相关产品推荐更多 >
万千商家帮你免费找货
0 人在求购买到急需产品
- 详细信息
- 文献和实验
- 技术资料
- 免疫原:
Recombinant protein encompassing a sequence within the center region of human Pancreatic Lipase. The exact sequence is proprietary.
- 亚型:
IgG
- 形态:
Liquid
- 保存条件:
Store as concentrated solution. Centrifuge briefly prior to opening vial. For short-term storage (1-2 weeks), store at 4ºC. For long-term storage, aliquot and store at -20ºC or below. Avoid multiple freeze-thaw cycles.
- 克隆性:
Polyclonal
- 标记物:
Unconjugated
- 适应物种:
Human
- 保质期:
12 months from the shipping date of the product.
- 抗原来源:
Human
- 目录编号:
GTX109936
- 级别:
Primary Antibodies
- 库存:
Available
- 供应商:
GeneTex
- 宿主:
Rabbit
- 应用范围:
WB, ICC/IF, IHC-P
- 浓度:
1 mg/ml (Please refer to the vial label for the specific concentration.)
- 靶点:
Pancreatic Lipase
- 抗体英文名:
Pancreatic Lipase antibody [N1C1]
- 抗体名:
Pancreatic Lipase 抗体 [N1C1]
- 规格:
100 μl/25 μl
| 规格: | 100 μl | 产品价格: | ¥4000.0 |
|---|---|---|---|
| 规格: | 25 μl | 产品价格: | ¥1700.0 |
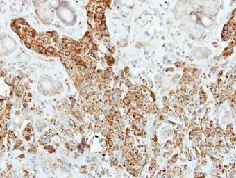
Immunohistochemical analysis of paraffin-embedded SCM-1 xenograft, using Pancreatic Lipase(GTX109936) antibody at 1:500 dilution.
Antigen Retrieval: Citrate buffer, pH 6.0, 15 min
Pancreatic Lipase antibody [N1C1] detects PNLIP protein by Western blot analysis.
A. 30 μg 293T whole cell lysate/extract
10 % SDS-PAGE
Pancreatic Lipase antibody [N1C1] (GTX109936) dilution: 1:1000
Immunofluorescence analysis of PFA-fixed A549, using Pancreatic Lipase (GTX109936) antibody at 1:200 dilution.
风险提示:丁香通仅作为第三方平台,为商家信息发布提供平台空间。用户咨询产品时请注意保护个人信息及财产安全,合理判断,谨慎选购商品,商家和用户对交易行为负责。对于医疗器械类产品,请先查证核实企业经营资质和医疗器械产品注册证情况。
文献和实验Assays for Pancreatic Triglyceride Lipase and Colipase
The assay of pancreatic triglyceride lipase (PL) is done routinely in clinical laboratories and in research laboratories with an interest in this lipolytic enzyme. The assay requirements differ between these two settings. The clinical
Lipoprotein lipase (LPL) is an N -inked glycoprotein of approximately 57 kDa that is synthesized by a numbel of tissues, including white and brown adipose tissue, heart, skeletal muscle, neonatal liver and brain (1 ,2 ). In these tissues
The presence of a redundant lipolytic system of bile salt-activated lipase (BAL) and pancreatic lipase results in the concerted action of these lipolytic enzymes during intestinal dietary fat digestion processes (1 ). Because of its wide
技术资料暂无技术资料 索取技术资料





![Cytochrome C antibody [SPM389]](https://img1.dxycdn.com/2023/0711/451/6106825198874858761-14.jpg!wh200)
![FOXD1 antibody [C3], C-term](https://img1.dxycdn.com/2023/0711/255/2344116916935858761-14.jpg!wh200)



