相关产品推荐更多 >
万千商家帮你免费找货
0 人在求购买到急需产品
- 详细信息
- 文献和实验
- 技术资料
- 免疫原:
Recombinant protein encompassing a sequence within the N-terminus region of human VCP. The exact sequence is proprietary.
- 亚型:
IgG
- 形态:
Liquid
- 保存条件:
Store as concentrated solution. Centrifuge briefly prior to opening vial. For short-term storage (1-2 weeks), store at 4ºC. For long-term storage, aliquot and store at -20ºC or below. Avoid multiple freeze-thaw cycles.
- 克隆性:
Polyclonal
- 标记物:
Unconjugated
- 适应物种:
Human, Mouse, Rat, Zebrafish, Dog
- 保质期:
12 months from the shipping date of the product.
- 抗原来源:
Human
- 目录编号:
GTX113030
- 级别:
Primary Antibodies
- 库存:
Available
- 供应商:
GeneTex
- 宿主:
Rabbit
- 应用范围:
WB, ICC/IF, IHC-P, IHC-Wm, IP
- 浓度:
0.3 mg/ml (Please refer to the vial label for the specific concentration.)
- 靶点:
VCP
- 抗体英文名:
VCP antibody [N1N2], N-term
- 抗体名:
VCP 抗体 [N1N2], N-term
- 规格:
100 μl/25 μl
| 规格: | 100 μl | 产品价格: | ¥4000.0 |
|---|---|---|---|
| 规格: | 25 μl | 产品价格: | ¥1700.0 |
Immunohistochemical analysis of paraffin-embedded zebrafish tissue, using VCP antibody [N1N2], N-term (GTX113030) at 1:300 dilution.
Various tissue extracts (30 μg) were separated by 7.5% SDS-PAGE, and the membrane was blotted with VCP antibody [N1N2], N-term (GTX113030) diluted at 1:1000. The HRP-conjugated anti-rabbit IgG antibody (GTX213110-01) was used to detect the primary antibody.
VCP antibody [N1N2], N-term detects Vcp protein on zebrafish by whole mount immunohistochemical analysis.
Sample: 1 day-post-fertilization zebrafish embryo.
VCP antibody [N1N2], N-term (GTX113030) dilution: 1:100.
VCP antibody detects VCP protein by Western blot analysis.
A. 50 μg rat brain lysate/extract
7.5 % SDS-PAGE
VCP antibody (GTX113030) dilution: 1:1000
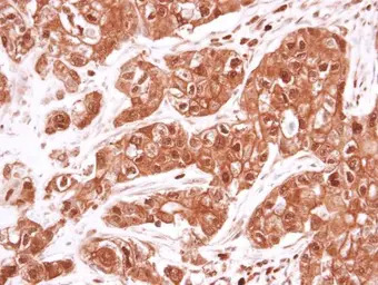
VCP antibody [N1N2], N-term detects VCP protein at cytoplasm and nucleus in human lung adenocarcinoma by immunohistochemical analysis.
Sample: Paraffin-embedded human lung adenocarcinoma.
VCP antibody [N1N2], N-term (GTX113030) diluted at 1:500.
Antigen Retrieval: Trilogy™ (EDTA based, pH 8.0) buffer, 15min
Immunofluorescence analysis of PFA-fixed HeLa, using VCP(p97)(GTX113030) antibody at 1:200 dilution.
Various whole cell extracts (30 μg) were separated by 7.5% SDS-PAGE, and the membrane was blotted with VCP antibody [N1N2], N-term (GTX113030) diluted at 1:1000. The HRP-conjugated anti-rabbit IgG antibody (GTX213110-01) was used to detect the primary antibody.
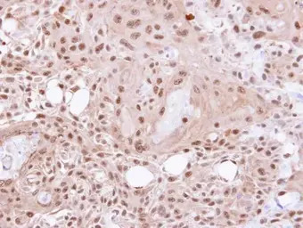
VCP antibody [N1N2], N-term detects VCP protein at nucleus and cytosol on rat brain stem by immunohistochemical analysis.
Sample: Paraffin-embedded rat brain stem.
VCP antibody [N1N2], N-term (GTX113030) dilution: 1:500.
Antigen Retrieval: Trilogy™ (EDTA based, pH 8.0) buffer, 15min
VCP antibody [N1N2], N-term detects VCP protein at cytoplasm and nucleus in human lung adenocarcinoma by immunohistochemical analysis.
Sample: Paraffin-embedded human lung adenocarcinoma.
VCP antibody [N1N2], N-term (GTX113030) diluted at 1:500.
Antigen Retrieval: Trilogy™ (EDTA based, pH 8.0) buffer, 15min
Sample (50 ug of whole cell lysate)
A: mouse brain
7.5% SDS PAGE
GTX113030 diluted at 1:5000
Immunohistochemical analysis of paraffin-embedded Ca922 xenograft, using VCP(p97)(GTX113030) antibody at 1:500 dilution.
Antigen Retrieval: Trilogy™ (EDTA based, pH 8.0) buffer, 15min
风险提示:丁香通仅作为第三方平台,为商家信息发布提供平台空间。用户咨询产品时请注意保护个人信息及财产安全,合理判断,谨慎选购商品,商家和用户对交易行为负责。对于医疗器械类产品,请先查证核实企业经营资质和医疗器械产品注册证情况。
文献和实验Yabe R et al., PLoS One 2015 (PMID:26678046)
Tsuji S et al., J Vet Med Sci 2016 (PMID:27150024)
May EW et al., Pharmacol Res 2014 (PMID:25242635)
Huang CH et al., J Biol Chem 2014 (PMID:24366871)
Huang CH et al., J Biol Chem 2013 (PMID:23867461)
Hancock JL et al., J Exp Clin Cancer Res 2023 (PMID:37072858)
Guettsches AK et al., Biomedicines 2022 (PMID:36289705)
Ryouichi Tsunedomi et al., BMC Cancer 2022 (PMID:35277124)
Kitamura N et al., J Biochem 2021 (PMID:34314486)
Fujiwara N et al., Biochem Biophys Res Commun 2021 (PMID:33751937)
Fujiwara Y et al., Pancreas 2021 (PMID:33835973)
Fujimoto T et al., Oncol Lett 2021 (PMID:33240436)
Fujiwara N et al., Cancer Sci 2020 (PMID:32969571)
Ikeda S et al., J Biochem 2020 (PMID:32663263)
Yabe R et al., FEBS Open Bio 2018 (PMID:30186749)
Tsuji S et al., J Vet Med Sci 2019 (PMID:31527340)
Chernis N et al., Am J Physiol Cell Physiol 2019 (PMID:31596606)
Kake S et al., Sci Rep 2017 (PMID:28655918)
Ryotaro Yabe et al., FEBS openbio 2018 (Epub)
Koh EH et al., Diabetes 2018 (PMID:30002134)
Fujiwara N et al., J Biol Chem 2016 (PMID:26994142)
Enjoji S et al., J Vet Med Sci 2015 (PMID:26062569)
Kake S et al., Oncol Rep 2017 (PMID:28075459)
In the field of therapeutic recombinant proteins, monoclonal antibodies (mAbs) have achieved a rising success with more than 30 mAbs that have reached the market in the past 20 years. From a structural standpoint, one of the most important
to protect the antibody. These should be stored in smaller aliquots (about 1 ml) and frozen for long term storage though the protected solution is also stable for months at four degrees. Ascites fluid: This is a bit more problematic as it may contain
Materials 0.1M NaHC03 pH9 DMSO NHS-Biotin (N-Hydroxysuccinimidobiotin, Sigma #H-1759) PBS Procedure Dialyze the sample against carbonate buffer. After dialysis, adjust
技术资料暂无技术资料 索取技术资料





![CD6 antibody [SPM547]](https://img1.dxycdn.com/2023/0711/451/6106825198874858761-14.jpg!wh200)




