相关产品推荐更多 >
万千商家帮你免费找货
0 人在求购买到急需产品
- 详细信息
- 技术资料
- 免疫原:
Human recombinant protein fragment corresponding to amino acids 29-212 of human IL-6 (NP_000591) produced in E.coli.
- 亚型:
IgG2a
- 形态:
Liquid
- 保存条件:
Store as concentrated solution. Centrifuge briefly prior to opening vial. For short-term storage (1-2 weeks), store at 4ºC. For long-term storage, aliquot and store at -20ºC or below. Avoid multiple freeze-thaw cycles.
- 克隆性:
Monoclonal
- 标记物:
Unconjugated
- 适应物种:
Human
- 保质期:
12 months from the shipping date of the product.
- 抗原来源:
Human
- 目录编号:
GTX84291
- 级别:
Primary Antibodies
- 库存:
Available
- 供应商:
GeneTex
- 宿主:
Mouse
- 应用范围:
WB, ICC/IF, IHC-P
- 浓度:
1 mg/ml (Please refer to the vial label for the specific concentration.)
- 靶点:
IL6
- 抗体英文名:
IL6 antibody [3G9]
- 抗体名:
IL6 抗体 [3G9]
- 规格:
100 μl
WB analysis of HEK293T cells transfected with IL6 plasmid (Right) or empty vector (Left) for 48 hrs using GTX84291 IL6 antibody [3G9].
Loading : 5 ug per lane
ICC/IF analysis of COS7 cells transiently transfected with IL6 plasmid using GTX84291 IL6 antibody [3G9].
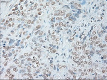
IHC-P analysis of human bladder carcinoma tissue using GTX84291 IL6 antibody [3G9].
Antigen retrieval : Heat-induced epitope retrieval by 10mM citrate buffer, pH6.0, 100ºC for 10min.
WB analysis of recombinant human IL-6 using GTX84291 IL6 antibody [3G9].
Dilution : 1:500000
风险提示:丁香通仅作为第三方平台,为商家信息发布提供平台空间。用户咨询产品时请注意保护个人信息及财产安全,合理判断,谨慎选购商品,商家和用户对交易行为负责。对于医疗器械类产品,请先查证核实企业经营资质和医疗器械产品注册证情况。
技术资料暂无技术资料 索取技术资料


![IL6 antibody [3G9]](https://img1.dxycdn.com/2023/0711/451/6106825198874858761-14.jpg)



![GNAT2 antibody [N3C3]](https://img1.dxycdn.com/2023/0516/045/6925717576889828561-14.jpg!wh200)
