相关产品推荐更多 >
万千商家帮你免费找货
0 人在求购买到急需产品
- 详细信息
- 文献和实验
- 技术资料
- 免疫原:
Full length human recombinant protein of human SERPINA1 (NP_000286) produced in HEK293T cell.
- 亚型:
IgG1
- 形态:
Liquid
- 保存条件:
Store as concentrated solution. Centrifuge briefly prior to opening vial. For short-term storage (1-2 weeks), store at 4ºC. For long-term storage, aliquot and store at -20ºC or below. Avoid multiple freeze-thaw cycles.
- 克隆性:
Monoclonal
- 标记物:
Unconjugated
- 适应物种:
Human, Dog, Monkey
- 保质期:
12 months from the shipping date of the product.
- 抗原来源:
Human
- 目录编号:
GTX83665
- 级别:
Primary Antibodies
- 库存:
Available
- 供应商:
GeneTex
- 宿主:
Mouse
- 应用范围:
WB, IHC-P, IP
- 浓度:
0.8 mg/ml (Please refer to the vial label for the specific concentration.)
- 靶点:
alpha 1 Antitrypsin
- 抗体英文名:
alpha 1 Antitrypsin antibody [15H10]
- 抗体名:
alpha 1 Antitrypsin 抗体 [15H10]
- 规格:
100 μl
IHC-P analysis of human liver tissue using GTX83665 alpha 1 Antitrypsin antibody [15H10].
Antigen retrieval : Heat-induced epitope retrieval by 10mM citrate buffer, pH6.0, 100ºC for 10min.
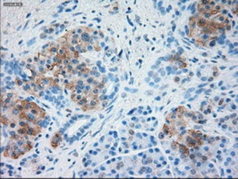
IHC-P analysis of human pancreas tissue using GTX83665 alpha 1 Antitrypsin antibody [15H10].
Antigen retrieval : Heat-induced epitope retrieval by 10mM citrate buffer, pH6.0, 100ºC for 10min.
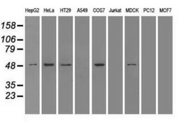
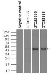
WB analysis of various cell lines using GTX83665 alpha 1 Antitrypsin antibody [15H10].
Loading : 35 ug per lane
IP analysis of DDDDK tagged alpha 1 Antitrypsin overexpressed HEK293T lysate using GTX83665 alpha 1 Antitrypsin antibody [15H10].After extensive wash to remove any non-specific binding, the immuno-precipitated products were analyzed with rabbit anti-DDDDK polyclonal antibody.
IP reaction : 2μg antibody / 500μl cell lysate
WB analysis of HEK293T cells transfected with alpha 1 Antitrypsin plasmid (Right) or empty vector (Left) for 48 hrs using GTX83665 alpha 1 Antitrypsin antibody [15H10].
Loading : 5 ug per lane
风险提示:丁香通仅作为第三方平台,为商家信息发布提供平台空间。用户咨询产品时请注意保护个人信息及财产安全,合理判断,谨慎选购商品,商家和用户对交易行为负责。对于医疗器械类产品,请先查证核实企业经营资质和医疗器械产品注册证情况。
文献和实验In situ hybridisation to alpha satellite sequences (chromosome specific)
Alpha satellite sequences, whilst highly repetitive, are specific to each individual chromosome. These sequences flank the centromeres and can present a target measured in megabases. In this protocol a biotin or digoxigenin labelled DNA
人a1-抗胰蛋白酶(a1-Antitrypsin)ELISA试剂盒 说明书
上海西唐生物科技有限公司 021-55229872, 65333639 www.westang.com 人 a 1- 抗胰蛋白酶 ( a 1-Antitrypsin)ELISA 试剂盒 ( 用于血清、血浆、细胞培养上清液和尿液生物体液内 ) 原理 本实验采用双抗体夹心 ABC-ELISA 法。用抗人 a 1-Antitrypsin 单抗包被于酶标板上,标准品和样品中的 a 1
volume of 25 µl (including the volume of Taq DNA polymerase to be added). Add 5 units of Taq DNA polymerase. Add 1 µl of [{alpha}-32P]dCTP (10 µCi/µl). Amplify for 35-40 cycles in a thermal cycler. Prepare the solution for the nondenaturing gel. Mix 15
技术资料暂无技术资料 索取技术资料





![FOXD3 antibody [5G9]](https://img1.dxycdn.com/2023/0711/451/6106825198874858761-14.jpg!wh200)
![SARS-CoV-2 (COVID-19) nsp2 antibody [HL1371]](https://img1.dxycdn.com/2023/0711/058/8406876405285858761-14.jpg!wh200)


