相关产品推荐更多 >
万千商家帮你免费找货
0 人在求购买到急需产品
- 详细信息
- 文献和实验
- 技术资料
- 免疫原:
A synthetic peptide corresponding to an Internal region of Human GADD45B
- 亚型:
IgG
- 形态:
Liquid
- 保存条件:
Store as concentrated solution. Centrifuge briefly prior to opening vial. For short-term storage (1-2 weeks), store at 4ºC. For long-term storage, aliquot and store at -20ºC or below. Avoid multiple freeze-thaw cycles.
- 克隆性:
Polyclonal
- 标记物:
Unconjugated
- 适应物种:
Human
- 保质期:
12 months from the shipping date of the product.
- 抗原来源:
Human
- 目录编号:
GTX46244
- 级别:
Primary Antibodies
- 库存:
Available
- 供应商:
GeneTex
- 宿主:
Rabbit
- 应用范围:
WB, IHC-P
- 浓度:
0.5-1 mg/ml (Please refer to the vial label for the specific concentration.)
- 靶点:
GADD45B
- 抗体英文名:
GADD45B antibody, Internal
- 抗体名:
GADD45B 抗体, Internal
- 规格:
50 μg
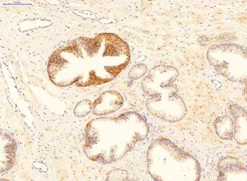
IHC-P analysis of human prostate cancer tissue using GTX46244 GADD45B antibody at 2μg/ml. Leica Bond antigen retrieval solution 1 (citrate buffer, pH 6.0) for 20 min at 99oC.
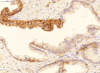
IHC-P analysis of human prostate cancer tissue using GTX46244 GADD45B antibody at 2μg/ml. Leica Bond antigen retrieval solution 1 (citrate buffer, pH 6.0) for 20 min at 99oC
IHC-P analysis of human prostate cancer tissue using GTX46244 GADD45B antibody at 2μg/ml. Leica Bond antigen retrieval solution 1 (citrate buffer, pH 6.0) for 20 min at 99oC
WB analysis of human fetal lung tissue using GTX46244 GADD45B antibody at 3μg/ml.
WB analysis of HepG2 cells using GTX46244 GADD45B antibody at 0.2-1μg/ml.
风险提示:丁香通仅作为第三方平台,为商家信息发布提供平台空间。用户咨询产品时请注意保护个人信息及财产安全,合理判断,谨慎选购商品,商家和用户对交易行为负责。对于医疗器械类产品,请先查证核实企业经营资质和医疗器械产品注册证情况。
文献和实验Preparation and Assay of Acetylcholinesterase Antibody
structures mimicking external antigen results from the fact that the conformation of some of the anti-idiotypic antibodies may be complementary to the three-dimensional structure of the binding site of the first antibody, and therefore, represents
Protocol for anti-HA antibody Western Blotting
film for ~2 mins. Notes on the primary antibody: Source : Covance/Babco Description: Crude ascites fluid monoclonal anti-HA antibody (CATLN#135032002, 11mms-101R, 0.5 ml) Handling: Aliquoted into 10ul portions in -20℃ Internal notes: labelled anti
Analysis of Antibody-Antigen Interactions Using Surface Plasmon Resonance
Accurate analyses of antibody specificities and affinities are critical to understanding their role in antibody-mediated neutralization of HIV-1 in vitro and their potential activity against HIV-1 in vivo. Multiple immunologic tools
技术资料暂无技术资料 索取技术资料






![TRPM7 antibody [S74-25]](https://img1.dxycdn.com/2023/0711/451/6106825198874858761-14.jpg!wh200)



