相关产品推荐更多 >
万千商家帮你免费找货
0 人在求购买到急需产品
- 详细信息
- 文献和实验
- 技术资料
- 免疫原:
Recombinant protein encompassing a sequence within the C-terminus region of human MCM4. The exact sequence is proprietary.
- 亚型:
IgG
- 形态:
Liquid
- 保存条件:
Store as concentrated solution. Centrifuge briefly prior to opening vial. For short-term storage (1-2 weeks), store at 4ºC. For long-term storage, aliquot and store at -20ºC or below. Avoid multiple freeze-thaw cycles.
- 克隆性:
Polyclonal
- 标记物:
Unconjugated
- 适应物种:
Human, Mouse, Zebrafish
- 保质期:
12 months from the shipping date of the product.
- 抗原来源:
Human
- 目录编号:
GTX109740
- 级别:
Primary Antibodies
- 库存:
Available
- 供应商:
GeneTex
- 宿主:
Rabbit
- 应用范围:
WB, ICC/IF, IHC-P, IP, ChIP assay
- 浓度:
1 mg/ml (Please refer to the vial label for the specific concentration.)
- 靶点:
IP/MS validation was supported by references (PMID:30377397)
- 抗体英文名:
MCM4 antibody
- 抗体名:
MCM4 抗体
- 规格:
100 μl/25 μl
| 规格: | 100 μl | 产品价格: | ¥4000.0 |
|---|---|---|---|
| 规格: | 25 μl | 产品价格: | ¥1700.0 |
Sample (30 μg of whole cell lysate)
A: zebrafish eye
7.5% SDS PAGE
GTX109740 diluted at 1:1000
Immunohistochemical analysis of paraffin-embedded zebrafish tissue, using MCM4 antibody (GTX109740) at 1:300 dilution.
MCM4 antibody detects MCM4 protein by western blot analysis.
A. 30 μg Jurkat whole cell lysate/extract
B. 30 μg Raji whole cell lysate/extract
C. 30 μg NCI-H929 whole cell lysate/extract
7.5 % SDS-PAGE
MCM4 antibody (GTX109740) dilution: 1:5000
Cross-linked ChIP was performed with HeLa chromatin extract and 5 μg of either control rabbit IgG or anti-MCM4 antibody. The precipitated DNA was detected by PCR with primer set targeting to Myc promoter.
Various whole cell extracts (30 μg) were separated by 7.5% SDS-PAGE, and the membrane was blotted with MCM4 antibody (GTX109740) diluted at 1:1000.
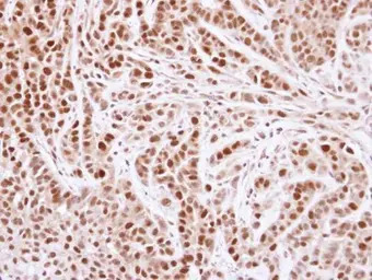
Immunohistochemical analysis of paraffin-embedded A549 Xenograft, using MCM4(GTX109740) antibody at 1:100 dilution.
Antigen Retrieval: Trilogy™ (EDTA based, pH 8.0) buffer, 15min
Immunofluorescence analysis of PFA-fixed HeLa, using MCM4(GTX109740) antibody at 1:500 dilution.
MCM4 antibody immunoprecipitates MCM4 protein in IP experiments.
IP samples: Jurkat whole cell extract
A. 40 μg Jurkat whole cell extract
B. Control with 4 μg of preimmune Rabbit IgG
C. Immunoprecipitation of MCM4 protein by 4 μg MCM4 antibody (GTX109740)
7.5 % SDS-PAGE
The immunoprecipitated MCM4 protein was detected by MCM4 antibody (GTX109740) diluted at 1:500.
[EasyBlot anti-rabbit IgG (GTX221666-01) was used as a secondary reagent]
风险提示:丁香通仅作为第三方平台,为商家信息发布提供平台空间。用户咨询产品时请注意保护个人信息及财产安全,合理判断,谨慎选购商品,商家和用户对交易行为负责。对于医疗器械类产品,请先查证核实企业经营资质和医疗器械产品注册证情况。
文献和实验Sikorski K et al., Nat Methods 2018 (PMID:30377371)
技术资料暂无技术资料 索取技术资料





![CKLFSF5 antibody [N1N2], N-term](https://img1.dxycdn.com/2023/0711/255/2344116916935858761-14.jpg!wh200)

![ARA9 antibody [35-2]](https://img1.dxycdn.com/2023/0711/451/6106825198874858761-14.jpg!wh200)
