相关产品推荐更多 >
万千商家帮你免费找货
0 人在求购买到急需产品
- 详细信息
- 文献和实验
- 技术资料
- 免疫原:
Full length human recombinant protein of human RIT2 (NP_002921) produced in HEK293T cell.
- 亚型:
IgG2b
- 形态:
Liquid
- 保存条件:
Store as concentrated solution. Centrifuge briefly prior to opening vial. For short-term storage (1-2 weeks), store at 4ºC. For long-term storage, aliquot and store at -20ºC or below. Avoid multiple freeze-thaw cycles.
- 克隆性:
Monoclonal
- 标记物:
Unconjugated
- 适应物种:
Human
- 保质期:
12 months from the shipping date of the product.
- 抗原来源:
Human
- 目录编号:
GTX83711
- 级别:
Primary Antibodies
- 库存:
Available
- 供应商:
GeneTex
- 宿主:
Mouse
- 应用范围:
WB, FACS
- 浓度:
0.84 mg/ml (Please refer to the vial label for the specific concentration.)
- 靶点:
RIT2
- 抗体英文名:
RIT2 antibody [4B5]
- 抗体名:
RIT2 抗体 [4B5]
- 规格:
100 μl
FACS analysis of HEK293T cells transfected with either RIT2 plasmid(Red) or empty vector control plasmid(Blue) using GTX83711 RIT2 antibody [4B5].
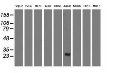
WB analysis of various cell lines using GTX83711 RIT2 antibody [4B5].
Loading : 35 ug per lane
WB analysis of HEK293T cells transfected with RIT2 plasmid (Right) or empty vector (Left) for 48 hrs using GTX83711 RIT2 antibody [4B5].
Loading : 5 ug per lane
风险提示:丁香通仅作为第三方平台,为商家信息发布提供平台空间。用户咨询产品时请注意保护个人信息及财产安全,合理判断,谨慎选购商品,商家和用户对交易行为负责。对于医疗器械类产品,请先查证核实企业经营资质和医疗器械产品注册证情况。
文献和实验Fagan RR et al., J Biol Chem 2020 (PMID:32132171)
技术资料暂无技术资料 索取技术资料





![COL14A1 antibody [C1C2], Internal](https://custom.dxycdn.com/trademd/upload/pic/2011/12/20/1324015994.jpg!small.t.1)

![PP4R4 antibody [C2C3], C-term](https://img1.dxycdn.com/2023/0516/050/2572066211091928561-14.jpg!wh200)

