相关产品推荐更多 >
万千商家帮你免费找货
0 人在求购买到急需产品
- 详细信息
- 文献和实验
- 技术资料
- 免疫原:
Purified recombinant fragment of GFP expressed in E. Coli.
- 亚型:
IgG2a
- 形态:
Liquid
- 保存条件:
Store as concentrated solution. Centrifuge briefly prior to opening vial. For short-term storage (1-2 weeks), store at 4ºC. For long-term storage, aliquot and store at -20ºC or below. Avoid multiple freeze-thaw cycles.
- 克隆性:
Monoclonal
- 标记物:
Unconjugated
- 保质期:
12 months from the shipping date of the product.
- 抗原来源:
Human
- 目录编号:
GTX83292
- 级别:
Primary Antibodies
- 库存:
Available
- 供应商:
GeneTex
- 宿主:
Mouse
- 应用范围:
WB, ICC/IF, FACS, ELISA
- 浓度:
Batch dependent (Please refer to the vial label for the specific concentration.)
- 靶点:
GFP
- 抗体英文名:
GFP antibody [4B10B2]
- 抗体名:
GFP 抗体 [4B10B2]
- 规格:
100 μl
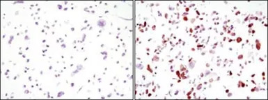
ICC/IF analysis of HCC827 cells, untransfected (left) or transfected with GFP (right) using GTX83292 GFP antibody [4B10B2].
WB analysis of recombinant GFP protein (1) and various recombinant fusion protein with GFP tag (2, 3, 4) using GTX83292 GFP antibody [4B10B2].
FACS analysis of HCC827 cells using GTX83292 GFP antibody [4B10B2].
Blue : untransfected
Green : transfected with GFP
WB analysis of extracts from HCC827 cells, untransfected (1) and transfected with GFP(2) using GTX83292 GFP antibody [4B10B2].
风险提示:丁香通仅作为第三方平台,为商家信息发布提供平台空间。用户咨询产品时请注意保护个人信息及财产安全,合理判断,谨慎选购商品,商家和用户对交易行为负责。对于医疗器械类产品,请先查证核实企业经营资质和医疗器械产品注册证情况。
文献和实验【共享】如何检测GFP、GFP、YFP、EYFP、CFP抗体?
对照,2道为1:1000倍稀释我们先看一下EarthOx的单克隆GFP抗体——Anti-GFP Tag Monoclonal Antibody [GF28R](货号#E022030),其免疫原是KLH偶联的水母GFP蛋白的N末端多肽,由于EGFP、YFP、EYFP、CFP得N末端序列与GFP几乎完全一致,因此从免疫原上来说,GFP与EGFP、YFP、EYFP、CFP没有区别。更重要的是,EarthOx对于该单克隆抗体还进行了明确的验证试验,试验也表明该Anti-GFP Tag Monoclonal
GFP抗体|GFP抗体检测GFP、EGFP、YFP、EYFP、CFP抗体
EarthOx GFP标签抗体(#E022030)用于WB实验,1道为阴性对照,2道为1:1000倍稀释 我们先看一下EarthOx的单克隆GFP抗体 ――Anti-GFP Tag Monoclonal Antibody [GF28R](货号#E022030),其免疫原是KLH偶联的水母GFP蛋白的N末端多肽,由于EGFP、YFP、EYFP、CFP得N末端序列与GFP几乎完全一致,因此从免疫原上来说,GFP与EGFP、YFP、EYFP、CFP没有区别。更重要的是,EarthOx对于该单克
Quantitative immunoprecipitation of GFP-fusion proteins using the GFP-Trap
) (Abcam, Cambridge, UK; Sigma, St. Louis, USA.; Roche, Mannheim, Germany). We recently generated a GFP-binding protein (GBP) based on a single domain antibody derived from Lama alpaca (Rothbauer et al., 2008). This GFP-binding protein is characterized
技术资料暂无技术资料 索取技术资料









