相关产品推荐更多 >
万千商家帮你免费找货
0 人在求购买到急需产品
- 详细信息
- 文献和实验
- 技术资料
- 免疫原:
NKL cells.
- 亚型:
IgG1
- 形态:
Liquid
- 保存条件:
Store as concentrated solution. Centrifuge briefly prior to opening vial. For short-term storage (1-2 weeks), store at 4ºC. For long-term storage, aliquot and store at -20ºC or below. Avoid multiple freeze-thaw cycles.
- 克隆性:
Monoclonal
- 标记物:
Unconjugated
- 适应物种:
Human
- 保质期:
12 months from the shipping date of the product.
- 抗原来源:
Human
- 目录编号:
GTX42086
- 级别:
Primary Antibodies
- 库存:
Available
- 供应商:
GeneTex
- 宿主:
Mouse
- 应用范围:
IHC-Fr, FACS, IP
- 浓度:
1.0 mg/ml (Please refer to the vial label for the specific concentration.)
- 靶点:
NKG2D
- 抗体英文名:
NKG2D antibody [1D11]
- 抗体名:
NKG2D 抗体 [1D11]
- 规格:
200 μg
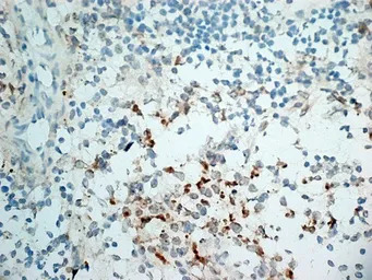
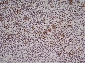
IHC-Fr analysis of human spleen tissue using GTX42086 NKG2D antibody [1D11].
IHC-Fr analysis of human tonsil tissue using GTX42086 NKG2D antibody [1D11].
IHC-Fr analysis of human tonsil tissue using GTX42086 NKG2D antibody [1D11].
IHC-Fr analysis of human tonsil tissue using GTX42086 NKG2D antibody [1D11].
IHC-Fr analysis of human spleen tissue using GTX42086 NKG2D antibody [1D11].
风险提示:丁香通仅作为第三方平台,为商家信息发布提供平台空间。用户咨询产品时请注意保护个人信息及财产安全,合理判断,谨慎选购商品,商家和用户对交易行为负责。对于医疗器械类产品,请先查证核实企业经营资质和医疗器械产品注册证情况。
文献和实验Overview of Biacore Systems and Their Applications
., Neumann, M., Tobias, L., Obenauer‐Kutner, L., Jacobs, S., and Cullen, C. 2002. Development of a biosensor‐based method for detection and isotyping of antibody responses to adenoviral‐based gene therapy vectors. Anal. Biochem. 310:107‐113
技术资料暂无技术资料 索取技术资料





![EML1 antibody [C3], C-term](https://img1.dxycdn.com/2023/0711/255/2344116916935858761-14.jpg!wh200)
![Hax1a antibody [9G6C6]](https://img1.dxycdn.com/2023/0711/451/6106825198874858761-14.jpg!wh200)


