相关产品推荐更多 >
万千商家帮你免费找货
0 人在求购买到急需产品
- 详细信息
- 文献和实验
- 技术资料
- 免疫原:
Recombinant protein encompassing a sequence within the center region of human Rac1. The exact sequence is proprietary.
- 亚型:
IgG
- 形态:
Liquid
- 保存条件:
Store as concentrated solution. Centrifuge briefly prior to opening vial. For short-term storage (1-2 weeks), store at 4ºC. For long-term storage, aliquot and store at -20ºC or below. Avoid multiple freeze-thaw cycles.
- 克隆性:
Polyclonal
- 标记物:
Unconjugated
- 适应物种:
Human, Mouse, Rat
- 保质期:
12 months from the shipping date of the product.
- 抗原来源:
Human
- 目录编号:
GTX100761
- 级别:
Primary Antibodies
- 库存:
Available
- 供应商:
GeneTex
- 宿主:
Rabbit
- 应用范围:
WB, ICC/IF, IHC-P
- 浓度:
0.79 mg/ml (Please refer to the vial label for the specific concentration.)
- 靶点:
Rac1
- 抗体英文名:
Rac1 antibody
- 抗体名:
Rac1 抗体
- 规格:
100 μl/25 μl
| 规格: | 100 μl | 产品价格: | ¥4000.0 |
|---|---|---|---|
| 规格: | 25 μl | 产品价格: | ¥1700.0 |
Various whole cell extracts (30 μg) were separated by 12% SDS-PAGE, and the membrane was blotted with Rac1 antibody (GTX100761) diluted at 1:1000. The HRP-conjugated anti-rabbit IgG antibody (GTX213110-01) was used to detect the primary antibody. Corresponding RNA expression data for the same cell lines are based on Human Protein Atlas program.
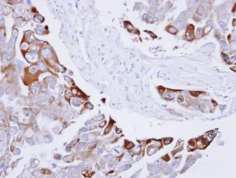
Immunohistochemical analysis of paraffin-embedded H441 xenograft , using RAC1(GTX100761) antibody at 1:100 dilution.
Antigen Retrieval: Trilogy™ (EDTA based, pH 8.0) buffer, 15min
Sample (50 μg of whole cell lysate)
A: mouse liver
12% SDS PAGE
GTX100761 diluted at 1:1000
The HRP-conjugated anti-rabbit IgG antibody (GTX213110-01) was used to detect the primary antibody.
Rac1 antibody detects Rac1 protein at cytoskeleton by immunofluorescent analysis.
Sample: A431 cells were fixed in 4% PFA at RT for 15 min.
Green: Rac1 stained by Rac1 antibody (GTX100761) diluted at 1:500.
Blue: Fluoroshield with DAPI (GTX30920).
风险提示:丁香通仅作为第三方平台,为商家信息发布提供平台空间。用户咨询产品时请注意保护个人信息及财产安全,合理判断,谨慎选购商品,商家和用户对交易行为负责。对于医疗器械类产品,请先查证核实企业经营资质和医疗器械产品注册证情况。
文献和实验Hsiao YW et al., Clin Transl Med 2022 (PMID:35090088)
Ito H et al., Hippocampus 2018 (PMID:30387892)
Buczak K et al., Mol Cell Proteomics. 2018;17(4)
Buczak K et al., Mol Cell Proteomics 2018 (PMID:29363612)
Chen ML et al., Prog Neuropsychopharmacol Biol Psychiatry 2016 (PMID:27302765)
Wang SM et al., Mol Neurobiol 2015 (PMID:26510742)
Toyo-Oka K et al., J Neurosci 2014 (PMID:25186760)
Katz E et al., Oncotarget 2012 (PMID:22689141)
antibody 进行Western blot. 有人使用这个试剂盒对贴壁细胞(人动脉内皮细胞,鼠动脉平滑肌细胞)、非贴壁细胞(鼠的淋巴细胞)、以及整个组织样本(猪的心). 试剂盒对贴壁细胞和非贴壁细胞的说明非常清楚,但是对在组织中的使用却并不明确. 下面是在一篇文章中的实际应用 Pull-Down Assay for GTP-Rac1 HCE cells 在铺设了fibronectin和加或不加BSA 的100-mm dishes培养45分钟,在 0.5 mL of a solution中裂解
Ubiquitination of Rac1 by Inhibitors of Apoptosis (IAPs)
that inhibitors of apoptosis (IAPs) function as direct E3 ubiquitin ligases for Rho GTPase Rac1 and target it for proteasomal degradation. Here, we describe in vitro and in vivo ubiquitination assays for detecting the conjugation
Generation of Antibody Molecules Through Antibody Engineering
been overcome to a large extent using genetic-engineering techniques to produce chimeric mouse/human and completely human antibodies. Such an approach is particularly suitable because of the domain structure of the antibody molecule ( 2 ), where functional
技术资料暂无技术资料 索取技术资料





![TCR V beta 5a antibody [1C1] (FITC)](https://img1.dxycdn.com/2023/0711/451/6106825198874858761-14.jpg!wh200)


![Resistin antibody [N1C3]](https://img1.dxycdn.com/2023/0711/255/2344116916935858761-14.jpg!wh200)
![Importin 7 antibody [C3], C-term](https://img1.dxycdn.com/2023/0516/045/6925717576889828561-14.jpg!wh200)

