相关产品推荐更多 >
万千商家帮你免费找货
0 人在求购买到急需产品
- 详细信息
- 文献和实验
- 技术资料
- 免疫原:
Purified recombinant fragment of C-kit expressed in E. Coli.
- 亚型:
IgG1
- 形态:
Liquid
- 保存条件:
Store as concentrated solution. Centrifuge briefly prior to opening vial. For short-term storage (1-2 weeks), store at 4ºC. For long-term storage, aliquot and store at -20ºC or below. Avoid multiple freeze-thaw cycles.
- 克隆性:
Monoclonal
- 标记物:
Unconjugated
- 适应物种:
Human
- 保质期:
12 months from the shipping date of the product.
- 抗原来源:
Human
- 目录编号:
GTX83074
- 级别:
Primary Antibodies
- 库存:
Available
- 供应商:
GeneTex
- 宿主:
Mouse
- 应用范围:
WB, IHC-P, ELISA
- 靶点:
c-Kit
- 抗体英文名:
c-Kit antibody [8D7]
- 抗体名:
c-Kit 抗体 [8D7]
- 规格:
100 μl
WB analysis of truncated c-Kit recombinant protein using GTX83074 c-Kit antibody [8D7].
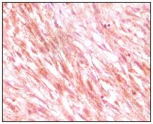
IHC-P analysis of maligant mesenchymoma tissue using GTX83074 c-Kit antibody [8D7].
风险提示:丁香通仅作为第三方平台,为商家信息发布提供平台空间。用户咨询产品时请注意保护个人信息及财产安全,合理判断,谨慎选购商品,商家和用户对交易行为负责。对于医疗器械类产品,请先查证核实企业经营资质和医疗器械产品注册证情况。
文献和实验A c-Kit (2B8) FITC-IgG2b, 01904D FITC-IgG2b Isotype control, 11184C Fc RII block (clone 2.4G2), 01241D Media: Heat inactivated FBS (56°C x 30 min) PBS + 2% heat-inactivated
(1 ). In our laboratory, we have developed methods to immortalize specific antibody-producing cells by fusing secreting EBV-activated lymphocytes to mouse-human heteromyeloma cell lines with electrofusion, followed by cloning (2 ). This methodology has allowed
我的石蜡切片又「团灭」了!没关系,专业技术人员与您并肩推塔!
Antibody Diluent #8112 稀释PD-L2抗体(#82723)稀释度为1:200。11. 横沥封闭液,用卫生纸尽量吸干封闭液后,将一抗滴加在切片上。(此步建议一张张完成,防止干片)12. 将湿盒小心移入4度冰箱,过夜。CST技术人员正在配置和滴加抗体二抗孵育与显色13. 小心取出湿盒,在室温平衡45分钟左右。14. 洗涤:切片浸没于TBST中,3 ×5 min。15. 将二抗SignalStain® Boost IHC Detection Reagent (HRP, Rabbit)#8114
技术资料暂无技术资料 索取技术资料






![GFAP antibody [ASTRO/1974R]](https://img1.dxycdn.com/2023/0711/451/6106825198874858761-14.jpg!wh200)

