 人在求购买到急需产品
- 详细信息
- 文献和实验
- 技术资料
- 供应商:
北京百奥创新科技有限公司
- 库存:
大量
- 靶点:
PDL1/CD274
- 级别:
超级纯
- 目录编号:
Q9NZQ7
- 克隆性:
多克隆
- 抗原来源:
详见说明书
- 保质期:
详见说明书
- 抗体英文名:
PDL1/CD274 antibody
- 抗体名:
PDL1/CD274
- 标记物:
详见说明书
- 宿主:
Rabbit
- 适应物种:
详见说明书
- 免疫原:
详见说明书
- 亚型:
IgG
- 形态:
液体
- 应用范围:
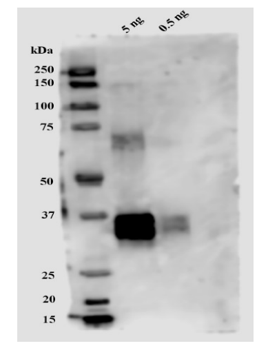
ELISA、WB、IHC-P、Flow cytometry
- 浓度:
详见说明书
- 保存条件:
低温保存
- 规格:
100 ug
Host: Rabbit
Clonality: Polyclonal
Purification: Ammonium sulfate followed by peptide affinity purification
Immunogen: Mix of 2 synthetic peptides, one derived from the extracellular and one from the cytoplasmic region of Human PD-L1
Species Reactivity: Human
Cross reactivity: The peptide used as an immunogen exhibits the % homology with the species as follows; 100% Chimpanzee, Gibbon, Bonbo. 95% Elephant Shrew, 94% Rabbit, 89% Rhesus, 95% Horse, 94% Dog, and 88% Pig for the extracellular peptide. Reactivity has only been confirmed in human samples. Due to the high homology, it is expected to react with the above species.
Subcellular Location: Plasma membrane
Alternative names: PDCD1 Ligand 1, B7 homolog 1, CD274
Recommended Secondary Antibody: Goat anti-Rabbit IgG-HRP (ADI cat#20320)
Negative Control: Non-immune Rabbit IgG (ADI cat# 20009-1).
产品描述:Programmed cell death protein 1, also known as PD-L1 and CD274 (cluster of differentiation 279), is a protein that is speculated to play a role in suppressing the immune system during disease states such as tissue allografts and autoimmune diseases. Normally the immune system reacs to foreign antigens by triggering a proliferation of antigenspecific CD4+ and CD8+ T cells. The binding of PD-L1 transmits an inhibitory signal that reduces the proliferation of antigen specific T-cells while reducing apoptosis in regulatory T- cells. Upregulation of PD-L1 has been speculated to allow different cancers to evade the host immune system. Currently, many PD-L1 inhibitors are in development as immuno-oncology therapies and have shown promising results in clinical trials.
北京百奥创新科技有限公司是中关村高新技术企业,于2017年在北京成立。百奥创新依托于中科院的科研技术力量,以中科院资深科学家为核心,整合经验丰富的商业团队及管理团队组建而成,专注于免疫学、细胞生物学、分子生物学 等领域核心试剂产品的研发、生产与销售。
百奥创新在产品自主研发的同时,也与全球多家生命科学试剂供应商建立良好的合作关系,基于“客户第一 ”的核心理念,向全国10000+客户提供200000+优质产品。公司以北京运营中心为主体,在天津、上海、浙江、江苏、广州、深圳、武汉、成都、重庆等地建立办事处及联络中心,并建有北京、天津、深圳三大专业化库存与物流基地,以更好地服务全国客户。
百奥创新将以品质树立品牌,以服务赢得口碑,致力于成长为重要的生物原料及生物化学试剂开发与成果转化的开拓者,并成为行业领先的优质供应商。
风险提示:丁香通仅作为第三方平台,为商家信息发布提供平台空间。用户咨询产品时请注意保护个人信息及财产安全,合理判断,谨慎选购商品,商家和用户对交易行为负责。对于医疗器械类产品,请先查证核实企业经营资质和医疗器械产品注册证情况。
文献和实验【翻译】Development trends for monoclonal antibody cancer therapeutics
ADCC and CDC mechanisms upon binding to CD20+ cells, rituximab can also affect intracellular calcium levels and thereby induce cell death through apoptosis31. Although murine mAbs were largely abandoned as cancer therapeutics when humanized and human
secondary antibody review -- data from 99 publications
cytometry used as a control to detect cell responses targeted antigen 7 Alexa Fluor 488 7 Cy3 8 goat IgG Alexa Fluor 488 1:2000 detect antibody binding in human embryonic kidney 293T cells Invitrogen 9 donkey
Theoretical Aspects of the Quantitative Characterization of Ligand Binding
Figure a0.5A.9 Schematic representation of the competitive interactions of soluble ligand (S) and immobilized affinity sites (X) for acceptor (A) in quantitative affinity chromatography
技术资料暂无技术资料 索取技术资料











