相关产品推荐更多 >
万千商家帮你免费找货
0 人在求购买到急需产品
- 详细信息
- 文献和实验
- 技术资料
- 免疫原:
A synthetic peptide corresponding to a N-terminal region of Human hnRNP U
- 亚型:
IgG
- 形态:
Liquid
- 保存条件:
Store as concentrated solution. Centrifuge briefly prior to opening vial. For short-term storage (1-2 weeks), store at 4ºC. For long-term storage, aliquot and store at -20ºC or below. Avoid multiple freeze-thaw cycles.
- 克隆性:
Polyclonal
- 标记物:
Unconjugated
- 适应物种:
Human
- 保质期:
12 months from the shipping date of the product.
- 抗原来源:
Human
- 目录编号:
GTX47369
- 级别:
Primary Antibodies
- 库存:
Available
- 供应商:
GeneTex
- 宿主:
Rabbit
- 应用范围:
IHC-P
- 浓度:
0.5-1 mg/ml (Please refer to the vial label for the specific concentration.)
- 靶点:
hnRNP U
- 抗体英文名:
hnRNP U antibody, N-term
- 抗体名:
hnRNP U 抗体, N-term
- 规格:
50 μg
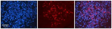
IHC-P analysis of human testis tissue using GTX47369 HNRNPU antibody at 1:600. Left to right:DAPI, HNRNPU, Merge. Low pH, heat-induced antigen retrieval method utilizing Sodium Citrate buffer.
风险提示:丁香通仅作为第三方平台,为商家信息发布提供平台空间。用户咨询产品时请注意保护个人信息及财产安全,合理判断,谨慎选购商品,商家和用户对交易行为负责。对于医疗器械类产品,请先查证核实企业经营资质和医疗器械产品注册证情况。
文献和实验In the field of therapeutic recombinant proteins, monoclonal antibodies (mAbs) have achieved a rising success with more than 30 mAbs that have reached the market in the past 20 years. From a structural standpoint, one of the most important
u检验和t检验 u检验和t检验可用于样本均数与总体均数的比较以及两样本均数的比较。理论上要求样本来自正态分布总体。但在实用时,只要样本例数n较大,或n小但总体标准差σ已知时,就可应用u检验;n小且总体标准差σ未知时,可应用t检验,但要求样本来自正态分布总体。两样本均数比较时还要求两总体方差相等。 一、样本均数与总体均数比较 比较的目的是推断样本所代表的未知总体均数μ与已知总体均数μ0有无差别。通常把理论值、标准值或经大量调查所得
施一公团队又出新作!进一步解析人类 U2 snRNP 组装过程,提供癌症突变机制新见解
结果 样品制备及结构测定 首先,研究人员纯化了 DDX42-SF3b 复合物以及含有 DDX42 的潜在剪接体复合体。在 DDX42 的 N 端融合了一个 Flag 标记,并利用该标记对内源性复合体进行亲和选择。纯化后的样品在交联条件下进行梯度离心。最终样本只包含 5 种 snRNA 中的 U2。经过 2D 和 3D 分析,人类 DDX42-U2 复合体最终被重建,平均分辨率为 2.7 Å。 使用类似的策略,他们在 DHX15 上使用 Flag 标签拉下内生剪接复合物。经过亲和选择和梯度
技术资料暂无技术资料 索取技术资料





![CAP1 antibody [C1C3]](https://img1.dxycdn.com/2023/0516/050/2572066211091928561-14.jpg!wh200)


![Integrin alpha 2 antibody [16B4]](https://img1.dxycdn.com/2023/0711/451/6106825198874858761-14.jpg!wh200)

