相关产品推荐更多 >
万千商家帮你免费找货
0 人在求购买到急需产品
- 详细信息
- 文献和实验
- 技术资料
- 免疫原:
The antiserum was produced against synthesized phosphopeptide derived from human p70 S6 Kinase around the phosphorylation site of threonine 421 (P-R-Tp-P-V).
- 亚型:
IgG
- 形态:
Liquid
- 保存条件:
Store as concentrated solution. Centrifuge briefly prior to opening vial. For short-term storage (1-2 weeks), store at 4ºC. For long-term storage, aliquot and store at -20ºC or below. Avoid multiple freeze-thaw cycles.
- 克隆性:
Polyclonal
- 标记物:
Unconjugated
- 适应物种:
Human
- 保质期:
12 months from the shipping date of the product.
- 抗原来源:
Human
- 目录编号:
GTX78979
- 级别:
Primary Antibodies
- 库存:
Available
- 供应商:
GeneTex
- 宿主:
Rabbit
- 应用范围:
WB, IHC-P
- 浓度:
Batch dependent (Please refer to the vial label for the specific concentration.)
- 靶点:
p70 S6K (phospho Thr421)
- 抗体英文名:
p70 S6K (phospho Thr421) antibody
- 抗体名:
p70 S6K (phospho Thr421) 抗体
- 规格:
100 μg
WB analysis of Jurkat cells, untreated or treated with GM-CSF (25ng/ml 30min) lysates using GTX78979 p70 S6K (phospho Thr421) antibody.
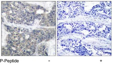
IHC-P analysis of human breast carcinoma tissue using GTX78979 p70 S6K (phospho Thr421) antibody.
风险提示:丁香通仅作为第三方平台,为商家信息发布提供平台空间。用户咨询产品时请注意保护个人信息及财产安全,合理判断,谨慎选购商品,商家和用户对交易行为负责。对于医疗器械类产品,请先查证核实企业经营资质和医疗器械产品注册证情况。
文献和实验Using Phospho‐Motif Antibodies to Determine Kinase Substrates
comprising both the phosphorylated residue and the surrounding residues that determine kinase specificity, with degenerate residues taking up the remaining positions. Currently, several categories of phospho?motif antibody are commercially available
大鼠白介素-12 p70(IL-12 p70)ELISA试剂盒 说明书
上海西唐生物科技有限公司 021-55229872, 65333639 www.westang.com 大鼠白介素 -12 p70(IL-12 p70)ELISA 试剂盒 ( 用于血清、血浆、细胞培养上清液和其它生物体液内 ) 原理 本实验采用双抗体夹心 ABC-ELISA 法。用抗大鼠 IL-12 p70 单抗包被于酶标板上,标准品和样品中的 IL-12 p70 与单抗结合,加入生物
人白介素-12 p70(IL-12 p70)ELISA试剂盒 说明书
上海西唐生物科技有限公司 021-55229872, 65333639 www.westang.com 人白介素-12 p70 (IL-12 p70)ELISA 试剂盒 ( 用于血清、血浆、细胞培养上清液和其它生物体液内 ) 原理 本实验采用双抗体夹心 ABC-ELISA 法。用抗人 IL-12 p70 单抗包被于酶标板上,标准品和样品中的 IL-12 p70与单抗
技术资料暂无技术资料 索取技术资料







![Aggrecan antibody [7D4]](https://img1.dxycdn.com/2023/0711/451/6106825198874858761-14.jpg!wh200)
![CD4 antibody [GK1.5] (FITC)](https://custom.dxycdn.com/trademd/upload/pic/2011/12/14/1323695851.jpg!small.t.1)

