相关产品推荐更多 >
万千商家帮你免费找货
0 人在求购买到急需产品
- 详细信息
- 文献和实验
- 技术资料
- 免疫原:
Partially purified human HSP27.
- 亚型:
IgG1
- 形态:
Liquid
- 保存条件:
Store as concentrated solution. Centrifuge briefly prior to opening vial. For short-term storage (1-2 weeks), store at 4ºC. For long-term storage, aliquot and store at -20ºC or below. Avoid multiple freeze-thaw cycles.
- 克隆性:
Monoclonal
- 标记物:
Unconjugated
- 适应物种:
Human, Mouse, Rat, Dog, Primate
- 保质期:
12 months from the shipping date of the product.
- 抗原来源:
Human
- 目录编号:
GTX22790
- 级别:
Primary Antibodies
- 库存:
Available
- 供应商:
GeneTex
- 宿主:
Mouse
- 应用范围:
WB, ICC/IF, IHC-P, IP, ELISA, IHC, IM
- 靶点:
HSP27
- 抗体英文名:
HSP27 antibody [G3.1]
- 抗体名:
HSP27 抗体 [G3.1]
- 规格:
100 μl
ICC/IF analysis of HeLa cells and negative control NIH3T3 cells using GTX22790 HSP27 antibody [G3.1].
Green : Primary antibody
Blue : Nuclei
Red : Actin
Fixation : Formalin
Permeabilization : 0.1% Triton X-100 in TBS for 10 minutes
Dilution : 1:50 for at least 1 hour at room temperature
ICC/IF analysis of U251 cells using GTX22790 HSP27 antibody [G3.1]. Cells were probed without (right) or with(left) an antibody.
Green : Primary antibody
Blue : Nuclei
Red : Actin
Fixation : formaldehyde
Dilution : 1:200 overnight at 4ºC
IHC-P analysis of human tonsil tissue using GTX22790 HSP27 antibody [G3.1].
Left : Primary antibody
Right : Negative control without primary antibody
Antigen retrieval : heat induced antigen retrieval was performed using 10mM sodium citrate (pH6.0) buffer, microwaved for 8-15 minutes
Dilution : 1:500
ICC/IF analysis of HeLa cells using GTX22790 HSP27 antibody [G3.1]. Cells were probed without (right) or with(left) an antibody.
Green : Primary antibody
Blue : Nuclei
Red : Actin
Fixation : formaldehyde
Dilution : 1:200 overnight at 4ºC
IP analysis of HeLa cell lysates using GTX22790 HSP27 antibody [G3.1].
GTX22790 was used as IP and IB antibody
IP reaction : 2μg antibody / 500μg lysate
WB antibody dilution : 1:1000
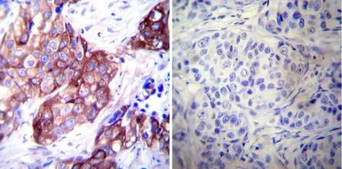
IHC-P analysis of human breast carcinoma tissue using GTX22790 HSP27 antibody [G3.1].
Left : Primary antibody
Right : Negative control without primary antibody
Antigen retrieval : heat induced antigen retrieval was performed using 10mM sodium citrate (pH6.0) buffer, microwaved for 8-15 minutes
Dilution : 1:500
ICC/IF analysis of C6 cells using GTX22790 HSP27 antibody [G3.1]. Cells were probed without (right) or with(left) an antibody.
Green : Primary antibody
Blue : Nuclei
Red : Actin
Fixation : formaldehyde
Dilution : 1:20 overnight at 4ºC
IHC-P analysis of human colon carcinoma tissue using GTX22790 HSP27 antibody [G3.1].
Left : Primary antibody
Right : Negative control without primary antibody
Antigen retrieval : heat induced antigen retrieval was performed using 10mM sodium citrate (pH6.0) buffer, microwaved for 8-15 minutes
Dilution : 1:200
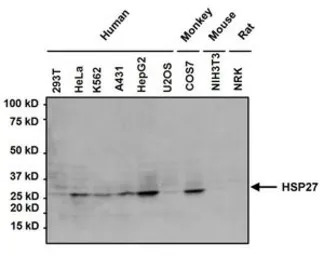
WB analysis of 50μg of the indicated whole cell lysates using GTX22790 HSP27 antibody [G3.1].
Dilution : 1:1000
ICC/IF analysis of HeLa cells using GTX22790 HSP27 antibody [G3.1]. Cells were probed without (right) or with(left) an antibody.
Green : Primary antibody
Blue : Nuclei
Red : Actin
Fixation : Formalin
Permeabilization : 0.1% Triton X-100 in TBS for 10 minutes
Dilution : 1:100 for at least 1 hour at room temperature
风险提示:丁香通仅作为第三方平台,为商家信息发布提供平台空间。用户咨询产品时请注意保护个人信息及财产安全,合理判断,谨慎选购商品,商家和用户对交易行为负责。对于医疗器械类产品,请先查证核实企业经营资质和医疗器械产品注册证情况。
文献和实验上海西唐生物科技有限公司 021-55229872, 65333639 www.westang.com 人热休克蛋白27 ( HSP27 )ELISA 试剂盒 原理 本实验采用双抗体夹心 ABC-ELISA 法。用抗人 HSP27 单抗包被于酶标板上,标准品和样品中的 HSP27与单抗结合,加入生物素化的抗人 HSP27 ,形成免疫复合物连接在板上,辣根
on the gamma1, gamma2, gamma3, and alpha2 heavy chains (they are designated as G1m, G2m, G3m, and A2m allotypes, respectively), and on the kappa light chain (Km allotypes). Gm-Am allotypes are inherited in fixed combinations, or Gm-Am haplotypes, owing
Intracellular Cytokine Staining Protocol
anti-cytokine antibodies with excess amounts of unlabeled antibody. Alternatively, recombinant cytokines can be used for blocking.eBioscience antibodies are available as Functional Grade (FG) Purified (sterile, endotoxin-tested, no azide), Purified
技术资料暂无技术资料 索取技术资料








