相关产品推荐更多 >
万千商家帮你免费找货
0 人在求购买到急需产品
- 详细信息
- 文献和实验
- 技术资料
- 免疫原:
Full length human recombinant protein of human SAMHD1 (NP_056289) produced in HEK293T cell.
- 亚型:
IgG1
- 形态:
Liquid
- 保存条件:
Store as concentrated solution. Centrifuge briefly prior to opening vial. For short-term storage (1-2 weeks), store at 4ºC. For long-term storage, aliquot and store at -20ºC or below. Avoid multiple freeze-thaw cycles.
- 克隆性:
Monoclonal
- 标记物:
Unconjugated
- 适应物种:
Human, Mouse, Monkey
- 保质期:
12 months from the shipping date of the product.
- 抗原来源:
Human
- 目录编号:
GTX83687
- 级别:
Primary Antibodies
- 库存:
Available
- 供应商:
GeneTex
- 宿主:
Mouse
- 应用范围:
WB, ICC/IF, FACS
- 浓度:
1 mg/ml (Please refer to the vial label for the specific concentration.)
- 靶点:
SAMHD1
- 抗体英文名:
SAMHD1 antibody [1F6]
- 抗体名:
SAMHD1 抗体 [1F6]
- 规格:
100 μl
WB analysis of HEK293T cells transfected with SAMHD1 plasmid (Right) or empty vector (Left) for 48 hrs using GTX83687 SAMHD1 antibody [1F6].
Loading : 5 ug per lane
WB analysis of human tissues (Lane 1-Testis ; Lane 2-Omentum ; Lane 3-Uterus ; Lane 4-Breast ; Lane 5-Brain ; Lane 6-Liver ; Lane 7-Ovary ; Lane 8-Thyroid gland ; Lane 9-colon ; Lane 10-spleen) using GTX83687 SAMHD1 antibody [1F6].
Loading : 10 ug per lane
Dilution : 1:200
FACS analysis of HeLa cells using GTX83687 SAMHD1 antibody [1F6].
Red : Primary antibody
Blue : Negative control antibody
ICC/IF analysis of COS7 cells transiently transfected with SAMHD1 plasmid using GTX83687 SAMHD1 antibody [1F6].
FACS analysis of HEK293T cells transfected with either SAMHD1 plasmid(Red) or empty vector control plasmid(Blue) using GTX83687 SAMHD1 antibody [1F6].
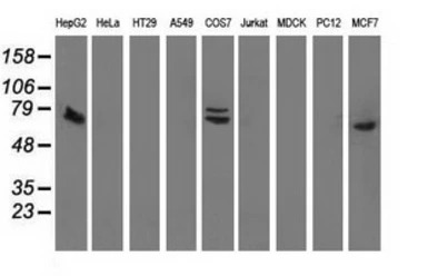
WB analysis of various cell lines using GTX83687 SAMHD1 antibody [1F6].
Loading : 35 ug per lane
WB analysis of various samples using GTX83687 SAMHD1 antibody [1F6].
Loading : 10 ug per lane
Dilution : 1:200
风险提示:丁香通仅作为第三方平台,为商家信息发布提供平台空间。用户咨询产品时请注意保护个人信息及财产安全,合理判断,谨慎选购商品,商家和用户对交易行为负责。对于医疗器械类产品,请先查证核实企业经营资质和医疗器械产品注册证情况。
文献和实验Sharifi HJ et al., J Virol 2014 (PMID:24719410)
Nekorchuk MD et al., Retrovirology 2013 (PMID:24245672)
Monit C et al., Proc Natl Acad Sci U S A 2019 (PMID:31451672)
Furuya AK et al., PLoS Pathog 2016 (PMID:27093399)
技术资料暂无技术资料 索取技术资料






![LPL antibody [N2C2], Internal](https://img1.dxycdn.com/2023/0711/255/2344116916935858761-14.jpg!wh200)


