相关产品推荐更多 >
万千商家帮你免费找货
0 人在求购买到急需产品
- 详细信息
- 技术资料
- 免疫原:
Full length human recombinant protein of human MICAL1 (NP_073602) produced in HEK293T cell.
- 亚型:
IgG2b
- 形态:
Liquid
- 保存条件:
Store as concentrated solution. Centrifuge briefly prior to opening vial. For short-term storage (1-2 weeks), store at 4ºC. For long-term storage, aliquot and store at -20ºC or below. Avoid multiple freeze-thaw cycles.
- 克隆性:
Monoclonal
- 标记物:
Unconjugated
- 适应物种:
Human
- 保质期:
12 months from the shipping date of the product.
- 抗原来源:
Human
- 目录编号:
GTX84125
- 级别:
Primary Antibodies
- 库存:
Available
- 供应商:
GeneTex
- 宿主:
Mouse
- 应用范围:
WB, ICC/IF, IHC-P, FACS
- 浓度:
0.93 mg/ml (Please refer to the vial label for the specific concentration.)
- 靶点:
MICAL1
- 抗体英文名:
MICAL1 antibody [2H1]
- 抗体名:
MICAL1 抗体 [2H1]
- 规格:
100 μl
FACS analysis of HEK293T cells transfected with either MICAL1 plasmid(Red) or empty vector control plasmid(Blue) using GTX84125 MICAL1 antibody [2H1].
IHC-P analysis of human lung carcinoma tissue using GTX84125 MICAL1 antibody [2H1].
Antigen retrieval : Heat-induced epitope retrieval by 10mM citrate buffer, pH6.0, 100ºC for 10min.
WB analysis of HEK293T cells transfected with MICAL1 plasmid (Right) or empty vector (Left) for 48 hrs using GTX84125 MICAL1 antibody [2H1].
Loading : 5 ug per lane
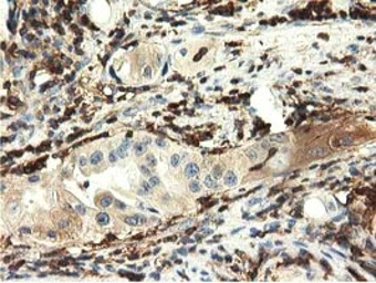
IHC-P analysis of human prostate tissue using GTX84125 MICAL1 antibody [2H1].
Antigen retrieval : Heat-induced epitope retrieval by 10mM citrate buffer, pH6.0, 100ºC for 10min.
IHC-P analysis of human pancreas tissue using GTX84125 MICAL1 antibody [2H1].
Antigen retrieval : Heat-induced epitope retrieval by 10mM citrate buffer, pH6.0, 100ºC for 10min.
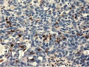
IHC-P analysis of human lymphoma tissue using GTX84125 MICAL1 antibody [2H1].
Antigen retrieval : Heat-induced epitope retrieval by 10mM citrate buffer, pH6.0, 100ºC for 10min.
IHC-P analysis of human ovary adenocarcinoma tissue using GTX84125 MICAL1 antibody [2H1].
Antigen retrieval : Heat-induced epitope retrieval by 10mM citrate buffer, pH6.0, 100ºC for 10min.
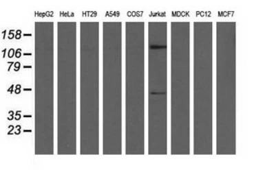
WB analysis of various cell lines using GTX84125 MICAL1 antibody [2H1].
Loading : 35 ug per lane
IHC-P analysis of human prostate carcinoma tissue using GTX84125 MICAL1 antibody [2H1].
Antigen retrieval : Heat-induced epitope retrieval by 10mM citrate buffer, pH6.0, 100ºC for 10min.
IHC-P analysis of human bladder carcinoma tissue using GTX84125 MICAL1 antibody [2H1].
Antigen retrieval : Heat-induced epitope retrieval by 10mM citrate buffer, pH6.0, 100ºC for 10min.
ICC/IF analysis of COS7 cells transiently transfected with MICAL1 plasmid using GTX84125 MICAL1 antibody [2H1].
FACS analysis of Jurkat cells using GTX84125 MICAL1 antibody [2H1].
Red : Primary antibody
Blue : Negative control antibody
风险提示:丁香通仅作为第三方平台,为商家信息发布提供平台空间。用户咨询产品时请注意保护个人信息及财产安全,合理判断,谨慎选购商品,商家和用户对交易行为负责。对于医疗器械类产品,请先查证核实企业经营资质和医疗器械产品注册证情况。
技术资料暂无技术资料 索取技术资料





![ADAM15 antibody [007]](https://img1.dxycdn.com/2023/0711/451/6106825198874858761-14.jpg!wh200)




