相关产品推荐更多 >
万千商家帮你免费找货
0 人在求购买到急需产品
- 详细信息
- 文献和实验
- 技术资料
- 免疫原:
Recombinant protein encompassing a sequence within the center region of human DNA polymerase epsilon 3. The exact sequence is proprietary.
- 亚型:
IgG
- 形态:
Liquid
- 保存条件:
Store as concentrated solution. Centrifuge briefly prior to opening vial. For short-term storage (1-2 weeks), store at 4ºC. For long-term storage, aliquot and store at -20ºC or below. Avoid multiple freeze-thaw cycles.
- 克隆性:
Polyclonal
- 标记物:
Unconjugated
- 适应物种:
Human, Mouse
- 保质期:
12 months from the shipping date of the product.
- 抗原来源:
Human
- 目录编号:
GTX116557
- 级别:
Primary Antibodies
- 库存:
Available
- 供应商:
GeneTex
- 宿主:
Rabbit
- 应用范围:
WB, ICC/IF, IHC-P
- 浓度:
1.01 mg/ml (Please refer to the vial label for the specific concentration.)
- 靶点:
DNA polymerase epsilon 3
- 抗体英文名:
DNA polymerase epsilon 3 antibody [N1C3]
- 抗体名:
DNA polymerase epsilon 3 抗体 [N1C3]
- 规格:
100 μl/25 μl
| 规格: | 100 μl | 产品价格: | ¥4000.0 |
|---|---|---|---|
| 规格: | 25 μl | 产品价格: | ¥1700.0 |
Non-transfected (–) and transfected (+) 293T whole cell extracts (30 μg) were separated by 15% SDS-PAGE, and the membrane was blotted with DNA polymerase epsilon 3 antibody [N1C3] (GTX116557) diluted at 1:2000. The HRP-conjugated anti-rabbit IgG antibody (GTX213110-01) was used to detect the primary antibody, and the signal was developed with Trident ECL plus-Enhanced.
DNA polymerase epsilon antibody [N1C3] detects DNA Polymerase epsilon protein at nucleus on mouse muscle by immunohistochemical analysis.
Sample: Paraffin-embedded mouse muscle.
DNA Polymerase epsilon antibody [N1C3] (GTX116557) dilution: 1:1000.
Antigen Retrieval: Trilogy™ (EDTA based, pH 8.0) buffer, 15min
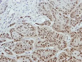
Immunohistochemical analysis of paraffin-embedded Cal27 xenograft, using DNA polymerase epsilon(GTX116557) antibody at 1:500 dilution.
Antigen Retrieval: Trilogy™ (EDTA based, pH 8.0) buffer, 15min
Immunofluorescence analysis of PFA-fixed HeLa, using DNA polymerase epsilon(GTX116557) antibody at 1:200 dilution.
Sample (30 ug of whole cell lysate)
A: 293T
15% SDS PAGE
GTX116557 diluted at 1:1000
风险提示:丁香通仅作为第三方平台,为商家信息发布提供平台空间。用户咨询产品时请注意保护个人信息及财产安全,合理判断,谨慎选购商品,商家和用户对交易行为负责。对于医疗器械类产品,请先查证核实企业经营资质和医疗器械产品注册证情况。
文献和实验Zou W et al., J Virol 2017 (PMID:29237843)
In-Fusion Cloning with Vaccinia Virus DNA Polymerase
Vaccinia virus DNA polymerase (VVpol) encodes a 3′-to-5′ proofreading exonuclease that can degrade the ends of duplex DNA and expose single-stranded DNA tails. The reaction plays a critical role in promoting virus recombination in vivo
Production of Monoclonal Antibody by DNA Immunization with Electroporation
against a house dust mite allergen, designated as Blo t 11, which is a paramyosin homologue found in Blomia tropicalis mites. The Blo t 11 cDNA fused at the N terminus to the sequence of a signal peptide was cloned into the pCI mammalian expression vector. The DNA
Antibody Screening of Bacteriophage gt11 DNA Expression Libraries
from one species, it can be used to probe cDNA libraries from other species using DNA hybridization techniques. Alternatively, degenerate oligonucleotides can be designed from amino acid sequences from regions of proteins that are conserved across species
技术资料暂无技术资料 索取技术资料








![IRF4 / MUM1 antibody [EAU32]](https://img1.dxycdn.com/2023/0711/451/6106825198874858761-14.jpg!wh200)

