相关产品推荐更多 >
万千商家帮你免费找货
0 人在求购买到急需产品
- 详细信息
- 文献和实验
- 技术资料
- 免疫原:
Recombinant protein encompassing a sequence within the center region of human Monoamine Oxidase B. The exact sequence is proprietary.
- 亚型:
IgG
- 形态:
Liquid
- 保存条件:
Store as concentrated solution. Centrifuge briefly prior to opening vial. For short-term storage (1-2 weeks), store at 4ºC. For long-term storage, aliquot and store at -20ºC or below. Avoid multiple freeze-thaw cycles.
- 克隆性:
Polyclonal
- 标记物:
Unconjugated
- 适应物种:
Human, Mouse, Rat
- 保质期:
12 months from the shipping date of the product.
- 抗原来源:
Human
- 目录编号:
GTX113771
- 级别:
Primary Antibodies
- 库存:
Available
- 供应商:
GeneTex
- 宿主:
Rabbit
- 应用范围:
WB, ICC/IF, IHC-P
- 浓度:
1 mg/ml (Please refer to the vial label for the specific concentration.)
- 靶点:
Monoamine Oxidase B
- 抗体英文名:
Monoamine Oxidase B antibody [N1N3]
- 抗体名:
Monoamine Oxidase B 抗体 [N1N3]
- 规格:
100 μl/25 μl
| 规格: | 100 μl | 产品价格: | ¥4000.0 |
|---|---|---|---|
| 规格: | 25 μl | 产品价格: | ¥1700.0 |
Rat tissue extract (50 μg) was separated by 10% SDS-PAGE, and the membrane was blotted with Monoamine Oxidase B antibody [N1N3] (GTX113771) diluted at 1:3000.
Sample (30 ug of whole cell lysate)
A: Hep G2 (GTX27900)
7.5% SDS PAGE
GTX113771 diluted at 1:3000
Immunofluorescence analysis of methanol-fixed HepG2, using Monoamine Oxidase B(GTX113771) antibody at 1:200 dilution.
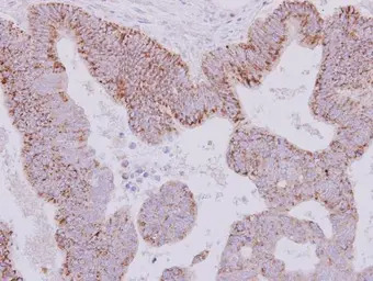
Immunohistochemical analysis of paraffin-embedded human colon carcinoma, using Monoamine Oxidase B(GTX113771) antibody at 1:250 dilution.
Antigen Retrieval: Trilogy™ (EDTA based, pH 8.0) buffer, 15min
风险提示:丁香通仅作为第三方平台,为商家信息发布提供平台空间。用户咨询产品时请注意保护个人信息及财产安全,合理判断,谨慎选购商品,商家和用户对交易行为负责。对于医疗器械类产品,请先查证核实企业经营资质和医疗器械产品注册证情况。
文献和实验Wang H et al., NPJ Parkinsons Dis 2023 (PMID:36609384)
Neumann J et al., Front Pharmacol 2021 (PMID:34045955)
Kang SS et al., J Clin Invest 2020 (PMID:31793911)
Methods for the Detection of D-Amino-Acid Oxidase
4 in 0.2 N KOH were added to the mixture with vigorous shaking, absorbance at 550 nm was D-Amino-acid oxidase activity is calculated with this formula: Activity (μmol min-1 = 2.584A /t , where A is a differential absorbance at 550 nm between the sample
b-Gal Staining of Murine Embryos
PO4.H2O, 77ml of 0.2M Na2HPO4 and add 100ml DDW. the pH will be approx 7.3 0.5M EGTA in 0.1M Phosphate buffer, pH increase to 7. FW 380.4, so 19.02g for making 100ml of 0.5M EGTA. Ethylene Glycol-bis (b-aminoethyl ether)N,N,N',N'-tetraacetic acid
ANTIBODY BINDING TO PROTEIN A AND PROTEIN G
Protein A, derived from the cell wall of Staphylococcus aureus , and protein G, derived from the cell wall of certain strains of b -hemolytic Streptococcci , binds the Fc region
技术资料暂无技术资料 索取技术资料





![KLF4 antibody [1E5]](https://img1.dxycdn.com/2023/0711/451/6106825198874858761-14.jpg!wh200)




