相关产品推荐更多 >
万千商家帮你免费找货
0 人在求购买到急需产品
- 详细信息
- 文献和实验
- 技术资料
- 免疫原:
Purified rat kidney sodium/potassium ATPase.
- 亚型:
IgG1
- 形态:
Liquid
- 保存条件:
Store as concentrated solution. Centrifuge briefly prior to opening vial. For short-term storage (1-2 weeks), store at 4ºC. For long-term storage, aliquot and store at -20ºC or below. Avoid multiple freeze-thaw cycles.
- 克隆性:
Monoclonal
- 标记物:
Unconjugated
- 适应物种:
Human, Mouse, Rat, Dog, Chicken, Pig
- 保质期:
12 months from the shipping date of the product.
- 抗原来源:
Rat
- 目录编号:
GTX22867
- 级别:
Primary Antibodies
- 库存:
Available
- 供应商:
GeneTex
- 宿主:
Mouse
- 应用范围:
WB, ICC/IF, IHC-P, IHC-Fr, FACS, IP, ELISA, Neutralizing/Inhibition
- 靶点:
This antibody can also be utilized to inhibit activity of the enzyme. And it recognizes an epitope within an intracellular region at or near Asp-369 of the sodium/potassium ATPase alpha subunit.
- 抗体英文名:
Sodium Potassium ATPase antibody [9-A5]
- 抗体名:
Sodium Potassium ATPase 抗体 [9-A5]
- 规格:
100 μl
IHC-P analysis of human brain tissue using GTX22867 Sodium Potassium ATPase antibody [9-A5].
Antigen retrieval : 10mM sodium citrate followed by microwave treatment for 8-15 minutes.
Dilution : 1:10
IHC-P analysis of human liver tissue using GTX22867 Sodium Potassium ATPase antibody [9-A5].
Antigen retrieval : 10mM sodium citrate followed by microwave treatment for 8-15 minutes.
Dilution : 1:10
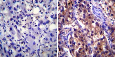
IHC-P analysis of human renal carcinoma tissue using GTX22867 Sodium Potassium ATPase antibody [9-A5].
Antigen retrieval : 10mM sodium citrate followed by microwave treatment for 8-15 minutes.
Dilution : 1:10
风险提示:丁香通仅作为第三方平台,为商家信息发布提供平台空间。用户咨询产品时请注意保护个人信息及财产安全,合理判断,谨慎选购商品,商家和用户对交易行为负责。对于医疗器械类产品,请先查证核实企业经营资质和医疗器械产品注册证情况。
文献和实验Zhao C et al., Front Neurosci 2019 (PMID:31440132)
cotransport and thick ascending limb.kidney International 1989;36:418 10.Stokes JB.Sodium and potassium transport by the collecting duct.Kidney International 1990;38:678
Determination of Substance Concentration by Competitive ELISA (zt)
KCl4.3 mM Sodium Phosphate Dibasic (Na2HPO4)1.8 mM Potassium Phosphate Monobasic (KH2PO4)137 mM NaCl
E.M. PROCESSING SCHEDULE - EPOXY RESIN Fix tissue in 2.5% glutaraldehyde in 0.1M sodium cacodylate buffer at 4o C, for a minimum of 4 hours. Tissue should be cut into approx. 1mm cubes for fixing. This may be done in a drop of fix
技术资料暂无技术资料 索取技术资料








