相关产品推荐更多 >
万千商家帮你免费找货
0 人在求购买到急需产品
- 详细信息
- 文献和实验
- 技术资料
- 免疫原:
Recombinant protein encompassing a sequence within the center region of human Transglutaminase 2. The exact sequence is proprietary.
- 亚型:
IgG
- 形态:
Liquid
- 保存条件:
Store as concentrated solution. Centrifuge briefly prior to opening vial. For short-term storage (1-2 weeks), store at 4ºC. For long-term storage, aliquot and store at -20ºC or below. Avoid multiple freeze-thaw cycles.
- 克隆性:
Polyclonal
- 标记物:
Unconjugated
- 适应物种:
Human, Mouse
- 保质期:
12 months from the shipping date of the product.
- 抗原来源:
Human
- 目录编号:
GTX111701
- 级别:
Primary Antibodies
- 库存:
Available
- 供应商:
GeneTex
- 宿主:
Rabbit
- 应用范围:
WB, ICC/IF, IHC-P
- 浓度:
1 mg/ml (Please refer to the vial label for the specific concentration.)
- 靶点:
Transglutaminase 2
- 抗体英文名:
Transglutaminase 2 antibody [N1N3]
- 抗体名:
Transglutaminase 2 抗体 [N1N3]
- 规格:
100 μl/25 μl
| 规格: | 100 μl | 产品价格: | ¥4000.0 |
|---|---|---|---|
| 规格: | 25 μl | 产品价格: | ¥1700.0 |
Immunofluorescence analysis of methanol-fixed A549, using Transglutaminase 2(GTX111701) antibody at 1:500 dilution.
Sample (30 ug of whole cell lysate)
A: A549
7.5% SDS PAGE
GTX111701 diluted at 1:2000
Transglutaminase 2 antibody [N1N3] detects Transglutaminase 2 protein at cytoplasm in mouse duodenum by immunohistochemical analysis.
Sample: Paraffin-embedded mouse duodenum.
Transglutaminase 2 antibody [N1N3] (GTX111701) diluted at 1:500.
Antigen Retrieval: Citrate buffer, pH 6.0, 15 min
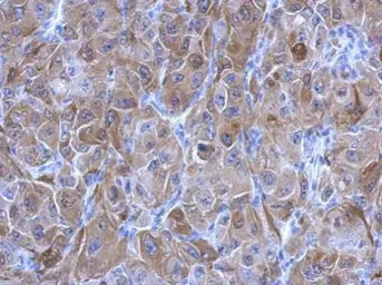
Immunohistochemical analysis of paraffin-embedded Mahlarvu xenograft, using Transglutaminase 2(GTX111701) antibody at 1:500 dilution.
Antigen Retrieval: Trilogy™ (EDTA based, pH 8.0) buffer, 15min
风险提示:丁香通仅作为第三方平台,为商家信息发布提供平台空间。用户咨询产品时请注意保护个人信息及财产安全,合理判断,谨慎选购商品,商家和用户对交易行为负责。对于医疗器械类产品,请先查证核实企业经营资质和医疗器械产品注册证情况。
文献和实验Enzymatic Antibody Modification by Bacterial Transglutaminase
between glutamine 295 of the antibody heavy chain and the substrate. This procedure requires enzymatic removal of N-linked glycans from the antibody and yields a defined substrate/antibody ratio of 2:1. Alternatively, a mutant aglycosylated IgG1 variant
Synthesis of Hapten-Protein Conjugates Using Microbial Transglutaminase
Hapten-protein conjugates are essential in many immunochemical assays and in particular in assays using titration or competitive assay formats. By exploitation of the catalytic properties of the microbial transglutaminase
In the field of therapeutic recombinant proteins, monoclonal antibodies (mAbs) have achieved a rising success with more than 30 mAbs that have reached the market in the past 20 years. From a structural standpoint, one of the most important
技术资料暂无技术资料 索取技术资料







![Transferrin antibody [F2H8G6]](https://img1.dxycdn.com/2023/0711/451/6106825198874858761-14.jpg!wh200)

