相关产品推荐更多 >
万千商家帮你免费找货
0 人在求购买到急需产品
- 详细信息
- 文献和实验
- 技术资料
- 免疫原:
Purified bovine brain adaptor complexes.
- 亚型:
IgG2a
- 形态:
Liquid
- 保存条件:
Store as concentrated solution. Centrifuge briefly prior to opening vial. For short-term storage (1-2 weeks), store at 4ºC. For long-term storage, aliquot and store at -20ºC or below. Avoid multiple freeze-thaw cycles.
- 克隆性:
Monoclonal
- 标记物:
Unconjugated
- 适应物种:
Human, Mouse, Rat, Bovine, Chicken, Pig, Amphibians, Primate
- 保质期:
12 months from the shipping date of the product.
- 抗原来源:
Bovine
- 目录编号:
GTX22807
- 级别:
Primary Antibodies
- 库存:
Available
- 供应商:
GeneTex
- 宿主:
Mouse
- 应用范围:
WB, ICC/IF, IHC-P, IP, IHC
- 浓度:
2 mg/ml (Please refer to the vial label for the specific concentration.)
- 靶点:
This antibody detects the products of both alpha-adaptin genes, alphaA and alphaC, as well as an alternatively spliced isoform of alphaA found in neurons.
- 抗体英文名:
alpha Adaptin antibody [AC1-M11]
- 抗体名:
alpha Adaptin 抗体 [AC1-M11]
- 规格:
500 μl
ICC/IF analysis of NRK cells using GTX22807 alpha Adaptin antibody [AC1-M11].
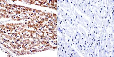
IHC-P analysis of human heart tissue using GTX22807 alpha Adaptin antibody [AC1-M11].
Left : Primary antibody
Right : Negative control without primary antibody
Antigen retrieval : heat induced antigen retrieval was performed using 10mM sodium citrate (pH6.0) buffer, microwaved for 8-15 minutes
Dilution : 1:20
ICC/IF analysis of SH-SY5Y cells using GTX22807 alpha Adaptin antibody [AC1-M11]. Panel e is a no primary antibody control.
Green : Primary antibody
Blue : Nuclei
Red : Actin
Fixation : 4% PFA
Permeabilization : 0.1% Triton X-100 for 10 minute
Dilution : 2 μg/ml in 0.1% BSA and incubated for 3 hours at room temperature
WB analysis of tissue and membrane enriched extract (30 ug) of Rat Brain (Lane 1), SH-SY5Y (Lane 2), U-87 MG (Lane 3), COLO 205 (Lane 4), PC-3 (Lane 5), MCF7 (Lane 6), NIH/3T3 (Lane 7) and A-431 (Lane 8) using GTX22807 alpha Adaptin antibody [AC1-M11].
Dilution : 2 μg/ml
风险提示:丁香通仅作为第三方平台,为商家信息发布提供平台空间。用户咨询产品时请注意保护个人信息及财产安全,合理判断,谨慎选购商品,商家和用户对交易行为负责。对于医疗器械类产品,请先查证核实企业经营资质和医疗器械产品注册证情况。
文献和实验Ganapathy AS et al., Autophagy 2022 (PMID:34964704)
Murakami N et al., PLoS One 2012 (PMID:22514676)
In situ hybridisation to alpha satellite sequences (chromosome specific)
Alpha satellite sequences, whilst highly repetitive, are specific to each individual chromosome. These sequences flank the centromeres and can present a target measured in megabases. In this protocol a biotin or digoxigenin labelled DNA
, upon immunization of H-2u mice with either myelin basic protein, or its immunodominant fragment, peptide Ac1-20, the Vβ8.2 TCR gene product is expressed in the majority of pathogenic T cells (2 –4 ). The restricted usage of the Vβ8.2 TCR gene product
marrow. The prime suspect: an adhesion molecule called alpha2 integrin. The molecule showed increased expression on memory cells, and its ligand is predominantly expressed in bone marrow tissue. Also, when the researchers blocked alpha2 integrin
技术资料暂无技术资料 索取技术资料






![Influenza B virus M1 (matrix protein) antibody [B276M]](https://img1.dxycdn.com/2023/0711/451/6106825198874858761-14.jpg!wh200)



